
Selwin Abraham, MD
29 posts

Selwin Abraham, MD
@MdSelwin
Interventional Cardiologist @erlangerhealth /Assistant Professor at U of TN/@BCMheart/@LLUHealth /opinion=my own
Katılım Mart 2020
63 Takip Edilen62 Takipçiler

@HadyLichaaMD @RajTayalMD @agtruesdell @Babar_Basir @adityadoc1 @BagaiJayant @ashkan_1670 @PLooserMD @KateKearney4 @SJcardio @AntonLishmanov I’m planning on immediate implementation in our cath lab Hady!
English

Excited about this new effective device for #ProtectedPCI!
@RajTayalMD @agtruesdell @Babar_Basir @adityadoc1 @BagaiJayant @ashkan_1670 @PLooserMD @KateKearney4 @SJcardio @AntonLishmanov

English

@HadyLichaaMD @mirvatalasnag @mmamas1973 @cardiowiis @MichaelMegalyMD @DeepBlueDoc21 @AnkurKalraMD @Umair2017 @DrDamluji @DrAFrangieh @AntoniousAttall @RajTayalMD Hady! Tell him to stop growing immediately!
English

Welcome to his dream house!!
#GingerbreadDreamhouse
@MdSelwin @mirvatalasnag @mmamas1973 @cardiowiis @MichaelMegalyMD @DeepBlueDoc21 @AnkurKalraMD @Umair2017 @DrDamluji @DrAFrangieh @AntoniousAttall @RajTayalMD

English

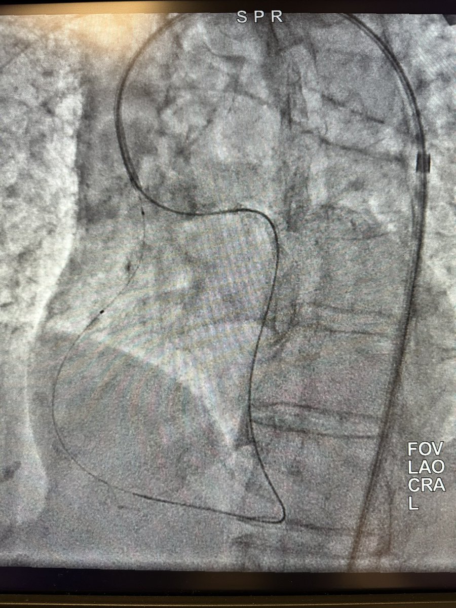
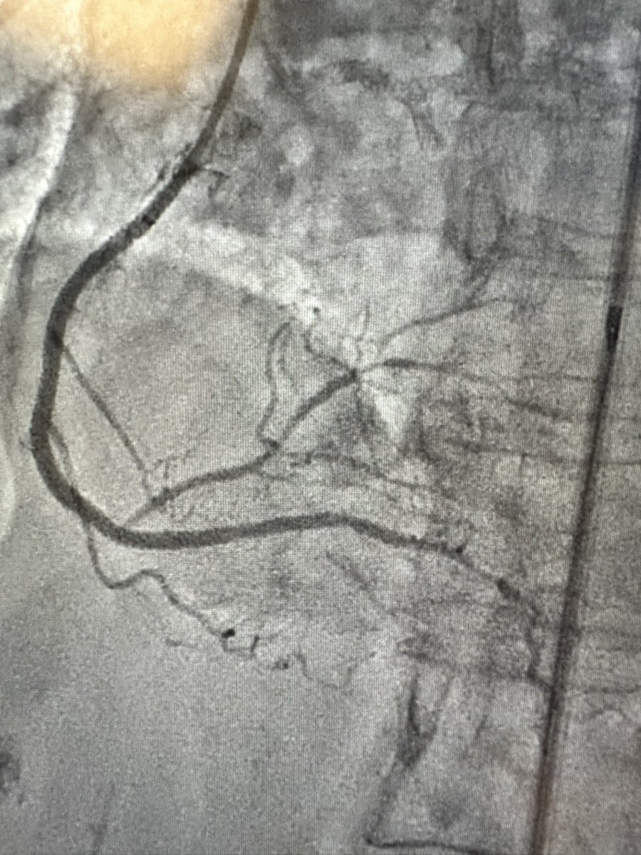
Interesting situation in patient with challenging access options with flush occluded ostial RCA. Able to wire retro and externalize in single EBU guide in the descending aorta before switching antegrade and stent.@jgpugedamd



English

@HadyLichaaMD @kerrigjl @a_l_bailey @cardiowiis @AmitKeswaniMD @bbiglane @DrAnkitKPatel @vascularIR @behnam_tehrani @nadia_sutton @BagaiJayant @mobitz @TNChapterACC @AdityaMandawat @AaronFrittsMD @evhaddad Very nice Hady! What area where you at?
English

celebrating an incredible #structuralheart team @erlangerhealth with over 200 left atrial appendage closure cases, preventing stroke before it happens! #afib #Epeeps #LAA
this group brings me so much joy and loves on our patients!


