
@stardazed0 @nc_znc I didn't really understand why they normalized by devices used... one big difference in technologies is how easy it is the parallelize across scopes.
English
fcollman
292 posts

@fcollman
Neuroscientist @AllenInstitute studying synaptic and artificial networks




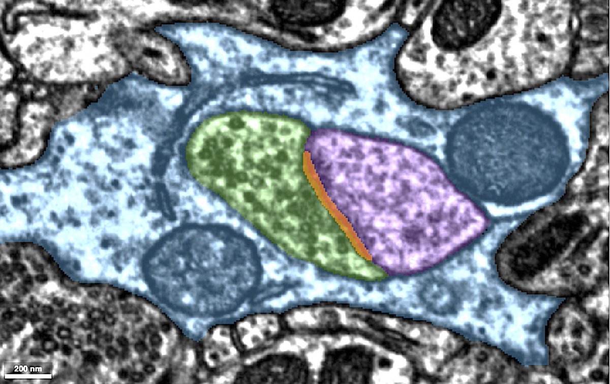
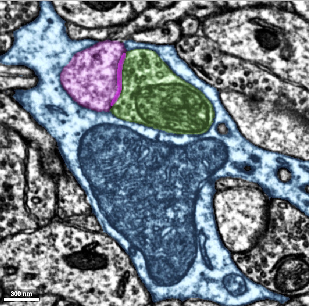
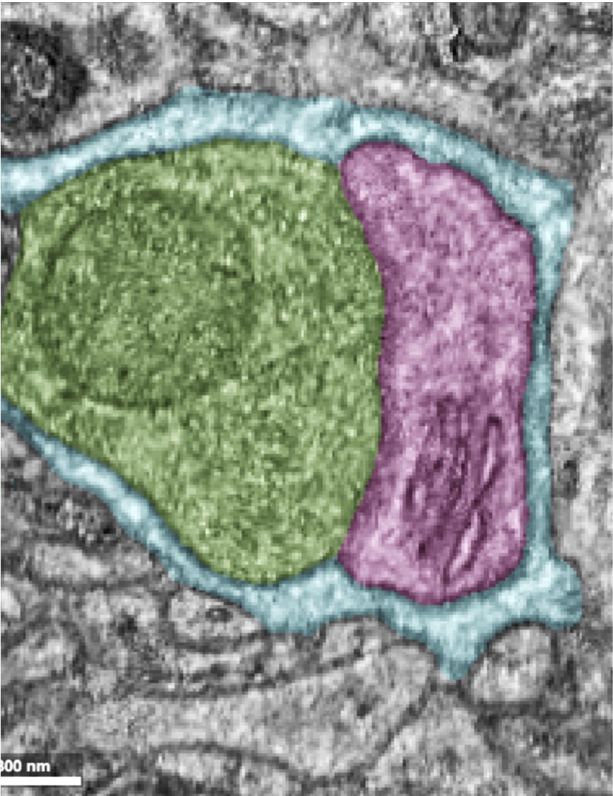
Our scientists and collaborators will enhance transmission #electronmicroscopy techniques with goal of imaging an entire hemisphere of mouse brain at 120nm resolution. @Princeton @argonne @calstateeastbay @mtholyoke @appstate @CollmanForrest @nih | #studyBRAIN
























