colm mc carthy
209 posts

colm mc carthy
@colmeamonn
Sport & Exercise Medicine Physician | Western Force Team Doctor | Grass and Ocean Enthusiast.
Perth, WA via Dublin, Ireland. Katılım Aralık 2010
512 Takip Edilen294 Takipçiler

@tomgoom @jcandersen84 Ha ha! Thank you Tom! Great night and great conference.
English

Last dregs of the whisky left after the #Sportskongres gala. Thanks @jcandersen84 @colmeamonn and #TeamWhisky for sharing a few nice drams together on a great night 😊🥃

English

Turns out if you drink enough beer, you actually become Irish… either that or the whole of perths Ireland community is here.
Rugby is the winner …
.
And @IrishRugby 7s
@SVNSSeries @svns_per #HSBCSVNS
English

@AdamWeirSports Fantastic - thank you for sharing openly Adam. Look forward to reading it.
English

#IOCATPC #ATPC2023
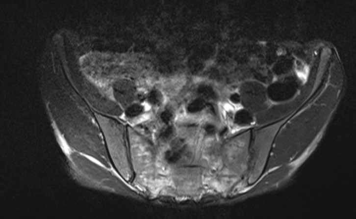
And slide from my second talk on the treatment of groin pain in athletes
Hard to fit it all into just 15 minutes - but hopefully lots of useful references and resources
See link below:
dropbox.com/scl/fi/7xqhj79…

English

@AdamWeirSports @DrJN_SportsMed What other scenarios do you find it particularly useful in Adam? Navicular BSI or base of 5th met I'd think? Mostly used for pars in Australia (very useful) and havent seen it used in Ireland yet.
English

@DrJN_SportsMed I think VIBE or ZTE MRI is end of CT for nealry all sports injury radiological requests.
English
colm mc carthy retweetledi


@mskradiologist Tibial nerve block under U/S - 1-2ml plain lignocaine works a treat.
English

@KillianM2 Embarrassing is right. It's football. Play hard on the ball, quit the crap off it.
English

@JODsportsmed @irishathletics @EuroAthletics @sportireland Love this tweet Jim - for all the reasons you state!
English

Great event yesterday @irishathletics and @EuroAthletics . This type of event can inspire a generation. A great perk of working @sportireland institute is being able to run here before work. Had the course to myself this am:)

English

@woolworths #greenwashing. Stop using so much plastic unnecessarily. Delivery from @woolworths just arrived with mountains of unnecessarily packed veg. Bananas come wrapped by nature if you hadn't noticed.



Perth, Western Australia 🇦🇺 English

Saving 320,000 households' worth of waste from landfill and providing the equivalent of 22 million meals to people in need are some of the ways we're helping create a better tomorrow. See how we're growing greener in our annual #Sustainability Report: wooli.es/5NgH50G4GKg

English

@woolworths Here's an idea, stop needless putting things in plastic bags for deliveries. This is a disgraceful waste. A sample of what just arrived. Stop this before patting yourself on the back. A bag for already wrapped asparagus??! Laggards.



Perth, Western Australia 🇦🇺 English

Australian #science could deliver a future where no new #plastic is needed & what already exists can be used again & again. We've cofounded Samsara, a plastic #recycling #startup using enzymes to help make 100% recycled packaging for a better tomorrow. bit.ly/2XBPBCJ

English

@keithgraham @Retlouping look hard enough and you’ll see someone close to the edge
English
colm mc carthy retweetledi

'Running is safe for your joints'. Spread the word! Enjoyed working with @JFEsculier @UBC_MABLab @MichaelaCMKhan, on an area I am passionate about. The article is published in @SportsMedicineJ, and a link can be found here: rdcu.be/cw881


English

@Catheri51981652 @ICPObesity @ASOIreland @EASOobesity @ECPObesity @ICGPnews @rcgp @WorldObesity @ObesityCan @ObesityUK_org @SCOPEObesity @novonordisk @obsmchat @ObesityAction The battle against weight bias and stigma in healthcare is certainly a huge challenge @Catheri51981652
English

"Talking about Weight - Tips for discussing weight with your doctor" #supportnotstigma #LivingWithObesity #Obesity
@ASOIreland @EASOobesity @ICPObesity @ECPObesity @ICGPnews @rcgp @WorldObesity @ObesityCan @ObesityUK_org @SCOPEObesity @novonordisk @obsmchat @ObesityAction


English









