Brett Wanamaker retweetledi

Join us on 10/18 for the "Heart and Vascular Symposium" #CME webinar. This webinar features experts from the Division of Cardiovascular Medicine. #MedEd
Learn more & register: umich.cloud-cme.com/course/courseo…

English
Brett Wanamaker
40 posts

@BWanamakerMD
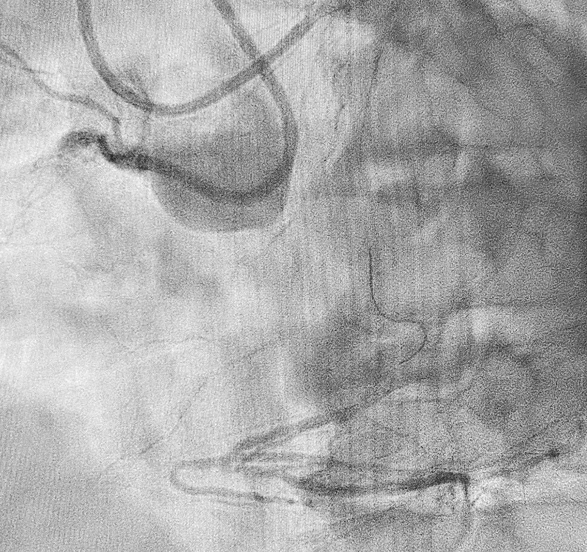
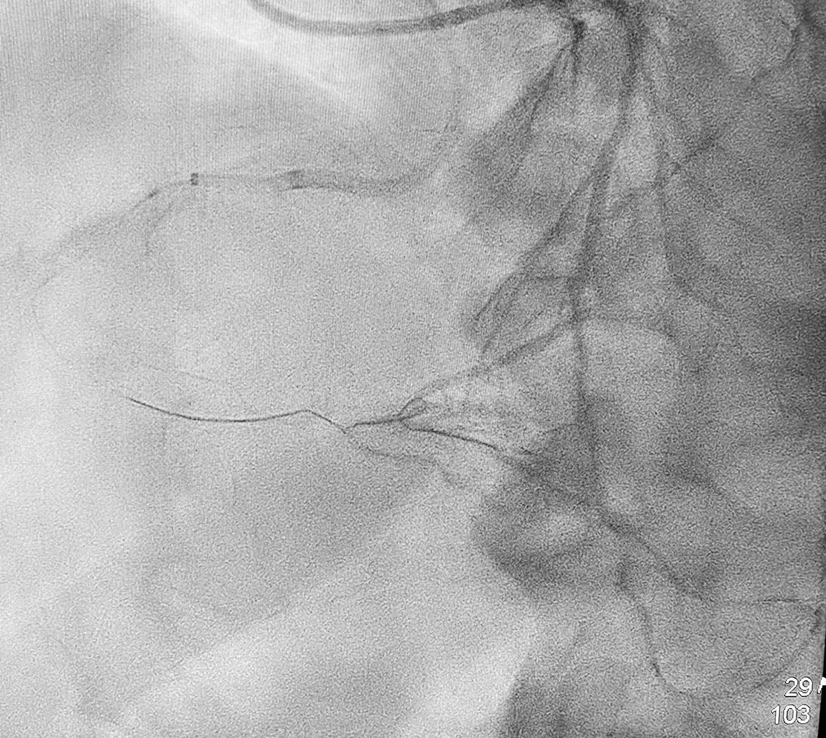
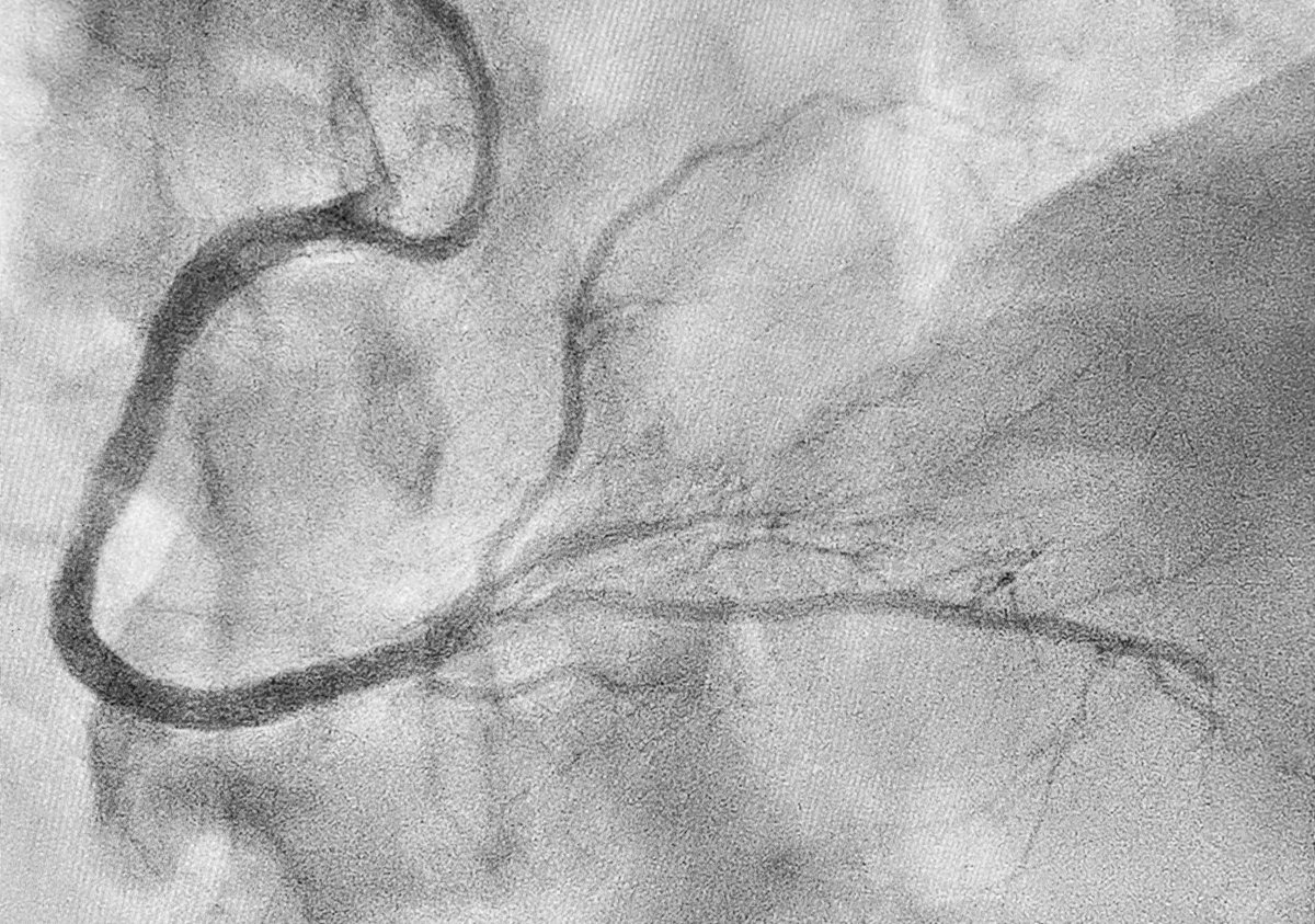
Girl dad. @Bethaleh’s husband. Interventional cardiologist with interest in CHIP/CTO PCI @umichmedicine.




























In a new paper, published in @PLOSONE, authors looked at BMC2 data to determine trends & outcomes of #PCI during the #COVID-19 pandemic in Michigan. They observed a reduction in PCI volume & a higher rate of risk-adjusted mortality. bit.ly/3BOlms7





