Dylan Miller M.D.
64 posts

Dylan Miller M.D.
@MillerPathology
Cardiac Pathologist in Salt Lake City.
Salt Lake City, UT Katılım Aralık 2012
125 Takip Edilen284 Takipçiler


Appendectomy specimen. High-power image. What do folks think the diagnosis is? #pathology #gipath #PathTwitter

English

@badbrainstrains @IHC_guy Congrats! Great group. Now even greater!
English
Dylan Miller M.D. retweetledi

Recommended IHC for carcinoma of unknown primary
twitter.com/VaughanPappy/s…
English

@IHC_guy @stephen_lagana @LiverPath_HPHS @MSeidmanMD @Mvgs1706 @liverpath @RaulSGonzalezMD @PancPathologist @zhang_xuchen @IAbukhiran Definitely vein. Both have an internal layer, only arteries have an external (admittedly attenuated in your photo). Vein adventitia has a ton of smooth muscle bundles and elastic fragments but no organized/condensed external layer. Check out ExpertPath Normal Histology chapters.
English

@MillerPathology @stephen_lagana @LiverPath_HPHS @MSeidmanMD @Mvgs1706 @liverpath @RaulSGonzalezMD @PancPathologist @zhang_xuchen @IAbukhiran Thanks, Vice.
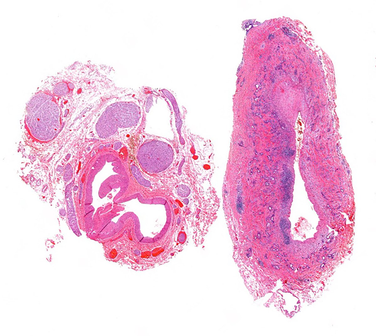
Here's an elastichrome (1 image from the uninvolved blood tube and 2 images from involved) . . . both seem to have 1 elastica ... vein and vein???



English

Happy to be announce that I have accepted a position as a neuropathologist at the University of Zurich. I am so grateful for my time at the University of Utah and all the amazing people here. #neuropathology

English

@JefferyAGoldst1 @leon_metlay One gland does not a tumor make. Could be an embryologic remnant? Surgical or autopsy?
English


@BethRodgersSLT @sltrib I will miss you. All the best!
English

A bit of news about me ... Friday was my last day at the @sltrib, and I'll soon be leaving Utah and moving back east to be closer to family.
It's been more than 3 years since my mom & I drove through the mountains together, with my car loaded full for my move to Salt Lake City.

English
Dylan Miller M.D. retweetledi

Happy lab week to all #heros in the lab! Happy to celebrate with my new son and some gifts from @ASCP. Lab results are so important! #hungrybaby #ASCPLabWeek21 #ASCPSoMeTeam @KMirza
English

@IHC_guy It’s all perspective. I would never venture out for lunch in the open unless we are solidly in the upper 60s or low 70s 🤣
English

@IHC_guy Can't think of the right words...I only get swears. Give yourself all the time and space you need.
English

The underlying basis of many fat paychecks
Charles Leduc, MD@thoracicpath
Another type of "blue body" ;). This type more nefarious then our gentle and mysterious typical ones. Perls Prussian blue.
English

@ZarePranita @kinasa85 @_SaranyaS_ @fabiotavora @MelanieBoisMD @IvanaKholova @AECVPCam2021 @UKCardiacPath @CryCardiac @SCVP1 @kriyer68 @thejourneymate Agree, metastatic carcinoma. Not myxoma.
Slovenščina

Incidental histological finding on the endocardium of the right ventricle in a 56-year-old male
#cardiacpath #CVPath #mumbaicvp @_SaranyaS_ @fabiotavora @kinasa85 @MelanieBoisMD @IvanaKholova @AECVPCam2021 @UKCardiacPath @CryCardiac @SCVP1 @kriyer68 @thejourneymate

English

@thejourneymate @UKCardiacPath @joemaleszewski @SheppardNoelle @SCVP1 @CryCardiac @MelanieBoisMD @_SaranyaS_ @kinasa85 Any thymic epithelia? CD1a/TdT or CK5/pax8 (depending on your clone)...
English

