Sabitlenmiş Tweet
Rutgers RWJMS Pathology
70 posts

Rutgers RWJMS Pathology
@PathologyRWJMS
Official Twitter Account for the Anatomic & Clinical Pathology Residency Program at Rutgers RWJMS in New Brunswick, NJ. #Path2Path #PatchMatch22 #PathMatch2022
New Brunswick, NJ Katılım Eylül 2020
562 Takip Edilen663 Takipçiler
Rutgers RWJMS Pathology retweetledi
Rutgers RWJMS Pathology retweetledi

Congratulations to Valerie Fitzhugh of @Rutgers_NJMS for making this year’s Pathology Power List! Dr. Fitzhugh has been a leading voice in highlighting COVID-19 health care disparities and the lab’s role during the pandemic.
go.rutgers.edu/5129gbnz

English
Rutgers RWJMS Pathology retweetledi

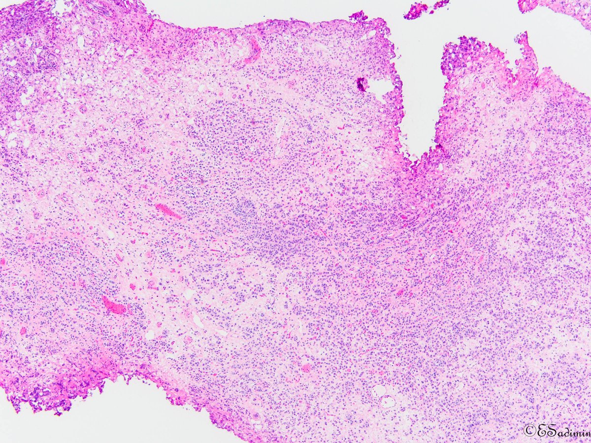
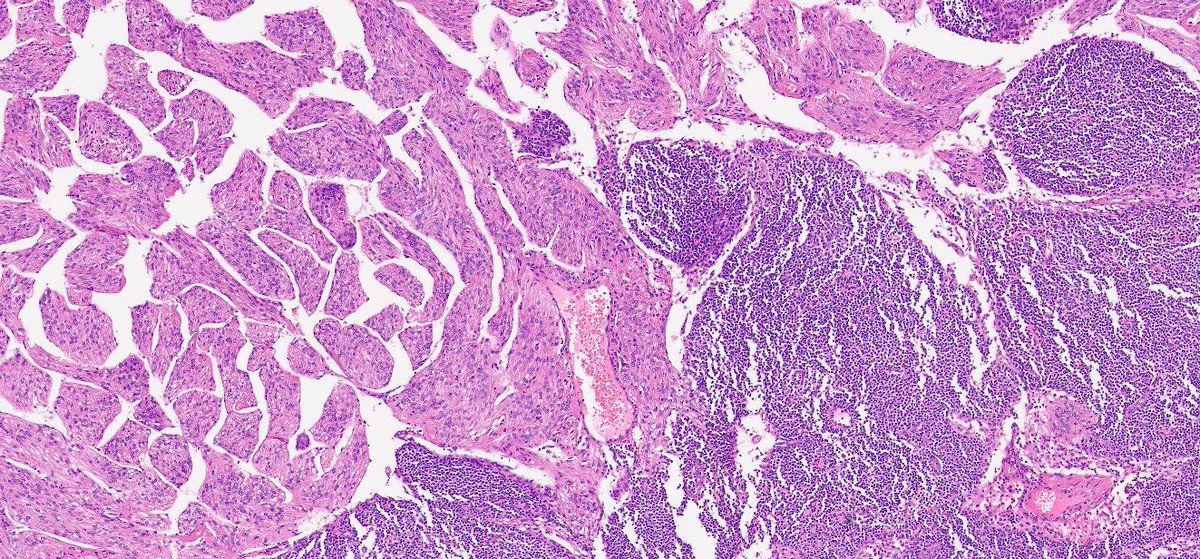
Plasmacytoid urothelial carcinoma (GATA3, CK7 and p40 positive) #pathology #pathologists #GUpath #pathboards @PathologyRWJMS


Română
Rutgers RWJMS Pathology retweetledi

Happy New Year! 57 years old woman, lumpectomy with separate margins for DCIS. The lesion was found in one of the margin specimens. Diagnosis? @EdiBrogi @fcschmitt @drgfarshid @rovingatuscap @SchnittStuart @CollinsLauraC @AGrabenstetter @mkw_MD @LizaMQuintana @HannahYWen


