
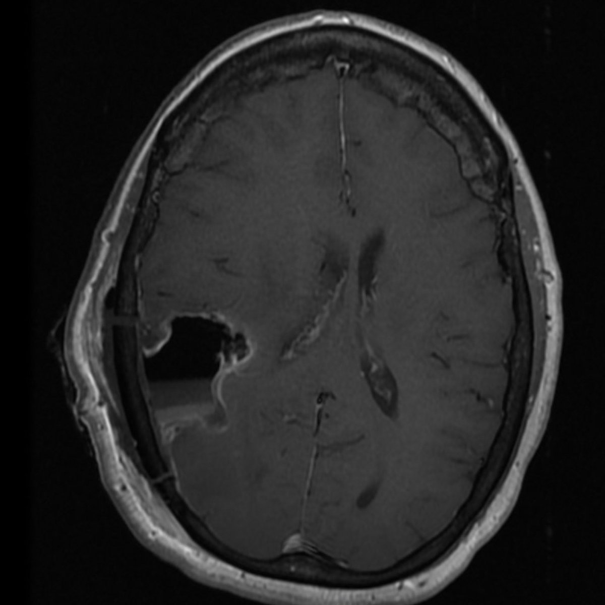
Great talk by @ShahidNimjee about VWF inhibiting aptamer for thrombolysis. This research has come along way and will improve stroke therapy in the future. It may be the beginning of the end of stroke mechanical thrombectomy. #SNIS2023 @OSUWexMed @NeurosurgeryOSU


English








































