Sabitlenmiş Tweet

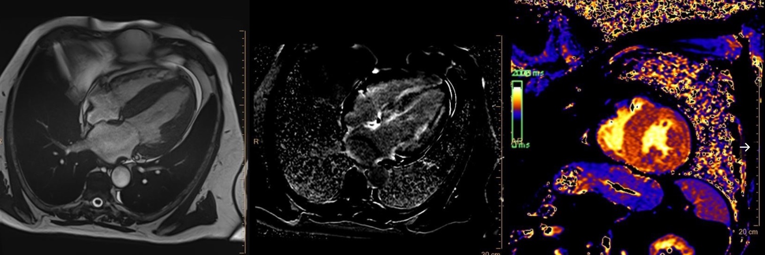
Just published on @ESCHeartFailure our meta-analysis on the prognostic role of T1 mapping in NIDCM. Both T1 mapping and ECV were associated with increased risk of the primary endpoint of MACE and the secondary endpoint of heart failure and arrhythmic-related events.

English


































