
Joseph A. Daibes, DO
292 posts

Joseph A. Daibes, DO
@drdaibes
Interventional Cardiologist. Physician Founder- New Jersey Heart and Vein. Faculty at @lenoxhill. Trained at @lenoxhill and @mountsinaiheart






A warm welcome to our newest Vascular Surgery faculty member, joining us this week! @BAulivolaMD @msoultmd @cfbechara @VivianGahtanMD @CrisostomoDad @RDebbieLi @vamsi_potluri @ScottPainterMD @K_ChawlaMD @paulapintoro








New in @AmJCardio comparing LV unloading with #Impella vs #IABP in pt's on VA-ECMO 📌In patients w/ #CardiogenicShock, IABP + VA_ECMO 🟰 Impella+VA_ECMO for LV unloading in ☠️ 📌 #Impella use ⏫ Major bleeding/hemolysis🩸 📌 No differences in secondary outcomes 🧠🫘🦵







Doctors at a major US insurance company deny tens of thousands of claims a month without even looking at patients’ files. “We literally click & submit,” a former Cigna doctor told @ProPublica & @Capitol_Forum. “It takes all of 10 seconds to do 50 at a time.” The inside story 🧵

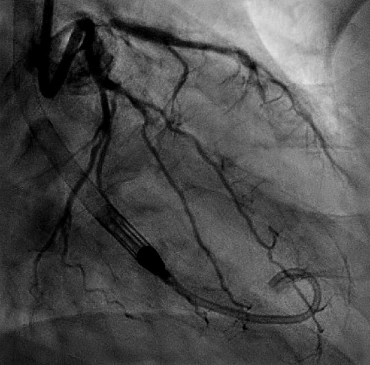
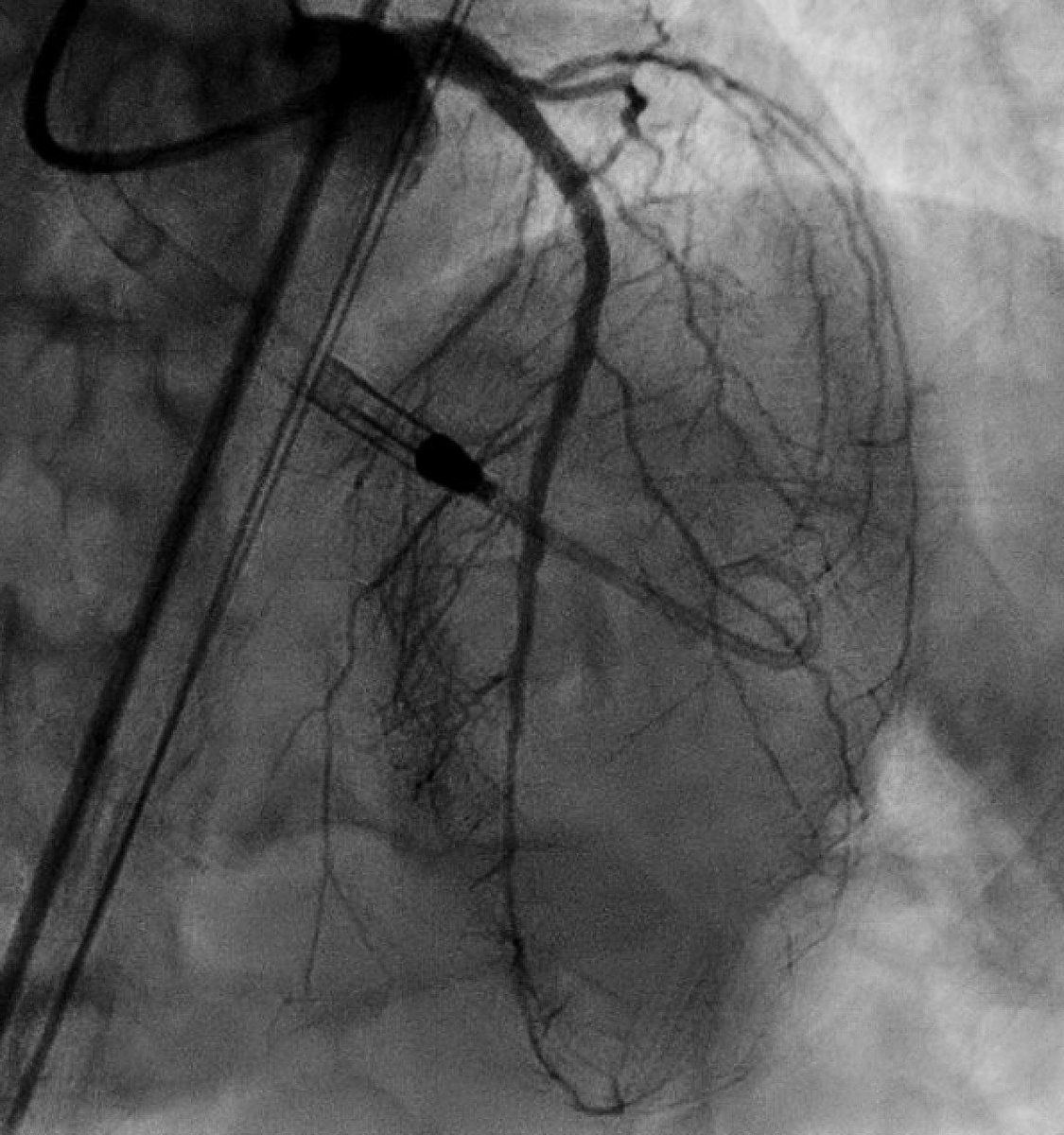
42 year old man, with a PMHx of HTN and HLD, who experienced chest pain but only came to the hospital at his wife’s behest. Time and again, we are reminded why married men have better cardiovascular outcomes: ahajournals.org/doi/full/10.11… #Cardiotwitter #InterventionalCardiology




Alright who else fell for it? 🤔











