Sabitlenmiş Tweet
Encyclopedia Brendan
19.5K posts

Encyclopedia Brendan
@redbaybound
Nurse Anesthesiologist, Feminist, Humanist, Unrepentant Tree Hugger.
Katılım Mayıs 2013
5.1K Takip Edilen5K Takipçiler

@SenGaryPeters Biden has been held to a ridiculous standard. That's why we lost the election.
F!@%ing hypocrites.

English
Encyclopedia Brendan retweetledi
Encyclopedia Brendan retweetledi

@ChrisMurphyCT It’s this nonsense that you’re peddling that is the reason Dems can’t win.
Using my tax dollars to improve my life isn’t a handout. It’s the only thing tax dollars should be used for.
English
Encyclopedia Brendan retweetledi

As we continue to try to get the full truth out about what’s happening in this country, I encourage you to watch @cspan.
On yesterday a colleague had a bill in markup entitled “dismantle DEI.” In explaining why the bill was needed, multiple white R men argued that they are being “oppressed.”
I didn’t bring race into anything… THEY DID & always do & then they twist
history & dilute the definition of words.
English
Encyclopedia Brendan retweetledi
Encyclopedia Brendan retweetledi
Encyclopedia Brendan retweetledi
Encyclopedia Brendan retweetledi
Encyclopedia Brendan retweetledi

@RadioFreeTom My experience there has been much better. I learned from you to block early. There is nothing to be gained except frustration trying to reason with unreasonable people.
English
Encyclopedia Brendan retweetledi

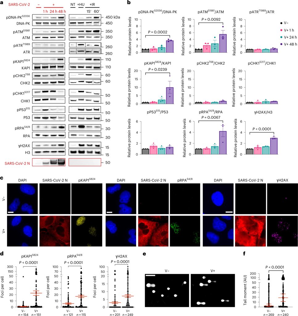
Given that DNA damage and impaired repair processes can contribute to chronic diseases like diabetes, cancer, and neurodegenerative conditions, it will be crucial to investigate potential similar effects in patients with COVID-19. 5/5
link.springer.com/article/10.100…

English
Encyclopedia Brendan retweetledi
Encyclopedia Brendan retweetledi
Encyclopedia Brendan retweetledi
Encyclopedia Brendan retweetledi
Encyclopedia Brendan retweetledi

Veterans health care is one of those programs.
I hope Vets for trump are ready tonight lose their benefits.
Vivek Ramaswamy@VivekGRamaswamy
We shouldn’t let the government spend money on programs that have expired. Yet that’s exactly what happens today: half a *trillion* dollars of taxpayer funds ($516 B+) goes each year to programs which Congress has allowed to expire. There are 1,200+ programs that are no longer authorized but still receive appropriations. This is totally nuts. We can & should save hundreds of billions each year by defunding government programs that Congress no longer authorizes. We’ll challenge any politician who disagrees to defend the other side.
English