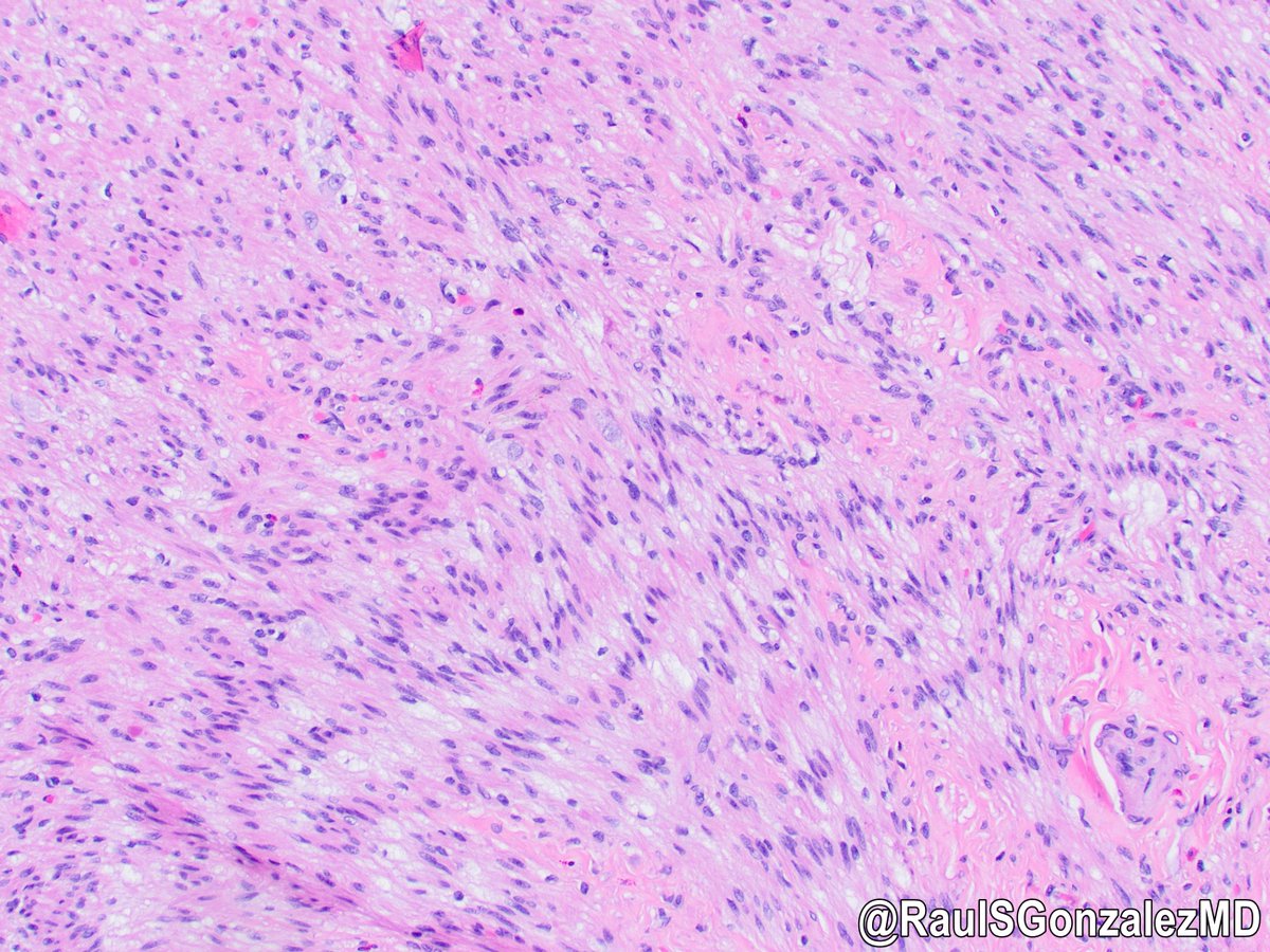
Cellular Cardiac Myxoma: New histopathological subtype?
The tumor was more cellular with predominant trabecular pattern with few single cells and Vasoformative pattern. The extracellular myxoid matrix was less and shows tiny cystic vacuoles.
#CardiacPath
bit.ly/3ctrys4

English















