Basit Achakzai, MD
123 posts

Basit Achakzai, MD
@bachakzaimd
Chief - Interventional Radiology - Guthrie Health, Science News SIR, Gaming News World News Space News Technology.
Pennsylvania, USA Katılım Mayıs 2018
217 Takip Edilen86 Takipçiler

@VirginAtlantic i do not understand how splitting my itinerary Into two and making me and my family sit on a 7 hour plane ride is logical. When I called them to fix it, the answer is simply that you did not pay for assigned seats so you and your family will not sit together.
English

@Abdelbaki_VIR @vaheesanIR Great case and welcome to Guthrie IR team. We are lucky to have you.
English

Single session celiac plexus block using bupivacaine followed by alcohol ablation in a patient with pancreatic cancer and intractable abdominal pain. Pain went from 8/10—->3/10
@vaheesanIR @bachakzaimd

Horseheads, NY 🇺🇸 English
Basit Achakzai, MD retweetledi

Happy New Year!!! This pic tells the story of @irdocnigeria in 2021. 37 yr old female bleeding post myomectomy from a pseudoaneurysm. We flew to abuja, blocked off the bleeding vessel and back in lagos within 12 hrs. Patients brother found our service!!! Whats in store for 2022?

English
Basit Achakzai, MD retweetledi

Hmm, wonder why these procedures are in the AUA guidelines and not PAE…
Rena Malik, MD | Urologist@RenaMalikMD
Urolift and rezum complications reported to the maude database #AUA21
English
Basit Achakzai, MD retweetledi

63 yo F acute epigastic pain, CTA shows mesenteric PSA, selection & angio of IPDA using Excelsior J tip microcatheter @Stryker_NV embo w/low profile Ruby coils @PenVascular #iRad #FOAMed #RadialFirst @SIR_ECS @SIRRFS @CooperRadRes @UFHealth_VIR @bachakzaimd @joeirad @sarelgaurmd



English
Basit Achakzai, MD retweetledi

Filter out Friday! Starting July off strong. The new interns got a look at #irad! Easy retrieval of @ArgonMedical Option using the Argon retrieval kit. #medtwitter #vascular @UBRadiology @SIR_ECS @SIRRFS @IRadPatwary @keithppereira @DHidlayVIR @masi_zachary @CHICKVIR
English

@HadyLichaaMD @farkomd @AmputationSuck @SriniTummala @kmadass @SDhandMD @EricSecemskyMD @AkramWIbrahim @bcostelloMD @DrAmirKaki @RajTayalMD @ekgpdx @sanjum This is some great work!!
English

#ModifiedSchmidt occluded #DPaccess for retrograde deployment of #Supera to the rescue a CFA stent fracture (2 yrs prior, out of State)
@farkomd @AmputationSuck @SriniTummala @kmadass @SDhandMD @EricSecemskyMD @AkramWIbrahim @bcostelloMD @DrAmirKaki @RajTayalMD @ekgpdx @sanjum
English
Basit Achakzai, MD retweetledi

80 yo F, coil embolization R IMA for persistent, symptomatic hemorrhage despite reversal of anticoagulation. Procedure is straightforward, pt did great after, bonus great example of variant anatomy! #iRad #FOAMed @drochohan @SIR_ECS @iRadRock @SDhandMD @CHICKVIR @Dr_Bowser

English
Basit Achakzai, MD retweetledi

Great advice from @aravindarepall1 at @SIRspecialists
*use “we” and not “I”...
*early is on time, on time is late, late is unacceptable!...
*IR is a Team sport!
*Critical points for IRs both young and old!
English
Basit Achakzai, MD retweetledi

42 yo F severe Abd pain & hypotension, ED—>ICU, CT w/ruptured R ovarian cyst, active hemorrhage from R uterine artery branch🤯 Urgent R UAE, transferred to Med floor next morning, DC home 2 days post UAE #iRad #MedTwitter #WomensHealth #FOAMrad @SIR_ECS @ajgunnmd @LAlanis17



English
Basit Achakzai, MD retweetledi

Lobulated L lung mass on CT in 60 yo F hx R NSCLC, but US is optimal for safe, effective real time imaging during biopsy #iRad #MedTwitter #oncology #FOAMrad @AIUMultrasound @SIR_ECS @Doc_Rock2 @drochohan @RadsDanMD @Radiopaedia @RitchaSaxena @ifechiukehMD @keithppereira @malvc



English

@AHansraMD Well maybe the second one is to prevent migration of the first one? 😉
English
Basit Achakzai, MD retweetledi

40 yo M severe L flank pain, hypotensive, admit to ICU, CT shows hemorrhage from large renal AML. Angio of torturous AML arteries, subselective run w/active🩸patient stabilized post embo, home several days later #iRad #MedTwitter #FOAMrad #PatientCare @SIR_ECS @SIRRFS @DHidlayVIR



English
Basit Achakzai, MD retweetledi

81 yo M w/severe hypotension, acute anemia 2° duodenal🩸persistent despite GI clip placement. Angio shows extrav from IPDA + GDA into bowel lumen, coil embo —> stabilized in ICU, hgb 8–> 13, to Med floor 3 days later & home next week #MedTwitter #FOAMrad #iRad @SIR_ECS @SIRRFS


