
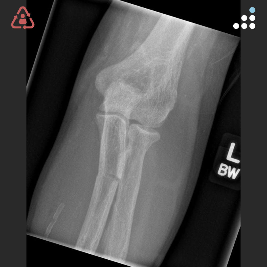
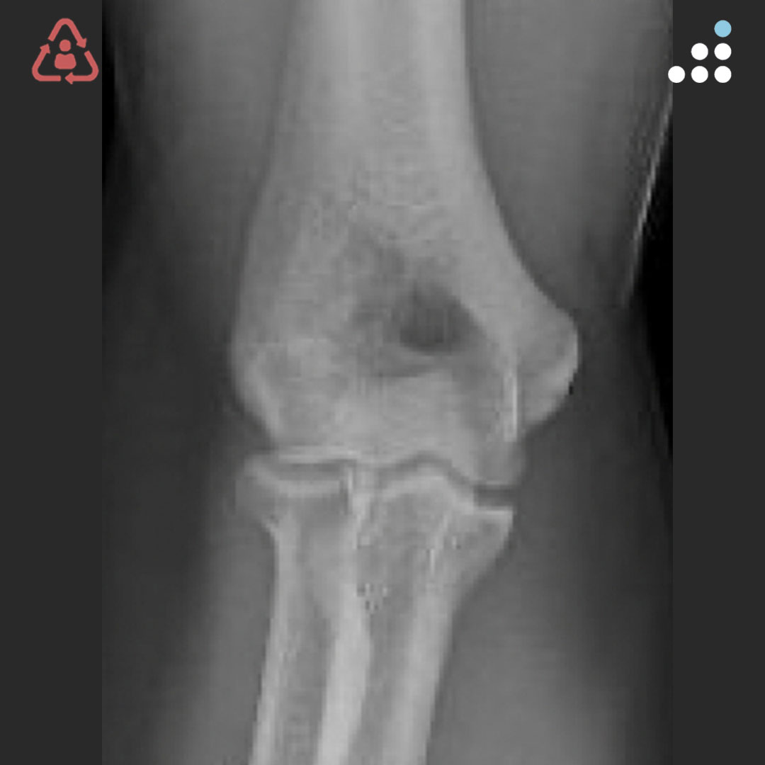
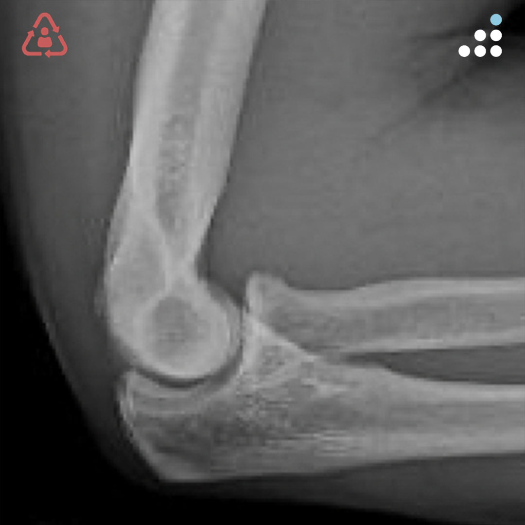
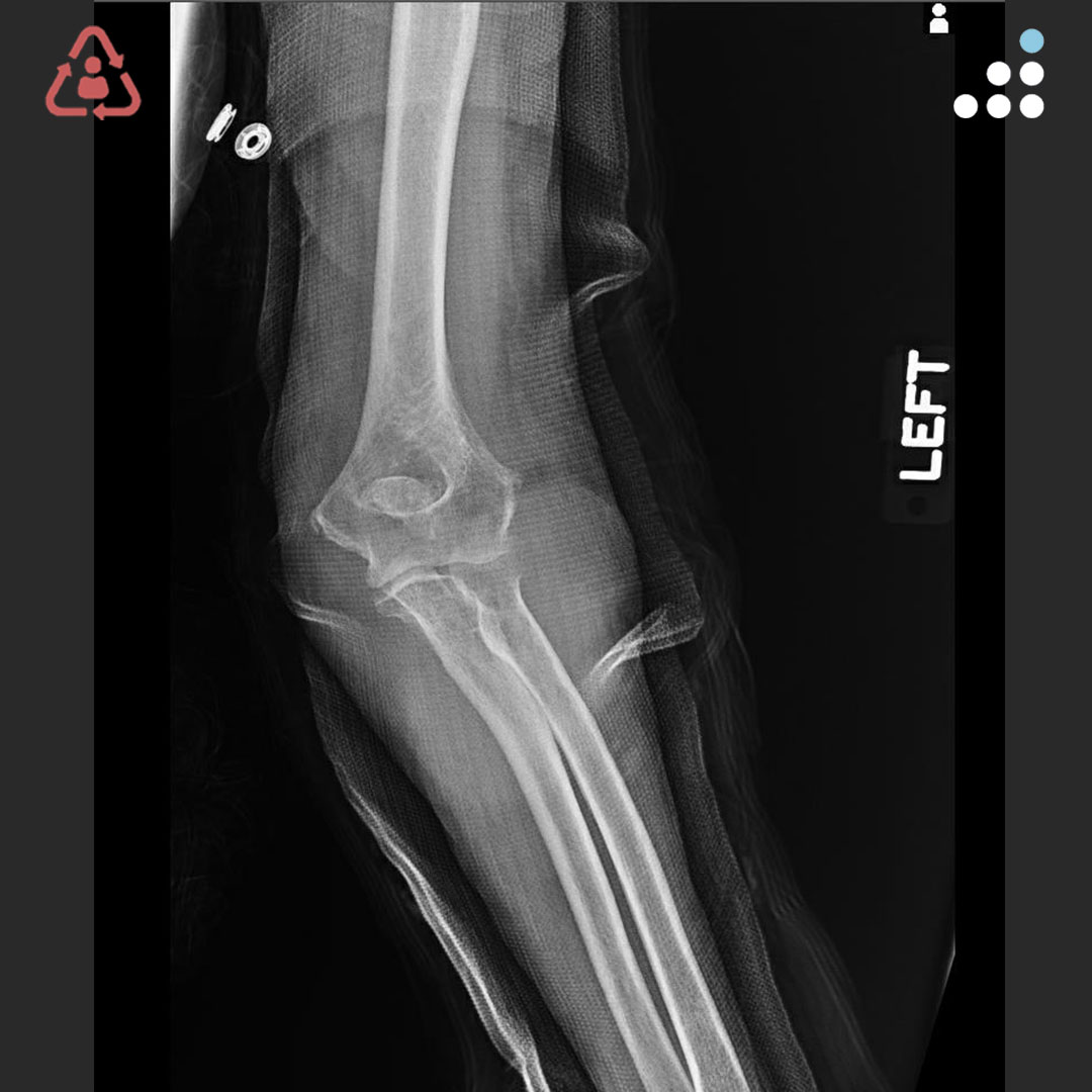
@orthobullets @KPSCALnews @rkh_md @DrMarecek @DeformityDoc @jamesablairMD @FractureDoc @stevemchale @traumaticum @DrFraneNicholas I am concerned about the +Fleck/flake sign. Get MRI or ultrasound to rule out a triceps rupture. If torn, I would perform ORIF and Triceps repair, after restoring the underlying metabolic issues. If the triceps is not torn, then would treat non-operatively.
English

