English
Rutgers RWJMS Pathology retweetledi

To summarize 2020 in an H&E image. #pathology #pathologists #PathArt @MPathyart @IHeartHisto @PathologyRWJMS

English
Rutgers RWJMS Pathology retweetledi
Rutgers RWJMS Pathology retweetledi
Rutgers RWJMS Pathology retweetledi

Just did one of my favorite things as a pathologist. Examined a negative set of prostate biopsies & quickly paged the urologist so that he could inform the patient that there is no cancer & make for a happier, socially distant, cancer-free #Thanksgiving #GivingThanks 🦃🙏🔬🤓
English
Rutgers RWJMS Pathology retweetledi

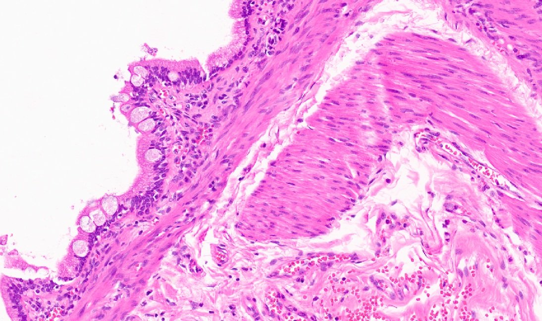
Beautiful section of an incidental ureteral diverticulum - outpouching of the mucosa through muscular wall of the ureter. #pathology #pathologists #GUpath #pathboards @PathologyRWJMS

English
Rutgers RWJMS Pathology retweetledi

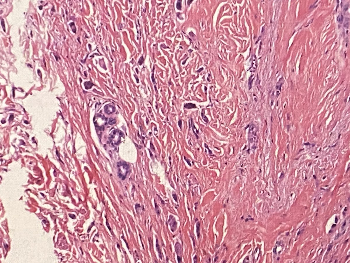
Mind-blowing case: schistosomiasis of the... breast!?
Rhonda Yantiss@RhondaYantiss
This may be my favorite case of all time, even though I'm totally out of my element. It may have circulated before but is worthy of an encore. Middle-aged woman with needle core biopsy for breast calcifications.
Los Angeles, CA 🇺🇸 English
Rutgers RWJMS Pathology retweetledi

This is a vulvar lesion! This is a poorly differentiated breast carcinoma arising in ectopic vulvar breast tissue (that’s how the breast pathologist got the case) #NJSPFall2020



English
Rutgers RWJMS Pathology retweetledi

Rutgers RWJMS Pathology retweetledi
Rutgers RWJMS Pathology retweetledi

If your lesion is well circumscribed on imaging, please be careful about the diagnosis you make! #BreastPath #NJSPFall2020
English
Rutgers RWJMS Pathology retweetledi

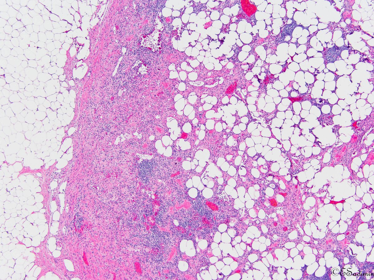
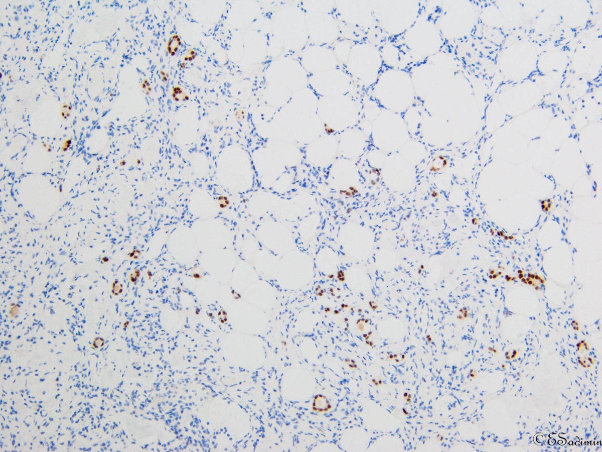
Lymph node with metastatic prostatic adenocarcinoma post radiation therapy, highlighted by NKX3.1 immunostain. Can be tricky to identify on H&E. Important to look closely at fibrotic areas. #pathology #pathologists #GUpath #pathboards
@PathologyRWJMS



English














