Yekutiel Sandman
286 posts


@ikafka Nice case. How do you position the lower extremities? I'm not familiar with the position the patient seems to be in. גמר חתימה טובה.
English

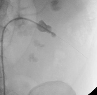
Patient with 17 Left stones. Used @RetroPerc for access. Under 15 minutes from start to sheath in. Case done in 1 hour. Stone Free!




English

@kjdelay1 I typically will after aspirating and decompressing the collecting system. Minimal diluted contrast. Your 5Fr is already up there. May as well see the pelvis and be sure.
English

@simonmontefiore 2/3rds through it. For the second time. BTW, did not ever hear that Shabtai Zvi's name was changed from birth.

English

Everyone has views #IsraelPalestine yet few know the actual history.I wrote Jerusalem a History of MiddleEast via HolyCity to tell the narrative & history of 2 nations one land who need 2states.Its imperfect but few books try to do this.
Heres pics fr planes trains & Xmas trees




English

@Tom_Marcelissen I use it rarely (1 every couple yrs). When there is an extremely large prostate or a large tumor in the bladder neck where the UO is only visible with a 70° lens when trying to stent. Open-ended, angled glide with the alberan's bridge is very helpful.
English

@txsportsdoc Here's Medicare urology reimbursement over the past 3 years. Note radical nephrectomy (3rd from right) and radical prostatectomy (left of middle). It's untenable..

English

@DGlaucomflecken Your misrepresentation of the article which states that "First, health professionals should condemn dehumanization and acts of genocide" and your silence on October 8th disappoints me. I will no longer be following you.
English

I don’t always know the right words to say, but as a physician and human, the violence toward medical facilities and patients in Gaza is awful and heartbreaking. To all my colleagues in health care risking their lives to save others, my heart is with you.
JAMA@JAMA_current
Viewpoint: do health care professionals have any responsibilities to speak out about the conflict in the Middle East? ja.ma/49qfTI0
English

@ArminRosen What's the song? Wanna listen to the whole thing, sounds pretty catchy.
English

The Nanachs have arrived at the front. Hamas is done folks twitter.com/hasidic_1/stat…
Hasidic@hasidic_1
גיט מארגן אין ארץ ישראל
English


These @Dansko lasted me all of training. Today I retire them 😔…
Alright Twittersphere, what OR shoes do you recommend????

English

@ZechariahSharab Isn't Eyalat Hein by him? Daklon does a great version of it. music.youtube.com/watch?v=dBdRD5…
English

@jpavs17 Yes. Some of the worst post radiation urinary symptoms I have seen have been after proton beam radiation. Most seem to resolve with time. But, sometimes it's many months later.
English

@Eli_Rubin @ShabbosReads My brother, Yisroel Sandman, did some research about this. rylandscollections.com/2022/08/14/%e1…
English

my @ShabbosReads included this manuscript, loaned to me by a friend, a collection of individual chabad discourses copied by different ppl at different times (circa mid 19th century)
opens with the Tzemach Tzedek's annotated version of a discourse by the Alter Rebbe

English

@mycr_karenina And cheated out of a present. Did you also get the "combined" afikomen prize and BDay "bigger" present?
English

@yhazony There was a radiolab episode about this. wnycstudios.org/story/debatabl…
English























