
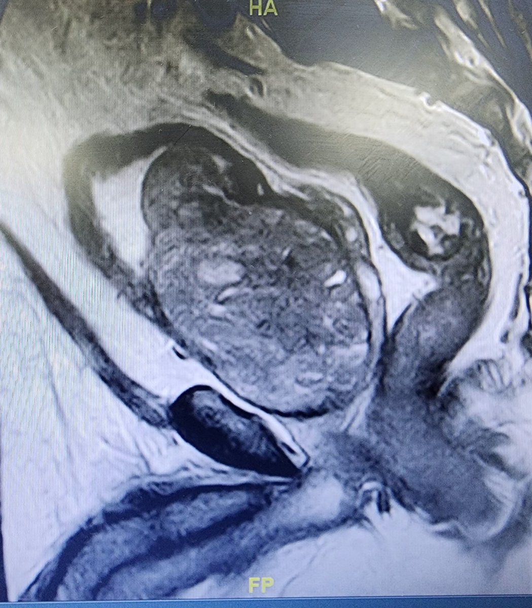
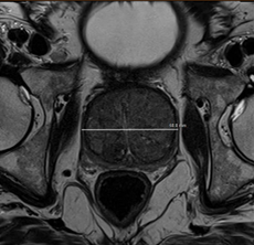
@GuidoGiusti @RebecaEscobarM @OlympusMedEMEA Well done, Guido, interesting case and perfect demonstration as usual 👍
English
Jonas Herrmann
485 posts

@JnsHerrmann
Assoc. Prof. of Urology | head of urologic laser center at AVK Berlin | endourology & HoLEP enthusiast | husband and proud dad of 3 | views my own









































