Madhu Reddy

452 posts

Madhu Reddy banner
Madhu Reddy

Madhu Reddy

@ReddyEPS

chief, heart rhythm doc, endowed professor @KUHospital, MBA grad, life long learner, twin with twins, agnostic, views my own #EPeeps

Kansas City, KS Beigetreten Haziran 2010
342 Folgt2.4K Follower
Marcelo Helguera
Marcelo Helguera@MarceloHelguera·
Interesting case. 1. Why impella ? LVAD not working ? Impella + LVAD = what about suction events ? 2. VT termination w PFA means nothing because is just a cardioversion. No inducibility better end point, but an aggressive induction protocol may be limited with these 2 suction devices. Thanks for sharing
English
1
0
6
598
Madhu Reddy
Madhu Reddy@ReddyEPS·
@sumitvermaep @gautamsand @narrowQRS @jskoruth @EJSMD I got a CT of chest/abdomen to reevaluate his anatomy and reviewed last UGI endoscopy from a few years ago. Some variation in anatomy due to his prior event and surgical changes. But overall looked acceptable. Did posterior wall isolation in addition to PVI with FaraPulse
English
1
0
1
204
Sumit Verma
Sumit Verma@sumitvermaep·
@ReddyEPS @gautamsand @narrowQRS @jskoruth @EJSMD Interesting case. Probably significant extra cardiac scarring and esophagus adherent to the LA. Curious about any imaging that maybe available. How would you approach it theoretically if it recurred again ? I’d still be worried about safety of PFA. Thanks for sharing
English
1
0
2
185
Madhu Reddy
Madhu Reddy@ReddyEPS·
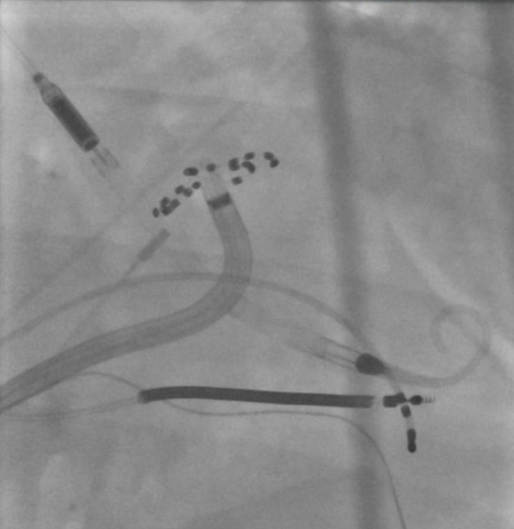
Unfortunate 33 y/o transferred for AE Fistula 6 years ago had thoracotomy, mediastinal debridement, esophageal stenting/removal. 6 yrs later presented with microreentrant flutter from the scar related to the AE infection. #Epeeps @gautamsand @narrowQRS @jskoruth @EJSMD @SergioPinski
Madhu Reddy tweet mediaMadhu Reddy tweet media
English
8
10
65
6.6K
Madhu Reddy retweetet
KU Cardiovascular Medicine
Chronicles of KU cardiology! Yesterday, our EP division took over the Arrowhead for the Chiefs vs. Ravens game. Supporters club ✔️ Party bus ✔️ The last slide is the main meal👌🥳.
KU Cardiovascular Medicine tweet mediaKU Cardiovascular Medicine tweet mediaKU Cardiovascular Medicine tweet mediaKU Cardiovascular Medicine tweet media
Westwood Hills, KS 🇺🇸 English
1
3
12
819
Madhu Reddy
Madhu Reddy@ReddyEPS·
Yesterday, we performed our 1500th Watchman implant @KUHospital, one of the few sites in the country, to reach this milestone. We were able to achieve this with excellent outcomes. I am really proud of the team for its commitment to patient care and quality. @prasadchan @AmitNoheria @rheapimentel3 @KUCVM
Madhu Reddy tweet media
English
2
5
37
2.7K