




Virgenal L. Owens Jr., MD MSE
350 posts

@doctorgiraffe_
Mayo Clinic Spine Surgery Fellow | Carolinas Medical Center Ortho Grad | NthDim | Married to MD | Poet | Passion for DEI efforts | Views=My own #KeepReaching














Time for interview season! Join us for an open house to learn about what residency is all about here in Charlotte! @AtriumHealth @AtriumMSKI forms.office.com/r/uGRTEQzfEN

Led by Dr. Ha Van Vo, the Mercerians fit local residents with 928 prosthetic legs and hands and helped nearly 2,600 orthopedic patients. #MercerInspire (2/2)









Final Reminder: Apply now for the E. Anthony Rankin Scholarship Program. Designed for underrepresented medical students, this scholarship offers invaluable exposure to orthopaedic surgery in the military setting, including its diverse subspecialties: bit.ly/3Is6tPO.






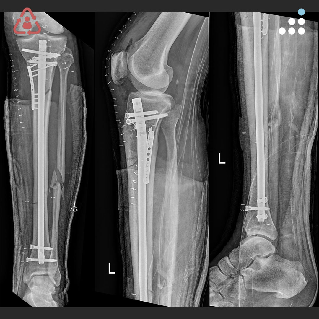
Here is a new case by Dr. Simon Donald and Queensland Health Bundaberg Hospital (@qldhealth). PROXIMAL SEGMENTAL TIBIAL FX S/P MALREDUCED IMN IN 58M How would you manage this #orthotwitter? Vote on this case for CME: orthobullets.tiny.us/4z6wm3rx