English

@JayMathewsMD @masi_zachary @VenuVadlamudiMD @cookvascular @bachakzaimd @sarelgaurmd @joeirad @SIR_ECS @drochohan @ShreyasPatelMD @EugeneBayawa @iRadRock AMAZING! Agree with @JayMathewsMD... a filter that actually helped! Would not remove unless overwhelming clinical indication to do so. If she ever needed an IVC recan, operative report wouldn’t be exaggerating if it said “crossing occlusion with wire was like going thru cement”
English
Basit Achakzai, MD retweetledi

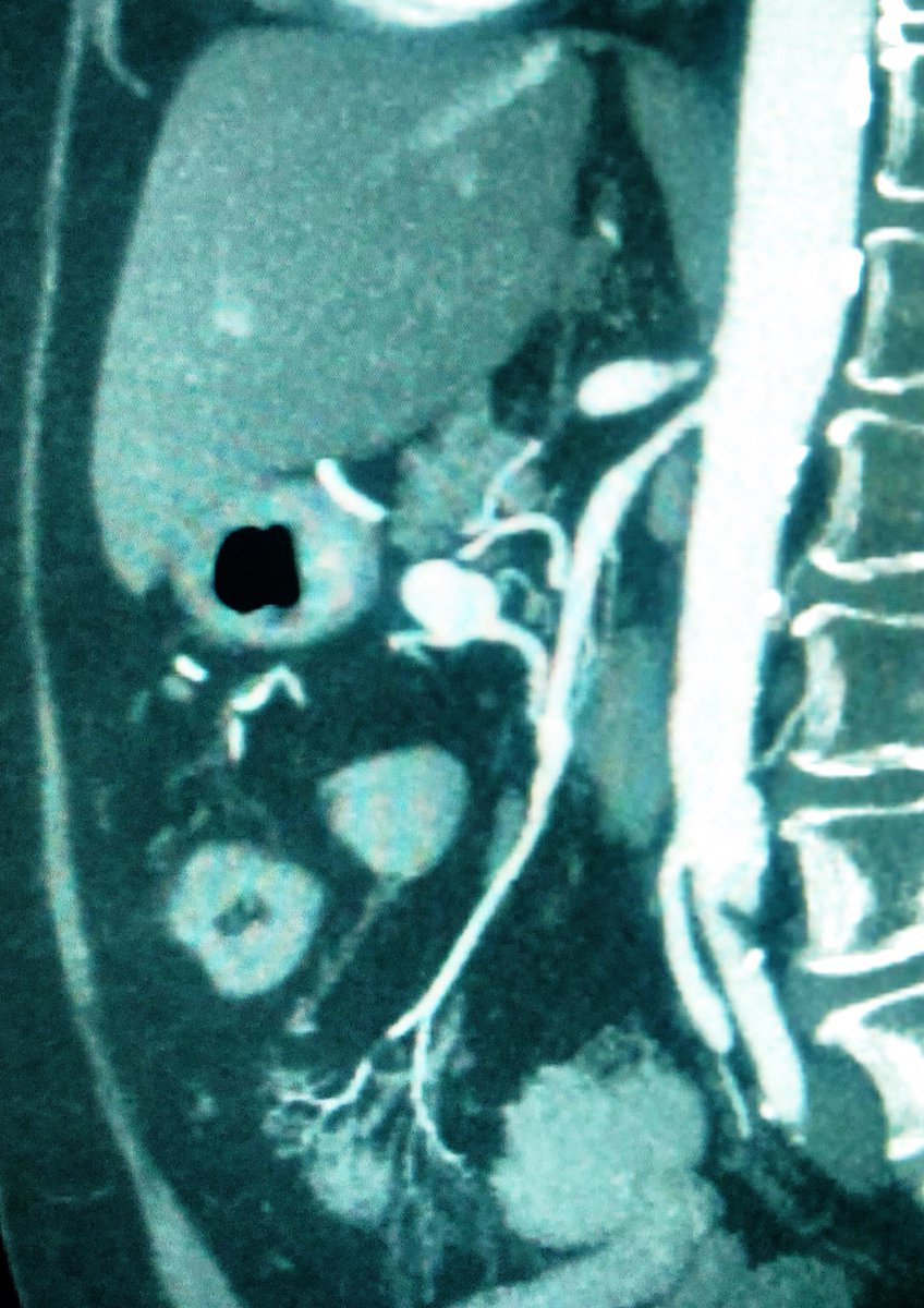
85 yo M Celect filter @cookvascular 6 mo ago for DVT/PE + contraindication to anticoagulation, here for retrieval. Unknown to us, spine surgery (outside hospital) did cement vertebroplasty of fused lumbars. Good thing that filter was there! Note ⬆️ flow azygous vein #iRad #FOAMed


English

@masi_zachary @cookvascular @sarelgaurmd @joeirad @SIR_ECS @drochohan @ShreyasPatelMD @EugeneBayawa @iRadRock Yea we discussed and decided to leave the filter alone. Our Vascular surgeons have said open removal will be morbid. Since patient is doing well and advanced age, we decided to leave it alone.
English

@masi_zachary @cookvascular @sarelgaurmd @joeirad @SIR_ECS @drochohan @ShreyasPatelMD @EugeneBayawa @iRadRock We have decided to leave it alone as patient is doing just fine. Vascular surgeon at our institute says that open removal will be very morbid. I am just glad we placed the filter before the spine surgery.
English

