Craig Basman, MD, FACC, FSCAI
191 posts

Craig Basman, MD, FACC, FSCAI
@CraigBasman
Associate Director, Structural and Congenital Heart Disease, Hackensack University Medical Center
New York, USA Katılım Mart 2016
1.8K Takip Edilen2.2K Takipçiler

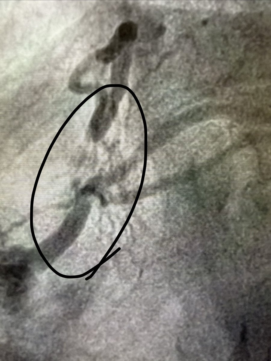
When your transseptal LV angiovac thrombectomy does not go as expected… but you are ready with the @ONOCORvascular in the ascending aorta 🙃
English

@KrityaMangesh @NadeenFaza @CRT_meeting @SachinGoelMD @Joe_Aoun_ @SLittleMD @KharsaChloe @abouzeid_karl @HMethodistCV Really interesting… I’ve seen some cases in different places with MR post- annular enlargement too
English

Presented a case series of mitral regurgitation post aortic annulus enlargement managed with M-TEER @CRT_meeting
The MR etiology ranged from annular dilation, leaflet tethering and perforation of AMVL.
@SachinGoelMD @Joe_Aoun_ @NadeenFaza @SLittleMD @KharsaChloe @abouzeid_karl


English

Glad to share some thoughts with @ParadeMagazine about diet and cardiovascular health.
They do a great job of informing public ways to keep healthy. ❤️
@HMHNewJersey
#health
#cardiotwitter
parade.com/health/cooking…
English

EVOQUE for rheumatic TR patient… potentially expanding this therapy to a new population.
@Edwards_TAVR
@HMHNewJersey
@vandanMD
@PWengrofskyMD
#tricuspid
Journal of Invasive Cardiology@InvasiveCardiol
✨Video of the Week: Transcatheter Tricuspid Valve Replacement for Rheumatic Tricuspid Valve Disease ▶️ hubs.ly/Q045njrJ0 @craigbasman @DLBHATTMD #cardioTwitter #cardioX #cardiology #interventionalcardiology
English

@SrihariNaiduMD @djc795 @GilbertTangMD Only the best for @djc795
We obviously got him a Black SUV for ride in too😆
English

Trying out the new Acela train on my way to #CRT2026 with @GilbertTangMD and @CraigBasman . See you all soon!

English

@GilbertTangMD @MountSinaiHeart @MountSinaiNYC @IcahnMountSinai @DoctorKini @KHERA_MD @LucySafi @DLBHATTMD @DrDavidReich @Dr_BrendanCarr Congrats on the win @MountSinaiHeart !
English

Congrats our structural ❤️ fellow Krishna Santosh Vemuri @MountSinaiHeart @MountSinaiNYC @IcahnMountSinai for winning the best case award #CRT2026!
@DoctorKini @KHERA_MD @LucySafi @DLBHATTMD @DrDavidReich @Dr_BrendanCarr

English

Cuando la reparación no es la última frontera. El desarrollo de técnicas de electrocirugía permiten pasar de la reparación fallida al remplazo. Este será un tema candente en el próximo #CSC2026. @RodrigoEstvez1 @icruzgonzalez @luisnombela @secardiologia

Español

Proud of @vandanMD for his work on our Cardiomems implant prior to TTVR… This research will help pave the way for optimizing hemodynamic management in future TTVR patients. Excited about where this takes us.
#tricuspid
#heartfailure
@AbbottNews
@HMHNewJersey
Vandan D. Upadhyaya, MD, MBA@vandanMD
Proud to present the innovative work at Hackensack UMC @HMHNewJersey in “Structural Heart Failure.” Our CardioMEMS–tTEER initiative pairs CardioMEMS with T-TEER to optimize “pre-HAB” and guide post-procedural HF in severe TR. @ryankaple @CraigBasman @PWengrofskyMD #THT2026
English
Craig Basman, MD, FACC, FSCAI retweetledi

Proud to present the innovative work at Hackensack UMC @HMHNewJersey in “Structural Heart Failure.”
Our CardioMEMS–tTEER initiative pairs CardioMEMS with T-TEER to optimize “pre-HAB” and guide post-procedural HF in severe TR.
@ryankaple @CraigBasman @PWengrofskyMD #THT2026


English

ŌNŌ helps again…
Great save by @CraigBasman and the team at Hackensack University Medical Center.
English

A nice save by the team at HUMC with Ono Retrieval..
@ONOCORvascular ,
Every high volume center should have this device on their shelf!
@vandanMD @PWengrofskyMD @SHYoonMD
#mitraclip
#structuralheart
English

@GilbertTangMD @JACCJournals @MountSinaiHeart Great paper! We have adopted this technique because of your prior work… excellent contribution to optimizing tavr
English

JUST OUT! Our official "Double-tap" Sapien 3 Ultra Resilia #TAVR paper is here #JACCINT @JACCJournals, showing double-tap post-dilatation optimizes S3UR expansion on fluoro. This has now become standard practice @MountSinaiHeart and many centers worldwide! Nice editorial by @ronwaksman and Viewpoints by the #Vancouver group!
jacc.org/doi/10.1016/j.…
jacc.org/doi/10.1016/j.…
jacc.org/doi/10.1016/j.…
@MountSinaiNYC
@IcahnMountSinai
@ParasuramMD
@DoctorKini
@KHERA_MD
@LucySafi
@sunnygoelmd
@AmithoodaMD
@georgedangas
@DrDavidReich
@Dr_BrendanCarr
@DLBHATTMD




English

@vandanMD @HMHNewJersey @PWengrofskyMD @ryankaple @EdwardsLifesci 28 minutes! Stick to trace MR. Great job
English

Successful mTEER for primary MR with bileaflet prolapse. Single PASCAL P10 → complete MR reduction.
Grateful to the @CraigBasman & the structural heart team at Hackensack @HMHNewJersey for the opportunity to grow. @PWengrofskyMD @ryankaple @EdwardsLifesci
#structuralheart
English

Well… Robots are doing TAVR now.
13 years of post-graduate training… just to be replaced by a machine that doesn’t need PTO, coffee, or credentialing. 🤖🫀😂
#CardioTwitter #StructuralHeart #Tech
academic.oup.com/ehjcr/advance-…
English

Six-Year Outcomes After Transcatheter vs Surgical Aortic Valve Replacement in Low-Risk Patients With Aortic Stenosis: @JACCJournals
🥸Important study - 4 authors!
👇👇👇

English

Mechanical aspiration of a RA mass in a 68-yo using the AngioVac system — guided by real-time TEE — with successful debulking and aspiration.
Grateful for the incredible team effort at Hackensack UMC. @HMHNewJersey @CraigBasman @PWengrofskyMD
#StructuralHeart
English

Smart Watches and Heart Health archive.tveyes.com/23577/emp123/5…
Great to join @MaryCalviTV and @CBSNewYork to talk about how we as cardiologists are using smartwatches to turn real-time heart data into smarter, more personalized care. ⌚️❤️
#HeartHealth
@HMHNewJersey

English




