Dirk Westermann retweetledi
Dirk Westermann
2K posts

Dirk Westermann
@dirkwestermann
Cardiologist. All tweets are personal opinion and no medical advice. Grateful to work at UHZ Freiburg / Bad Krozingen @UHZ_UNIFreiburg
Deutschland Katılım Eylül 2012
339 Takip Edilen1.6K Takipçiler
Dirk Westermann retweetledi

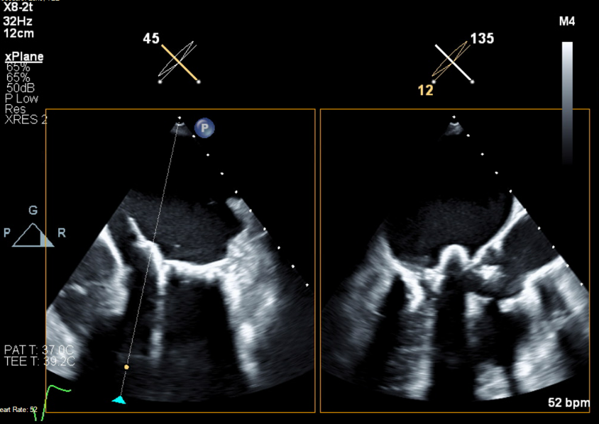
a snapshot from our recent #BASILICA case of a native aortic valve @UHZ_UNIFreiburg @dirkwestermann @HilgendorfIngo @PCRonline #TAVI #echofirst
English
Dirk Westermann retweetledi

Femoral or Radial Secondary Access in TAVR: A Subanalysis From the Multicenter PULSE Registry: @JACCJournals
🥸So we tried to use #radialfirst in TAVR like the old days, but we were shot by anesthesia!
😱Summary
👇👇👇

English
Dirk Westermann retweetledi

Out now - our latest Editorial
"Machine learning paving the way for successful antegrade crossing of total chronic coronary occlusions"
cdt.amegroups.org/article/view/1…
@gkorosoglou @dirkwestermann @Herzmedizin_de
@AGIKinterv
@esbrilakis
English
Dirk Westermann retweetledi

Merry Xmas! The team of Urology, @uni-freiburg.de, would like to thank all our co-workers and cooperation partners for the support in 2024. And to all patients: please go see a Urologist if needed! We are here for you…
English
Dirk Westermann retweetledi

"#HscTnI is a known marker of CV risk, but what about changes 🔃 over time? New study by @PaulMHaller and @marstonMD using >20k pts from FOURIER trial explores how serial increases & decreases in hs-cTnI reflect shifts⤴️/⤵️ in risk of major CV event risk. #CardioTwitter #AHA24"

English
Dirk Westermann retweetledi

Microaxial Flow Pump Hemodynamic and Metabolic Effects in Infarct-Related Cardiogenic Shock: A Substudy of the DanGer Shock Randomized Clinical Trial | Critical Care Medicine | JAMA Cardiology | JAMA Network - lmpella patients need less inotropes… jamanetwork.com/journals/jamac…
English
Dirk Westermann retweetledi

Ouch, QFR. In the FAVOR III Europe trial, it loses out against FFR for PCI guidance. For those who enjoy statistical tortures, QFR didn’t just fail to show noninferiority; it was actually inferior. More stents, more myocardial infarctions. Who will give me back the hours I spent obtaining the certification? #TCT2024 thelancet.com/journals/lance…

English
Dirk Westermann retweetledi

How should we apply #DanGer #Shock results in U.S.? #DrDavidMorrow shares insights #Patient selection 🔑 @CCCTNetwork @TIMIStudyGroup @JasonKatzMD @seanvandiepen @ddbergMD @EBohula @ankeetbhatt @TCTConference #TCT24




English
Dirk Westermann retweetledi

Always the biggest most exciting meeting of the year #TCT2024 Check out an amazing session on CS & MCS led by @alaide_chief & @dirkwestermann at 10:30, including 3 analyses from Danger Shock @LHolmvang @djc795 & the first look into the future of small bore MCS @DrAmirKaki


