


DavidSusterMD
1.3K posts

@MdSuster
Associate Prof. @Rutgers_NJMS, trained @BIDMCpath @MGHpathology @MountSinai_Path, Certified in Anatomic, Clinical, Molecular Genetic Pathology, T/RT= my own








What’s the diagnosis of this spindle cell lesion of breast? 🪡🔬 Poll in the comments 👇 Answer reveal on Monday! 🙌 #PathX #PathTwitter #breastpath

















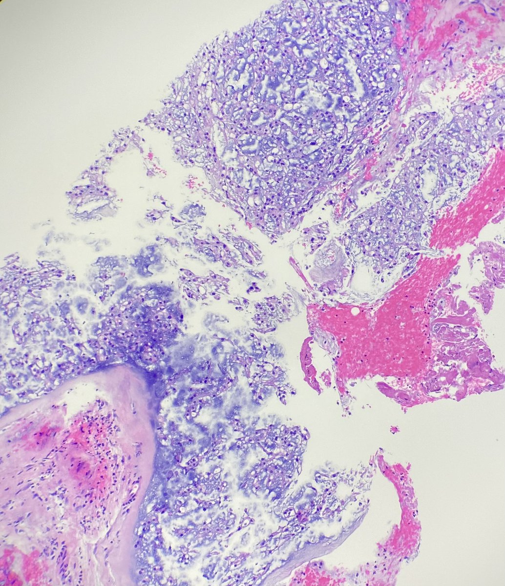
What happens when EWSR1 and SSX join forces? A broad clinicopathologic spectrum of sarcomas, including fusion-driven osteosarcomas. Surprises at every turn with @JMcMahonG , @MdSuster, and a great team of collaborators. Check it out! modernpathology.org/article/S0893-… #BSTpath
















