
QTmeds
296 posts

QTmeds
@QTmedics
🛡️ The 1st Privacy-First Prescription Analyzer. 📸 Scan Rx Offline to detect Drug-Induced QT Prolongation risks. 🧠 Validated Sources. Zero Data Upload




Do you routinely order a baseline ECG before starting ciprofloxacin? 🆕 ⚡Data suggests the answer is probably no — except in high-risk patients. No clinically meaningful QT/QTc prolongation with conventional oral dosing. 📄 JAC 2026: academic.oup.com/jac/article/81…



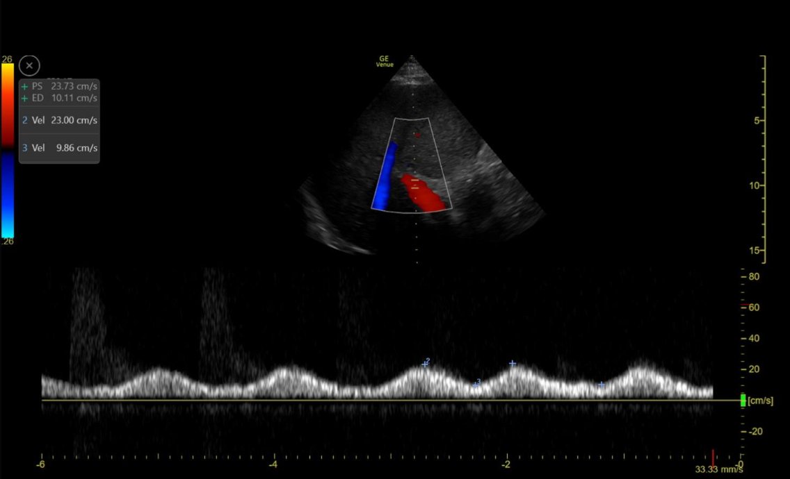
#Nephmadness #Nephpearls #VExUS #POCUS answer: It’s normal. The color map here is inverted, meaning red is away from the probe and blue toward it (the opposite of the usual BART rule). If the map wasn’t inverted, then I’d lean toward portal hypertension rather than cardiac congestion because an all-blue portal vein would be pretty unlikely in congestion.



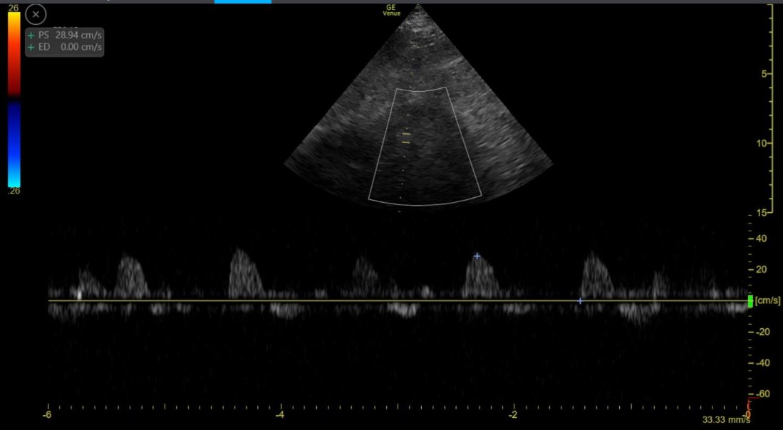
The importance of Doppler scale adjusment. Same patient, same window!




Fluid restriction in patients with heart failure: a systematic review heart.bmj.com/content/early/…



@NephRodby @NephroP @brian_rifkin @vandyniyyar Old school and POCUS is more similar than most people think! B lines = crackles Ivc or IJ pocus = JVP assessment Anechoic bands = oedema Other specialties are getting really good at it especially in AKI So don't "shmocus pocus" unless you want the intensivists to smoke us!


Learning hemodynamics is hard. I created a simulator that let's you titrate vasopressors, inotropes, vasodilators, and fluids across different hemodynamic states. How can I make this even more realistic? Still some hemodynamics responses to optimize. Try it and let me know👇


















