Upasana Joneja
1.2K posts

Upasana Joneja
@UJoneja
Surgical Pathologist with special interest/training in Gastrointestinal/Liver Pathology

















Great responses! Excellent job @TingZhaoPathdoc @MirunaPopescu13 @dr_findik @PrasadCsbr This was indeed a metastatic breast carcinoma involving the bladder. Tricky case without the clinical history!










#Pathresidents #pathtwitter #GrossPathology (labeled A-E).... what's your best guess? Bonus points if you know the site








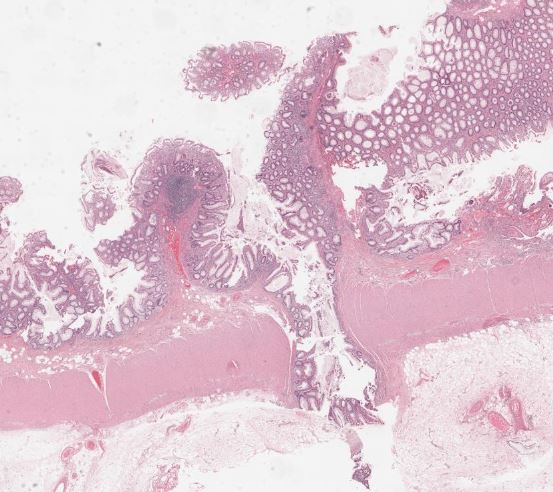
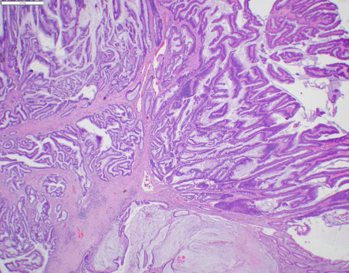
67-year-old female with odynophagia. #GIpath #pathresidents #PathTwitter


Meet Drs. Catherine Skibiel and Bilal Khan, our exceptional PGY1 residents in Pathology! Their passion for diagnostics and commitment to learning make them invaluable members of our team. We are thrilled to have them in our department @CooperPathology! #ResidentSpotlight





