North American Society of Head & Neck Pathology retweetledi

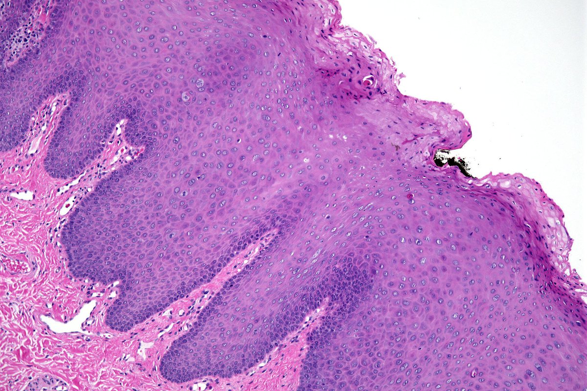
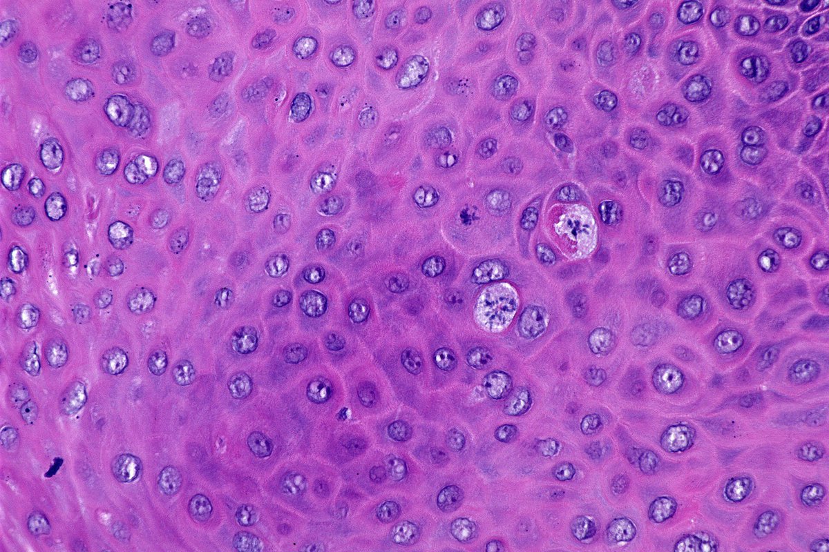
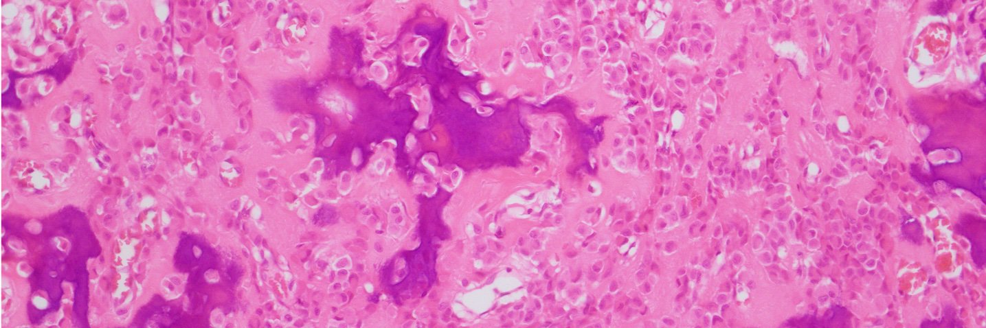
@EndoPath reports on EBV-positive neuroendocrine carcinoma of the nasopharynx, a rare cancer with distinct molecular features. Whole-exome sequencing reveals high mutational burden and key mutations in TP53, APC, and PROK2.
bit.ly/4sXLF8W
English















































