Dr. Diego López

621 posts

Dr. Diego López banner
Dr. Diego López

Dr. Diego López

@TraumaRuberINT

Traumatólogo especialista en fracturas, prótesis de cadera y rodilla. Hospital Ruber Internacional

Madrid. España Katılım Ekim 2017
788 Takip Edilen519 Takipçiler
Dr. Diego López
Dr. Diego López@TraumaRuberINT·
@orthohouse123 @traumacito @InvictaOrtho Challenge case! Its important to know what happens with the leg, physical examination, ct scan and pain. Open reduction with a nail, cables and some graft, its what i’d like to do
English
1
1
3
663
Dr. Edward Oates
Dr. Edward Oates@traumaticum·
I'll take 'what is a stress-riser' for $500 thank, Phil
Dr. Edward Oates tweet media
English
17
17
185
17K
Dr. Diego López
Dr. Diego López@TraumaRuberINT·
@traumaticum @ChipRoutt @DrMarecek Two windows approach, lateral window iliac crest screw short Iliac plate inner. Medial window, reduce the fracture and long plate from pubis to high iliac (anterior brim plate) and percutaneus LC2 screw 🤷🏻‍♂️🔨
English
1
0
1
361
Dr. Diego López
Dr. Diego López@TraumaRuberINT·
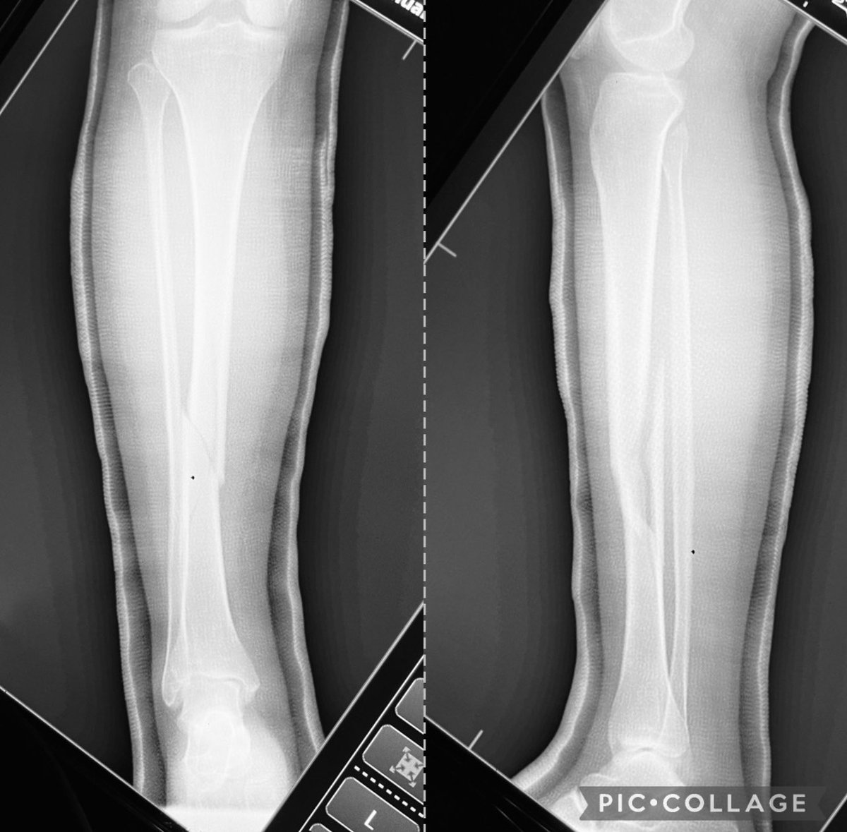
@nongtanch Proximal fibula is also broken and is more expensive for the patient not to work in 4 months, maybe
English
0
0
0
51
Dr. Diego López
Dr. Diego López@TraumaRuberINT·
@nongtanch I think is better to operate with a nail. Soft tissues control, less ankle and knee stiffness, and avoid rotational secundary displacement, usually in external rotation and early weightbearing
English
2
1
2
323
Antonio Tanchuling Jr. M.D.
Antonio Tanchuling Jr. M.D.@nongtanch·
Closed Reduction, Application of Long Leg Cast for Closed Comminuted Diaphyseal Fracture (Middle Third) of the Right Tibia (25/F, Motorcycle accident)
Antonio Tanchuling Jr. M.D. tweet mediaAntonio Tanchuling Jr. M.D. tweet mediaAntonio Tanchuling Jr. M.D. tweet media
English
3
5
18
3.4K
Dr. Diego López
Dr. Diego López@TraumaRuberINT·
@binayamishra16 @BoneJointDoctor @Drlyndonmason Horrible fracture…after applying an ankle-spanning external fixator (span) could repeat the CT to try to fix the medial maleollus, the articular main fragments and the talar neck….for asking…if not possible arthrodesis will be a good option. Good luck, thank you for sharing
English
1
0
2
245
Dr. Diego López
Dr. Diego López@TraumaRuberINT·
How do you remove this cortical fragments if you don’t use postero-lateral ankle approach? @traumaticum
Dr. Diego López tweet mediaDr. Diego López tweet media
English
6
1
3
4.2K
Dr. Diego López
Dr. Diego López@TraumaRuberINT·
Naaaa na nana na naaaa…hey jude. LEGEND
Dr. Diego López tweet media
Filipino
0
0
0
201
Dr. Diego López
Dr. Diego López@TraumaRuberINT·
@aqueipot No se, nuevos patrones de fractura …pacientes pluripatologicos, cargas precoces…🤷🏻‍♂️
Español
0
0
0
52
Dr. Diego López
Dr. Diego López@TraumaRuberINT·
77 yo, pluripathological patient, combo nail and plate. Suprapatellar nail
Dr. Diego López tweet mediaDr. Diego López tweet mediaDr. Diego López tweet media
HT
2
0
2
292
Dr. Diego López
Dr. Diego López@TraumaRuberINT·
@HalukYaka Not better, I think is the same, the pubic enter point is more dificult and you must drill from the other side, not to much comfortable
English
0
0
1
122
Dr. Diego López
Dr. Diego López@TraumaRuberINT·
Percutaneous acetabular fixation
Dr. Diego López tweet mediaDr. Diego López tweet mediaDr. Diego López tweet media
Română
2
6
37
4.7K
Dr. Diego López
Dr. Diego López@TraumaRuberINT·
@suhirad Yes of course! But with good bone, non conminution neither displacement and component tranverse AC fx with SIj fixed, i feel good not to open ischium or lateral window
English
0
0
0
34