Sabitlenmiş Tweet

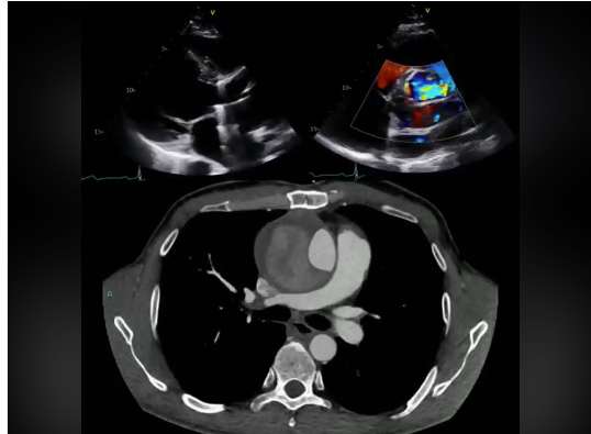
Cardiopathie hypertensive ou cardiomyopathie hypertrophique ? youtu.be/S_0nOAakMuU?si… via @YouTube

YouTube
Français
Echocardiography
5.1K posts

@echocardiac
#echocardiography #Cardiovascular #echofirst #HeartDisease #HeartFailure #cvImaging #cardiology #CVD #cardiotwitter #cardiology #EACVI2023






















