
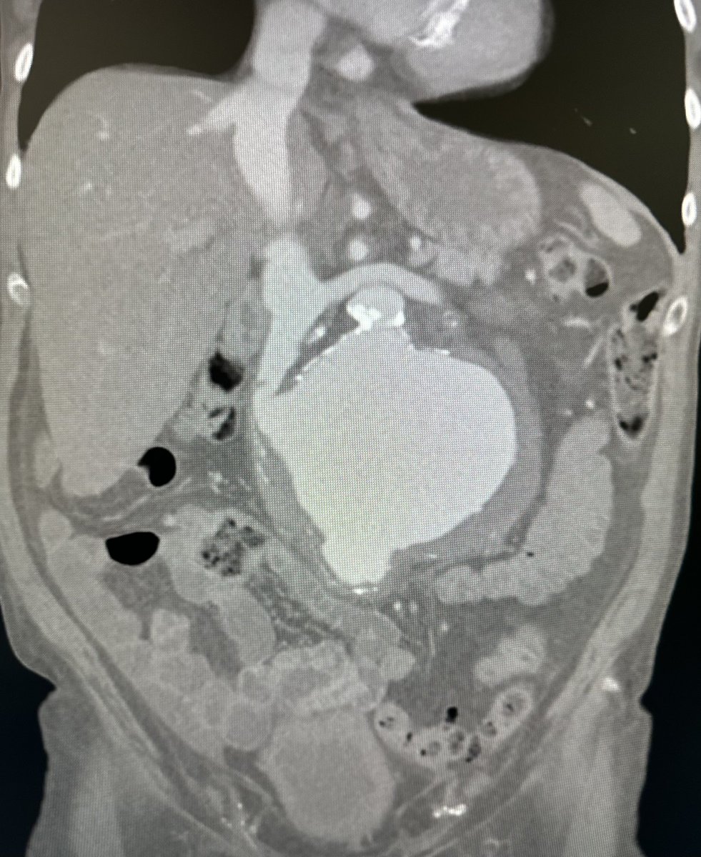
6 pack aorta?! Omentum gone from prior colonic resection after ischemic colitis…referred for an infected ABFB. Bilateral rectus abdominis flaps used to assist in coverage of rifampin soaked graft. @uazphxsurgery

English
Jeromy Brink, MD
118 posts

@jsbrinkmd
Vascular Surgeon. Girl Dad. Chief of Vascular and Endovascular Surgery, Banner—University of Arizona Medical Center, Phoenix


























