Peng Jiang Lab
341 posts

Peng Jiang Lab
@LabJiang
Engineering human microglia to model and repair the diseased brain #iPSC #organoids #chimericbrains #Downsyndrome #Autism #Alzheimer's
Piscataway, NJ 08854 เข้าร่วม Şubat 2020
512 กำลังติดตาม626 ผู้ติดตาม

@LabJiang Looking forward to reading it. Always exciting stuff.
English

Chimeric brain models: Unlocking insights into human neural development, aging, diseases, and cell therapies: Neuron cell.com/neuron/fulltex…
English

All models have limitations. Animal models are indispensable for neuroscience research. Meanwhile, chimeric brain models provide opportunities to study human neural cells with advanced maturation and functional integration in an in vivo brain environment
cell.com/cell-metabolis…
English

Aβ plaques induce local pre-synaptic toxicity in human iPSC-derived ne... sciencedirect.com/science/articl…
English

Thrilled to share our new study published in @CellReports! 🎉
Led by @jin_mengmeng, @ZiyuanMa5, and Haiwei Zhang. Grateful for a wonderful collaboration with Dr. Steve Goldman, a pioneer in chimeric brain models and glial biology.
cell.com/cell-reports/f…
English

Thank you for highlighting our work!
Gan Lab@LiGanLab
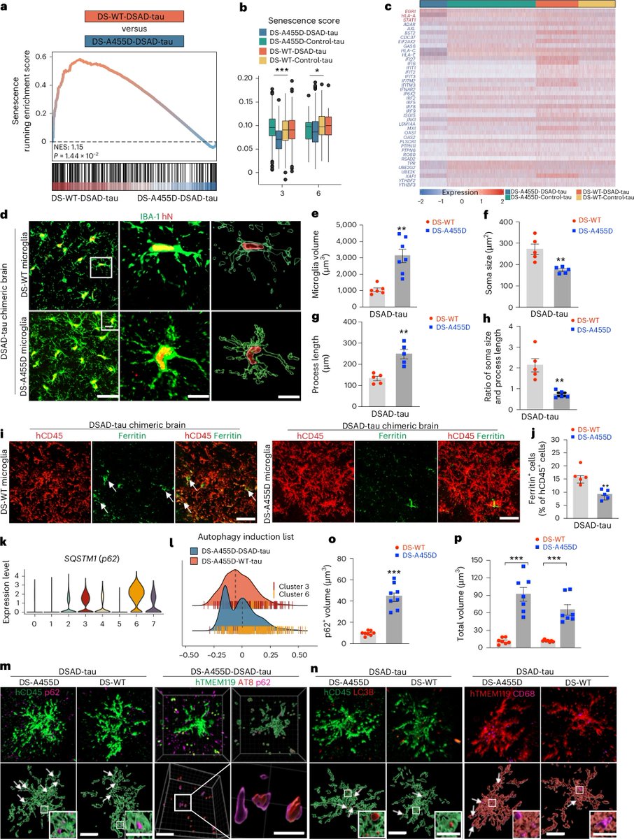
New study from Jiang group gives clues to Down syndrome patients' resilience to AD: DS-linked myeloid mutation CSF2RB A455D protects engrafted human microglia against tau by suppressing IFN signaling, boosting phagocytosis, & reducing microglial senescence nature.com/articles/s4159…
English

An idea we started in 2019 is now published in @NatureNeuro! Excited to share our new study: rdcu.be/eRvdA
Congrats to Mengmeng Jin @jin_mengmeng and our team! Heartfelt thanks to all collaborators for their support, and to the reviewers for their insightful comments!

English
Peng Jiang Lab รีทวีตแล้ว

A myeloid trisomy 21-associated gene variant is protective from Alzheimer’s disease @NatureNeuro
nature.com/articles/s4159…

English

Explore our new study here 👇, and Happy Thanksgiving to all!
Author’s link: rdcu.be/eRvdA
Rutgers Today article @RutgersU_News @RutgersSAS @RutgersU:
rutgers.edu/news/inspired-…
English
Peng Jiang Lab รีทวีตแล้ว

Human microglia differentially respond to β‐amyloid, tau, and combined Alzheimer's disease pathologies in vivo alz-journals.onlinelibrary.wiley.com/doi/10.1002/al… @alzdemjournals

English
Peng Jiang Lab รีทวีตแล้ว

Returned to this platform to amplify this beautiful work! Well done Sonia and all!
A major step forward and key experimental insights for how we advance this for many diseases.
Sonia Lombroso@Sonia_Lombroso
Microglia replacement via vascular delivery and no toxic preconditioning? Now THAT is something I can get excited about. In our new paper we find that microglia replacement can now be achieved by peripheral delivery w/ no irradiation or chemo required. 👉 doi.org/10.1016/j.ymth…
English
Peng Jiang Lab รีทวีตแล้ว

We are pleased to share our newest publication from the @BlurtonJonesLab, "CSF1R inhibitor-resistant model for CNS-wide microglia replacement strategies" sciencedirect.com/science/articl…

English
Peng Jiang Lab รีทวีตแล้ว

We are excited to announce the 3rd ASCN Symposium, Jan 28-30, 2026 in Houston! Featuring a keynote by Dr Hongkui Zeng @HongkuiZeng @AllenInstitute and 10 exciting sessions. Join us for cutting-edge talks, trainee award & networking!
Register at sfnchinese.org

English

Excited to share our new @STARProtocols paper!
We present step-by-step methods for purifying primitive neural progenitors by fractional passaging to generate astroglia-enriched cerebral organoids
Read here 👉: sciencedirect.com/science/articl…
English

