Eduardo RB

226 posts

Eduardo RB banner
Eduardo RB

Eduardo RB

@robe4865

Medicina Interna & Terapia Intensiva, entusiasta del POCUS

Aguascalientes, México Katılım Ocak 2010
322 Takip Edilen251 Takipçiler
Eduardo RB
Eduardo RB@robe4865·
@fernando_jro Podrá compartir el programa académico y costos por favor.
Español
1
0
0
12
Fernando Roosemberg
Fernando Roosemberg@fernando_jro·
Save the date!! 17 y 18 de Mayo 2025, Guayaquil-Ecuador!! 🧠🧠🧠
Fernando Roosemberg tweet media
Español
1
1
2
270
Issac Cheong
Issac Cheong@Issac80·
Right hemothorax detected using lung POCUS in a critically ill patient. #POCUS
English
1
8
44
2.7K
Eduardo RB
Eduardo RB@robe4865·
👩🏻 33ª, DM, HAS, antecedente de COVID-19 junio 2022, acude por presentar déficit neurologico focal #POCUS #ultrasound #echofirst #criticalcare Trombosis femoral, falla cardíaca, trombo intracavitario con embolismo cerebral.
Español
3
24
50
11.1K
POCUS Certification Academy
POCUS Certification Academy@POCUSAcademy·
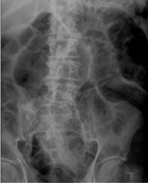
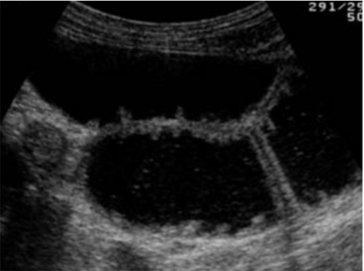
A 76-year-old male presented to the emergency department with a chief complaint of abdominal distension for five days. A plain X-ray abdomen was obtained. The physician also performed a POCUS examination of the abdomen. What is the most likely diagnosis?
POCUS Certification Academy tweet mediaPOCUS Certification Academy tweet mediaPOCUS Certification Academy tweet media
English
10
11
37
9.9K
Medicina Interna. Lo miro y mañana te digo.
Vemos a una paciente joven en la CARE por HTA grave de debut. Asintomática. Se ausculta soplo tricúspideo y se visualiza cardiomegalia en la RX. En la consulta hacemos POCUS👇👇
Brazatortas, España 🇪🇸 Español
4
6
21
0
Eduardo RB
Eduardo RB@robe4865·
👴🏼82ª, DM, HAS, cardiopatía isquémica crónica, sepsis, presenta aumento de volumen, cambios de la coloración y disminución de la temperatura en miembro torácico izquierdo #POCUS 🚑🚨🖥 Trombosis de la vena braquial
Español
3
17
70
0
Eduardo RB retweetledi
ANDROMEDA-SHOCK
ANDROMEDA-SHOCK@AndromedaShock·
Venous congestion: the dark side; Fluid tolerance; Venous congestion and microcirculation! With Profs Francisco Miralles, Eduardo Kattan and Philippe Guerci! In our 3rd International Hemodynamic Monitoring and Tissue Perfusion Course (bilingual)! Info: daniela.villarroel@uc.cl
ANDROMEDA-SHOCK tweet media
English
2
7
24
0
Eduardo RB
Eduardo RB@robe4865·
Colocación en domicilio de catéter #midline ideal para tratamientos de mediana duración. 🏡🩺💉 👨🏻‍⚕️ #POCUS
Español
0
3
17
0
Eduardo RB
Eduardo RB@robe4865·
👩🏼 48ª, ingesta crónica en intensa AINE’s 💊 Ingresa por dolor abdominal intenso 😫 #POCUS líquido y aire libre abdominal‼️🚩. LAPE 👨🏻‍⚕️🔪🟰Perforación de úlcera gástrica
Español
1
10
20
0
Eduardo RB
Eduardo RB@robe4865·
@chileanestesia Síndrome intersticial no cardiogenico, al menos no parece congestión pulmonar.
Español
0
0
2
0
Eduardo RB
Eduardo RB@robe4865·
👴🏼 80ª, 🚬, Hipertenso, Acude por presentar disnea 😮‍💨, fiebre intermitente 🤒, diaforesis, tos productiva 😷 de 1 mes de evolución , 🩻 derrame pleural derecho #POCUS derrame pleural loculado
Español
1
8
13
0