Dr Benjamin SEFFERT retweetledi
Dr Benjamin SEFFERT
901 posts

Dr Benjamin SEFFERT
@benjaminseffert
Médecin Vasculaire, PH, @GHTLoire @ChuSaintEtienne @lasfmv #PAD #VTE #AOMI #MTEV #AVF #DVT #vascularultrasound
Loire, Rhône-Alpes Katılım Şubat 2012
706 Takip Edilen330 Takipçiler
Dr Benjamin SEFFERT retweetledi
Dr Benjamin SEFFERT retweetledi

Review discusses the selection, creation, and maintenance of arteriovenous access for hemodialysis for patients with kidney failure.
ja.ma/3Q4a0IC

English
Dr Benjamin SEFFERT retweetledi

Replacement of the IVC with side branch for the LRV after IVC leiomyosarcoma & R kidney en bloc resection. Right visceral rotation by midline laparotomy
6 blades setup with @ThompsonRetract
#oncovascular #vascsurg
English

Immense tristesse d’apprendre le décès de Lucie, ma pétillante co-interne dans le service de Chirurgie et Médecine Vasculaire du Pr CAMELOT du CHU de Besançon.
Plein de courage à Guillaume et ses deux enfants. @SCVE_fr @CHUdeBesancon

Français
Dr Benjamin SEFFERT retweetledi

Dr Benjamin SEFFERT retweetledi
Dr Benjamin SEFFERT retweetledi

Quand traiter une HTA ?
Recommandations ESH 2023 commentées par la SFHTA
youtu.be/VhQJVS0ZeCE?si…

YouTube
Français
Dr Benjamin SEFFERT retweetledi
Dr Benjamin SEFFERT retweetledi

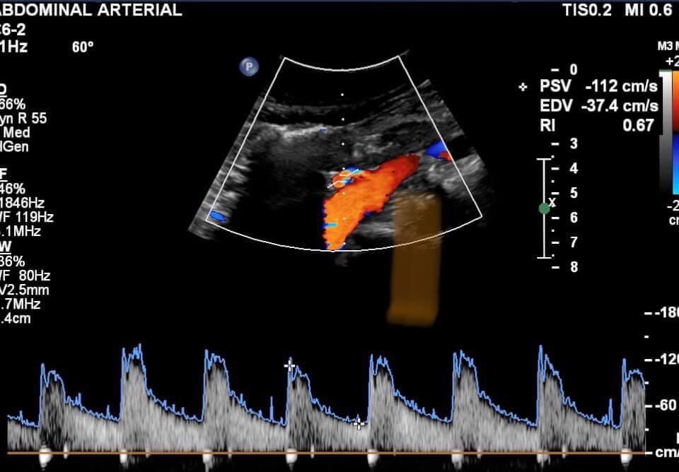
Incidental finding on aortoiliac examination. W, 62 years old, dyslipidemic and hypertensive. Artery emerging from the anterior wall of the infrarenal aorta, and in a caudal-cranial direction - RI: 0.67.
DUS: horseshoe kidney.
#dopplervascular
my.clevelandclinic.org/health/disease…




Brasília, Brazil 🇧🇷 English
Dr Benjamin SEFFERT retweetledi
Dr Benjamin SEFFERT retweetledi

[Urgences]
les urgences, c'est pas une évidence !
👉🏼Les réflexes à avoir avant de se déplacer
1⃣ Je prends conseil auprès de mon médecin ou pharmacien
2⃣ Je trouve un lieu de consultation sans rendez-vous
3⃣ J'appelle le 15
youtube.com/watch?v=MHjZOE…

YouTube
Français
Dr Benjamin SEFFERT retweetledi

3 ans de webinars accessibles à tous le corps médical, sans inscription et gratuitement avec les plus grands experts vimeo.com/showcase/sfmv

Français
Dr Benjamin SEFFERT retweetledi

‼️ Les recommandations Européennes 2023 sur la prise en charge de l'hypertension artérielle sont sorties ‼️
Venez retrouver un résumé sur cardio-online : cardio-online.fr/Actualites/A-l…
Ou le texte complet ici : pubmed.ncbi.nlm.nih.gov/37345492/
@CardioOnline @SFCardio @CCF_cardio @sfhta
Français
Dr Benjamin SEFFERT retweetledi

Même si nous sommes encore sous le choc de la destruction totale du #busducoeurdesfemmes, il n’est pas question de baisser les bras. Nous nous tournons déjà vers l’avenir, au service de toutes les #femmes. Pour nous soutenir : helloasso.com/associations/a…
#santé #prévention
Français
Dr Benjamin SEFFERT retweetledi

Je condamne fermement l’incendie injustifiable du Bus du Cœur des Femmes de l’@ACF_WCHF cette nuit à Bobigny. Je me suis entretenu avec Pr Claire Mounier-Vehier pour l’assurer de mon soutien & lui confirmer que nous mettrons les moyens nécessaires pour préserver cette initiative.
Français










