Sabitlenmiş Tweet
Reportes Villarroel
6.1K posts

Reportes Villarroel
@reportesVilla
Medicina Bucal, Patología Bucal y Maxilofacial/ Oral & Maxillofacial Pathology, Oral Medicine 🇻🇪
Caracas, Venezuela Katılım Aralık 2014
2.8K Takip Edilen3.4K Takipçiler

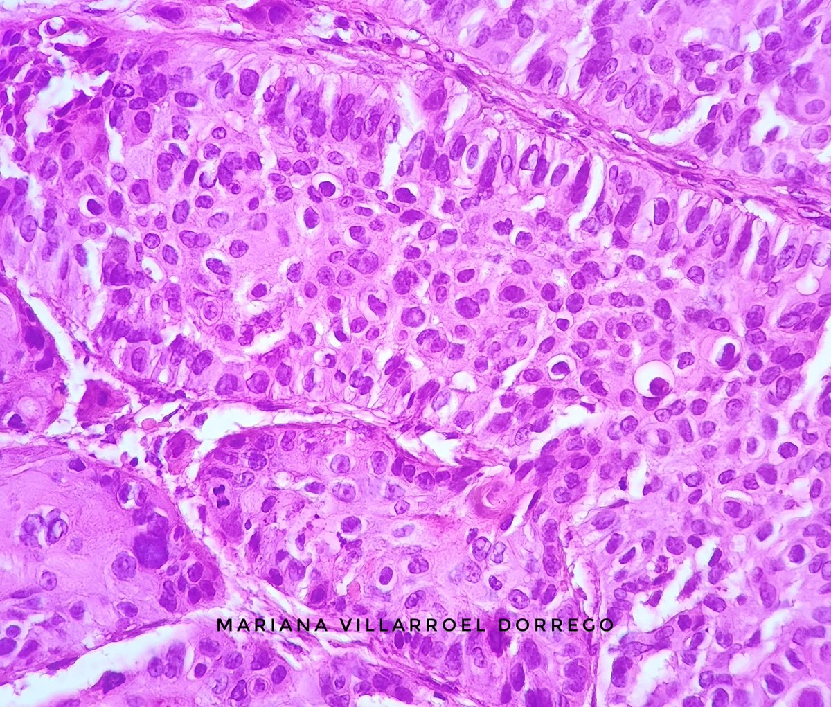
Salivary Gland Secretory Carcinoma in the Facial Region: A Pediatric Case Presentation cureus.com/articles/43269…
English

Salivary Gland Secretory Carcinoma in the Facial Region: A Pediatric Case Presentation cureus.com/articles/43269…
English
Reportes Villarroel retweetledi

Quirófano de patología en el HGO.
Y directo a estudio histopatológico con la mejor. @reportesVilla 🫡
Español
Reportes Villarroel retweetledi

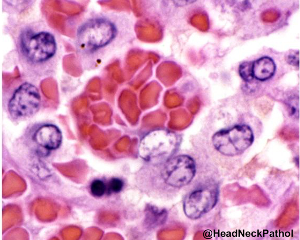
Langerhans Cell Histiocytosis and Other Histiocytic Lesions
Reed A. McKinney & Guanghua Wang
rdcu.be/ewS0k
#HeadNeckPathol #HNPJ #HeadandNeckPath #Pathology #ENTPath #PathologyTweet



English
Reportes Villarroel retweetledi

Osteolipomas revisited: a detailed clinical, histologic and molecular characterisation - Rammal - Histopathology - Wiley Online Library #bstpath onlinelibrary.wiley.com/doi/10.1111/hi…
English

Reportes Villarroel retweetledi

Ectomesenchymal Chondromyxoid Tumor of the Anterior Tongue: A Case Image
Tomo, Almeida de Arruda, Rodrigues Louredo, Agustin Vargas & Estevam Simonato
rdcu.be/dYS5X
#HeadNeckPathol #HNPJ #HeadandNeckPath #Pathology #ENTPath #PathologyTweet


Español
Reportes Villarroel retweetledi

New in #HumPathol: Vulvar and Vaginal Leiomyosarcomas: Immunohistochemical, Molecular Genetic and MDM2 Fluorescence in situ Hybridization Analysis of Three Cases. sciencedirect.com/science/articl… #pathology #PathTwitter #PathX #GYNpath #BSTpath

Română

Reportes Villarroel retweetledi














