
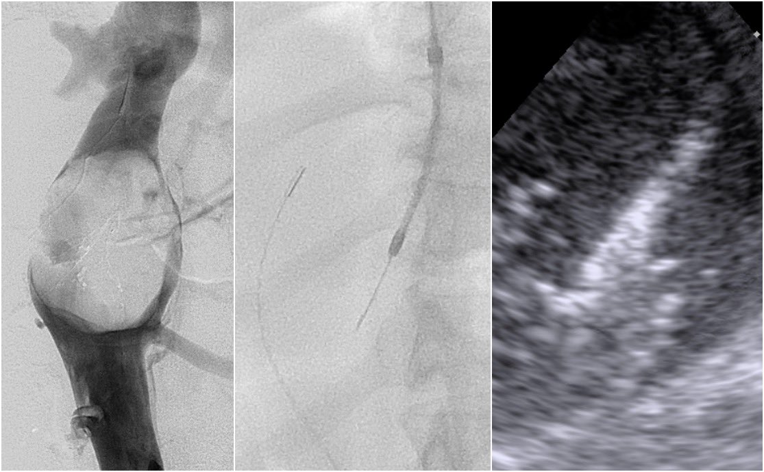
We are going Live! Hemorrhoid Embolization 9th October 2021 @12pm - *|jigglemed.com/live.html|*

English
JiggleMed
512 posts

@JiggleMed
#Endovascular #MedicalDevice #Education #LiveHelp JiggleMed App: https://t.co/dbRHxJ8YZI



























76th Floor!? 🙌🏽Who wants to join me & the @_backtable crew MONDAY Evening 3/30 #SIR20SEA at the @Medtronic Leadership Reception? @JiggleMed @SIRRFS @SIR_ECS @cirsesociety @CAIRads @keithppereira clubcorp.com/Clubs/Columbia…




Proud to bring @STREAMpae to @ISVIRIndia March 19th! @SamMouli @AriIsaacsonMD @SIRspecialists @JiggleMed @cirsesociety @GESTSymposium @TimMcClureMD @bsc_pi @PhilipsHealth #PAE #GAE



