
@ProfRAScolyer Congratulations Richard and team. Wishing you well, you are in my mind often
English
Gelareh Farshid
59 posts

@drgfarshid
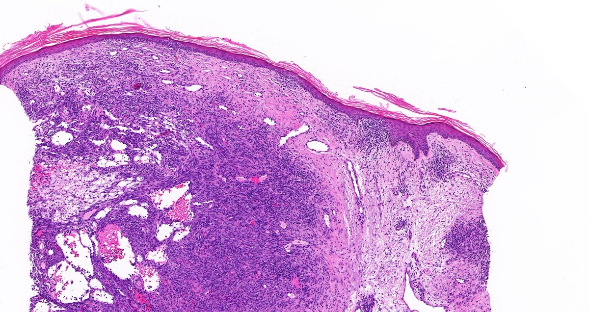
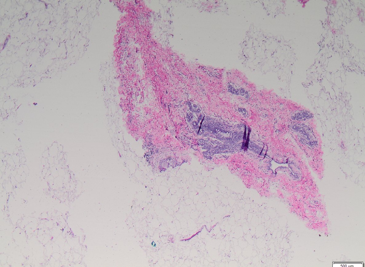
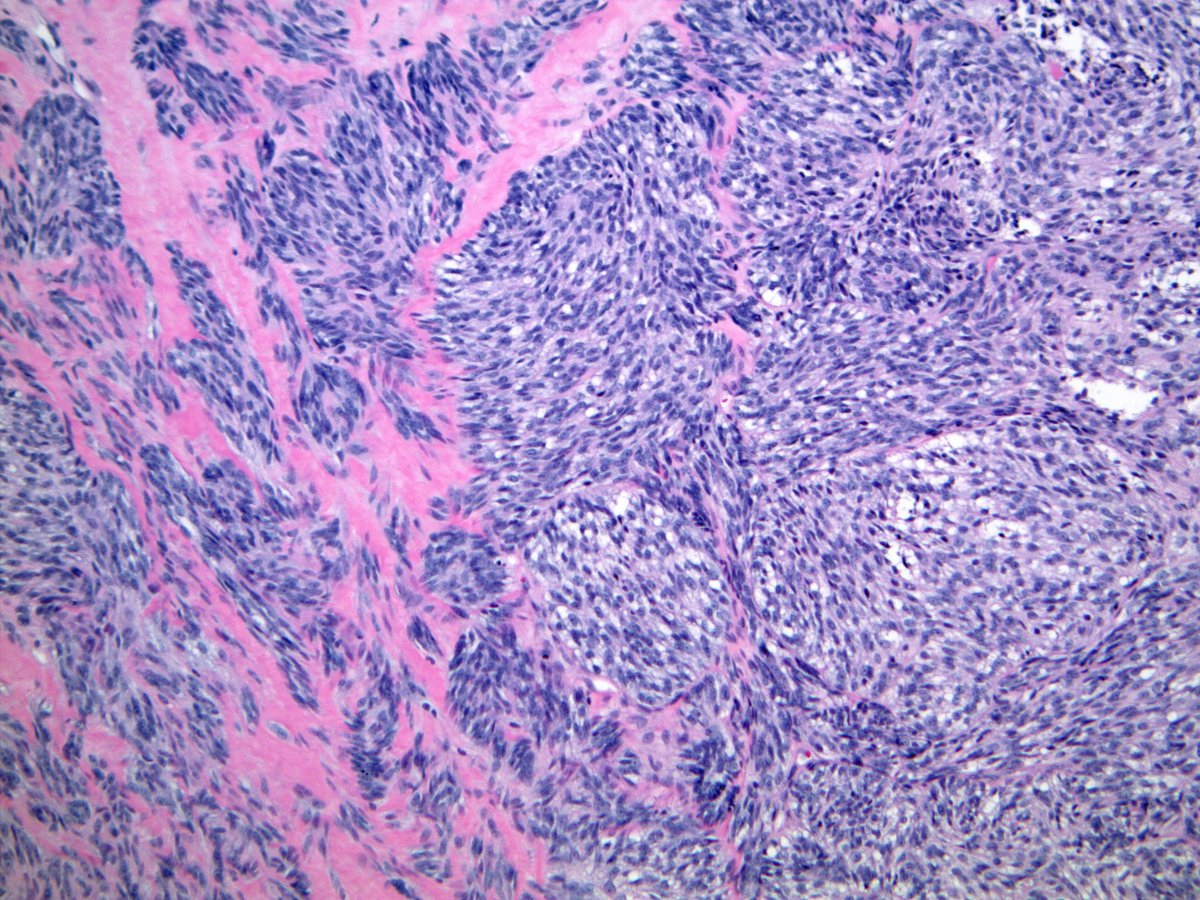
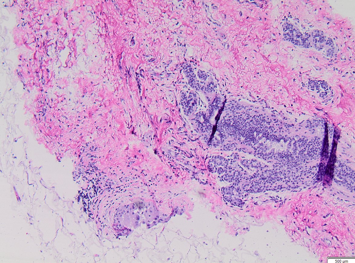
Pathologist at Royal Adelaide Hospital | Professor @UniofAdelaide | Interested in breast & soft tissue pathology, breast cancer screening & digital pathology






