English
Dirk Westermann retweetledi

5/5 Chronic Activation of Tubulin Tyrosination in HCM Mice and in Human iPSC-Engineered Heart Tissues Improves Heart Function by Pietsch et al bit.ly/3Y9URcV
@Prosser_Lab @mcaporizzo @CyxChristina @dirkwestermann @LucasBacmeister
English
Dirk Westermann retweetledi

Wie Samstagnachmittag in Länderspielpause verbringen?
Manuskript zu unserer Studie zum Vergleich der Verletzungscharakteristika zwischen 1. & 2. Bundesliga schreiben⚽️
@UHZ_UNIFreiburg @DFL_Official @Hannah_Billig_ @CMoffiziell @Marv2punkt0 @jongichun @basti_red @dirkwestermann

Nordend-Ost, Frankfurt am Main 🇩🇪 Deutsch
Dirk Westermann retweetledi

Volles Haus beim #UHZWissenschaftstag auf Initiative von @HilgendorfIngo @dirkwestermann
Viele junge engagierte Talente stellen spannende Projekte ihrer AGs am UHZ vor.
💪 Tolle Werbung für eine klinische und wissenschaftliche Laufbahn am @UHZ_UNIFreiburg
@YoungDgk
@DGK_org


Deutsch
Dirk Westermann retweetledi
Dirk Westermann retweetledi

A long journey. Thank you to all collaborators, co-inventors, co-authors, co-pioneers!
Here are the complete 5-year data for the NHLBI LAMPOON trial.
JACC Journals@JACCJournals
LAMPOON enabled #TMVR despite the risk for #LVOT obstruction. There were no long-term complications assoc w/ LAMPOON. The selection of inoperable pts limited assessment of long-term survival following TMVR bit.ly/4h6fH4H #JACCINT @TheBethesdaLabs @CathElectroSurg @AdamGreenbaumMD @BabaliarosArgos @jamiemccabeMD
English

@g_giustinoMD @AtlanticHealth Great case and really cool videos. But what are the advantages over LAMPOON?
English

Great valve-in-MAC case performed at Gagnon Cardiovascular Institute @AtlanticHealth using a novel technique for mitral valve leaflet modification (transeptal BATMAN), alternative to LAMPOON.
Severe mitral regurgitation with severe mitral annular calcifications (MAC) adequate for anchoring with S3 valve. CT showing prohibitive risk of LVOT obstruction despite septal ablation (predicted neo-LVOT <100) therefore the patients would have required leaflet laceration.
Anterior mitral valve leaflet was traversed with an Astato wire - Finecross microcatheter and JR catheter into a steerable Versacross. Subsequently the leaflet was ballooned with a coronary balloon and then the Astato wire switched to 0.035 wire via quickcross. Then, leaflet laceration was performed with a 14 mm Armada balloon and an S3 26 mm was implanted.
Final echo showing no gradient across the LVOT and trivial PVL. Invasive hemodynamics also demonstrated no gradient.
Procedure performed under 2 hours. Patient remained stable during the procedure with no need for mechanical cardiocirculatory support.
Thank you to the amazing Structural team at Morristown Medical Center!!!! and to @HenryFordHealth @PedroMDMSc for his help!
@philgenereuxMD
@KippermanRobert
@LindaGillamMD
@KKoulogiannis
@leomarcoff
@Edwards_TAVR



English
Dirk Westermann retweetledi
Dirk Westermann retweetledi

In 32,000 AF pts from COMBINE-AF, cardiac #biomarkers sign.⤴️ #heartfailure risk prediction! hs-cTnT as important as NTproBNP pointing to a promising dual-marker strategy. Results simultaneously published in @JACCJournals @PaulMHaller @rgiugliano #ESCCongress

English
Dirk Westermann retweetledi

#ESCCongress just out now: IPD metaanalysis of all RCTs MCS vs control. Published now @TheLancet @CHassager @PCSchulzeMD @AnneFreund3 @JaninePoss @AGIKinterv @DGK_org @Herzmedizin_de @dzhk_germany




English
Dirk Westermann retweetledi

Congratulations to @thiele_holger on the recently published independent patient data meta-analysis evaluating whether VA ECMO benefit DanGer-like patients.
academic.oup.com/ehjacc/advance…



English


