Noor
113 posts

Noor
@stringpathology
BDS, MSc, Oral and Maxillofacial Pathology
Katılım Ekim 2021
72 Takip Edilen33 Takipçiler

An eye-catching piece of engineering from Ferrari! 🤯
Early on Thursday morning, their rear wing could be seen rotating from an upside-down position on the straight, in a more dramatic fashion than any other active aero design we've seen so far... 👀
#F1 #F1Testing
English

@curiosityonx Refusing to change your mind even when clear evidence is presented.
English

@MattP1Gallagher Losing the championship by only two points in an understeering car, without a teammate, and while doing GT3 side quests is crazy.
English

@krassenstein The number of people falling for this is both depressing and hilarious. Arabic numerals are the 1,2,3… you’re already using people 🤣
English

@MattP1Gallagher I fell asleep during Q1, woke up an hour later, and Q2 still hasn’t started. 😂
English

@DrEliDavid Weren’t you the one who likes to tweet FAFO? Well here you go, it’s your turn now to FAFO.
English

@kwt17F @faigalsheakh ابو ثامر دولتكم تشبه اشتراك النادي كل يوم ساحبين الجنسية من احد. رجاءا لا تعلمنا شون نبني دولة. 🤣
العربية

@MattP1Gallagher They installed the upgrades backwards or something.
English

Painful nodule. Can you make diagnosis from one pic, or is it #TooCloseToDiagnose?
Digital slide: kikoxp.com/posts/8018
Answer ✅ youtu.be/bhAdg0NfxW4?si…
#BSTpath #pathology #pathologists #pathTwitter #dermpath #dermatology #dermatologia #dermtwitter

YouTube

English

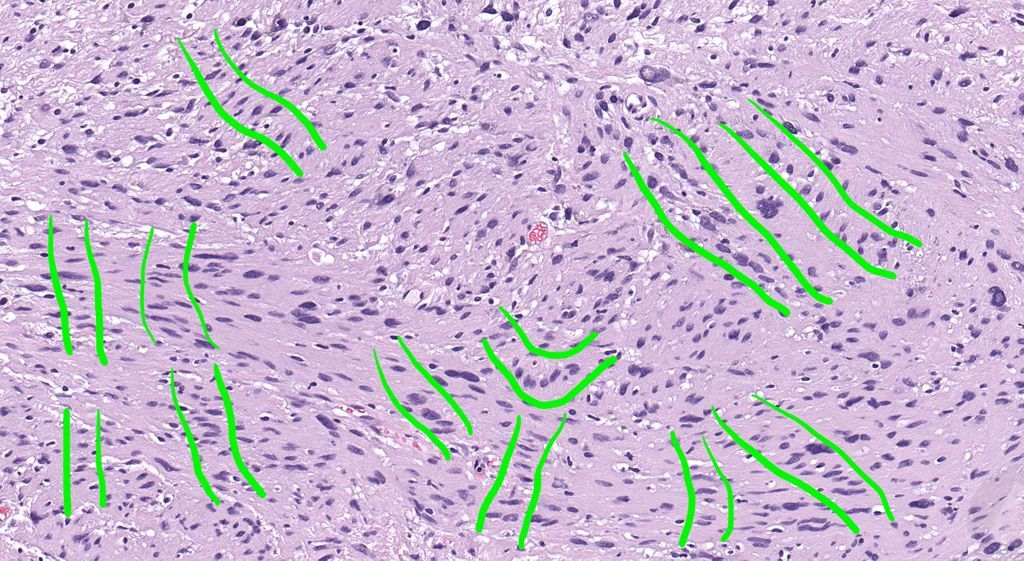
What am I highlighting with these green lines? Diagnosis?
Explanation & more pics ✅ kikoxp.com/posts/15193
WSI digital slide 🔬kikoxp.com/posts/12126
Video ⏯️ kikoxp.com/posts/4093
#pathology #pathologists #pathTwitter #dermpath #dermatology #dermtwitter #BSTpath

English

@SeppLoL @sanspptapeurrr @F1BigData Because Brawn GP was bought by Mercedes and it got rebranded into the Mercedes we know today.
English

@sanspptapeurrr @F1BigData Why? Because they used a Mercedes engine in a Honda chassis?
English

@realMaalouf And we Iraqis were the ones to defeat them. No thanks to keyboard warriors like you.
English

@SpiderMonkeyXYZ @that_anokha_boy They’re mad because he made a wallpaper app that costs 4 dollars a month, thats literally it, nothing else. They act like he started ww3
English



