English


@HadyLichaaMD @BigMaqMD @yourheartdoc1 @agtruesdell @DrAsifQasim @ashaukat09 @mirvatalasnag @ShariqShamimMD @HamidSKhan5 @kalazizimd @aspergian1 Looks like it could be a great case for simultaneous IVUS/stent deployment.
English

@BigMaqMD @yourheartdoc1 @agtruesdell @DrAsifQasim @ashaukat09 @mirvatalasnag @ShariqShamimMD @HamidSKhan5 @kalazizimd @aspergian1 If it looks the same i would protrude a DES from the LCx back into the LM and would wire the ramus and LAD. Likely not to shift plaque back into the LM/LCx
English

@HadyLichaaMD @ashkan_1670 @SriPittaMD @CAThompson99 @iQ_cath @CardioIAN @cardiowiis @mobitz @MoMorsy2017 @KMansour300 @ATYounesMD @jason_wollmuth @A_N_Mahmoud_MD @aljanosi @sanjum @rwyeh @jairtonarruda @fady_iskander @lismendez @MacAnsari @HashimKhan_1 @ziadalinyc @AndrewMorseMD @atishmathurmd @iSagarReddy @khellox @sundaram_madhan @PKR_MD @KhandelwalMD @Babar_Basir @RealKushAgrawal Fantastic work Hady! Thank you for your continued enlightenment to our field!
What wires did you use in the case presented?
English
Selwin Abraham, MD retweetledi

Eager to hear innovative and engaging ideas for the structural program- people and topics! Our first meeting in person for scai will be amazing! Let's dream big. @StevenYakubov @SCAI @PradeepYadavMD
SCAI@SCAI
Submit your session suggestions for #SCAI2022 taking place May 19–22 in Atlanta. We are seeking ideas for fully developed programs that include session/ presentation titles, diverse faculty, and clearly outlined learning objectives across all areas of IC scai.confex.com/scai/2022/idea…
English

@HadyLichaaMD @SJcardio @saraceciliamtz @GabashaMD @PLooserMD @cardiofrizz @anandchicago @EmileMehanna @DrAFrangieh @Vascularman @AHRavandi @doconmoney @DrAnkushG @dr_ashishg @patelapurva @RealKushAgrawal @cuttingforstone @cardiowiis Not sure what I’m more impressed with, the information or the drawings!! It’s like something Pixar would do!! Nice work Hady!!
English

UPs & DOWNs of #Tortuosity: Uncomplicating the #Complex @SCAI sessions today 5pm EST
@EricSecemskyMD @VladLakhter @kerrigjl @DLBHATTMD @SVRaoMD @SCAI_Prez @AmitKeswaniMD @AGoldsweig @Umair2017 @BaylorCardio @SanChris999 @sabeedak1 @SripalBangalore @prkothapalli @CCIJournal




English

@HadyLichaaMD @iamritu @DrAnkitKPatel @LucySafi @kerrigjl @RealKushAgrawal @EricSecemskyMD @hvanspall @mmamas1973 @HeartOTXHeartMD @a_l_bailey @cardiowiis Please tell Kevin I need help building one of those for my place! I’ll supply the helpers.
English

Kevin Lichaa proud of the #shelter that we built in the #woods this afternoon with fruit reserves for the tough winter ahead!
@iamritu @DrAnkitKPatel @LucySafi @kerrigjl @RealKushAgrawal @EricSecemskyMD @hvanspall @mmamas1973 @HeartOTXHeartMD @a_l_bailey @cardiowiis @MdSelwin


English
Selwin Abraham, MD retweetledi
Selwin Abraham, MD retweetledi

Finally the evidence in @CCIJournal!!
MyJSCAI@MyJSCAI
#SafeFemoral = Micropuncture? Femoral access using 21G Micropuncture reduced vascular complications (specifically groin hematomas) compared with 18G standard needle access. onlinelibrary.wiley.com/doi/full/10.10… Follow @CCIJournal, facebook.com/CCIJournal Official Journal of @SCAI
English

#Snuffbox #Cephalicvein #access & #DistalRadial compressed by 1 device: Simple + fast = Happy Patient, staff & doc.
@KPujdak @SukhNijjer @AndrewMorseMD @DLBHATTMD @MdSelwin @DocSavageTJU @heartdocandcrew @drmkmittal @MatthiesenTimm @MGtberg @agtruesdell @RajTayalMD @cardiowiis
English

#Cathlabhack: #RHC from #Snuffbox. Safe, fast, convenient, ergonomic & less #radiation. 1 #Radialfirst #CompressionDevice for 2 access sites. #PatientSatisfaction +++ #WinWin. Details in @InvasiveCardiol
invasivecardiology.com/articles/right…
@EricSecemskyMD @ekgpdx @RajTayalMD @kaschenke




English

@HadyLichaaMD @BaylorCardio @MatthewCertain @AnkurKalraMD @DrAnkitKPatel @keithppereira @SOBE_Vascular @willsuh76 @wissamj123 What are you using for your basilic vein access lately? Micro needle, an angiocath, etc? I’ve run across a few cases in smaller patients where the micro needle has been cumbersome
English

@BaylorCardio @MatthewCertain @AnkurKalraMD @DrAnkitKPatel @keithppereira @SOBE_Vascular @willsuh76 @wissamj123 I like slender but i found that the Merritt prelude 5/6F sheath is way more kink resistant since it is well braided. I have switched to it 100%. Works amazingly well in pedals to
English

R Submassive PE, + trop/bnp, RV/LV 1.05.Using Pigtail with J to get to R PA then 5F H hunter catheter with looped V18 then exchange for EKOS. What catheter/wire R U using to get there? @AnkurKalraMD @DrAnkitKPatel @keithppereira @SOBE_Vascular @BaylorCardio @willsuh76 @wissamj123
English












