dr_haluk yaka
22 posts

dr_haluk yaka retweetledi
dr_haluk yaka retweetledi


@GwSafwan @Davembmd @DrBhavinJadav @Plexusorthoexam @Pranai_B @traumaticum @MatthewHarbMD @CPOrthopedics @pratikorho @ChrisGeeOrtho @itius @MGalanOlleros Closed reduction and i would prefer to add k-wire
English

6-year-old child, post FD with Lt elbow swelling and pain.
What’s your further management? @Davembmd @DrBhavinJadav @Plexusorthoexam @Pranai_B @traumaticum @MatthewHarbMD @CPOrthopedics @pratikorho @ChrisGeeOrtho @itius @MGalanOlleros


English

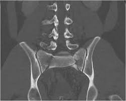
@radRounds Probably vertical shear pelvic injury. İt may be bilateral transforaminal or U/H type sacral fracture
English

@traumaticum @sancleracot @InvictaOrtho @rkh_md @Gnomelover1970 @aqueipot @DrMarecek @DrBhavinJadav I have reviewed the site and I like it. I will share my cases.
English

@HalukYaka @sancleracot @InvictaOrtho @rkh_md @Gnomelover1970 @aqueipot @DrMarecek @DrBhavinJadav just had a look at your profile - nice spectrum of cases. if youve not seen my site, have a look, and perhaps consider uploading to the catalogue? its all free. no catches. simply interested in engaging people who are interested in sharing their work :)
osteosynthesis.org
English

Male 40yo, healthy and physically active.
How do you treat this fracture?
Nonop, ORIF with plate or nailing?
@InvictaOrtho @traumaticum @rkh_md @Gnomelover1970 @aqueipot @DrMarecek
@DrBhavinJadav
#orthotwitter

English

10 y o male, congenital kyphosis case. treatment with kyphectomy and double fibula allograft. #spinesurgery #spine




English

47 years old male patient, neglected (3 mounths) multilevel thoracolumbar junction spine fracture (L1, T12 and endplate of T11). there is monosegmental pure osseous failure of the posterior tension band in T12. this also called "Chance" fractures. #spinesurgery #spine




English



































