Kate Krause
13 posts

Kate Krause retweetledi

Tremendous new resource by Dr. Bob Schmidt @wusm_pathology, a detailed online atlas of neuropathology! Check it out here
neuropathologyatlas.wustl.edu
It's a true labor of love by a legendary neuropathologist! #pathology #neuropath #pathtwitter
English

Great presentation by @SantagataLab- I can see how this multiplex imaging really is a “revolution.” Thankful to have him as part of @BWHNeuropath!

English

The Joint Pathology Center, the federal government's only official pathology consultation service. “People First, Integrity Always, Innovation in All We Do.” 🇺🇸
#ArmedForcesInstituteofPathology #JPC #Pathology #Innovation

English

A 30 year-old female presents with a painful breast mass. This is the appearance of the biopsy. Gram stain highlights gram positive bacilli within neutrophil ringed lipid vacuoles. What is the diagnosis? #PathTwitter



English

So fun to hear the clinical side from our Neurology colleagues @harvardneuromds. Big thanks to @C_mQuinn!
BWH Neuropathology@BWHNeuropath
Engaging discussion for today's case presentation by our fellow Dr. Kate Krause @pathonthewing, of PML in the setting of new lymphoma diagnosis. #neurotwitter #neuropath #pathology
English

Kate Krause retweetledi

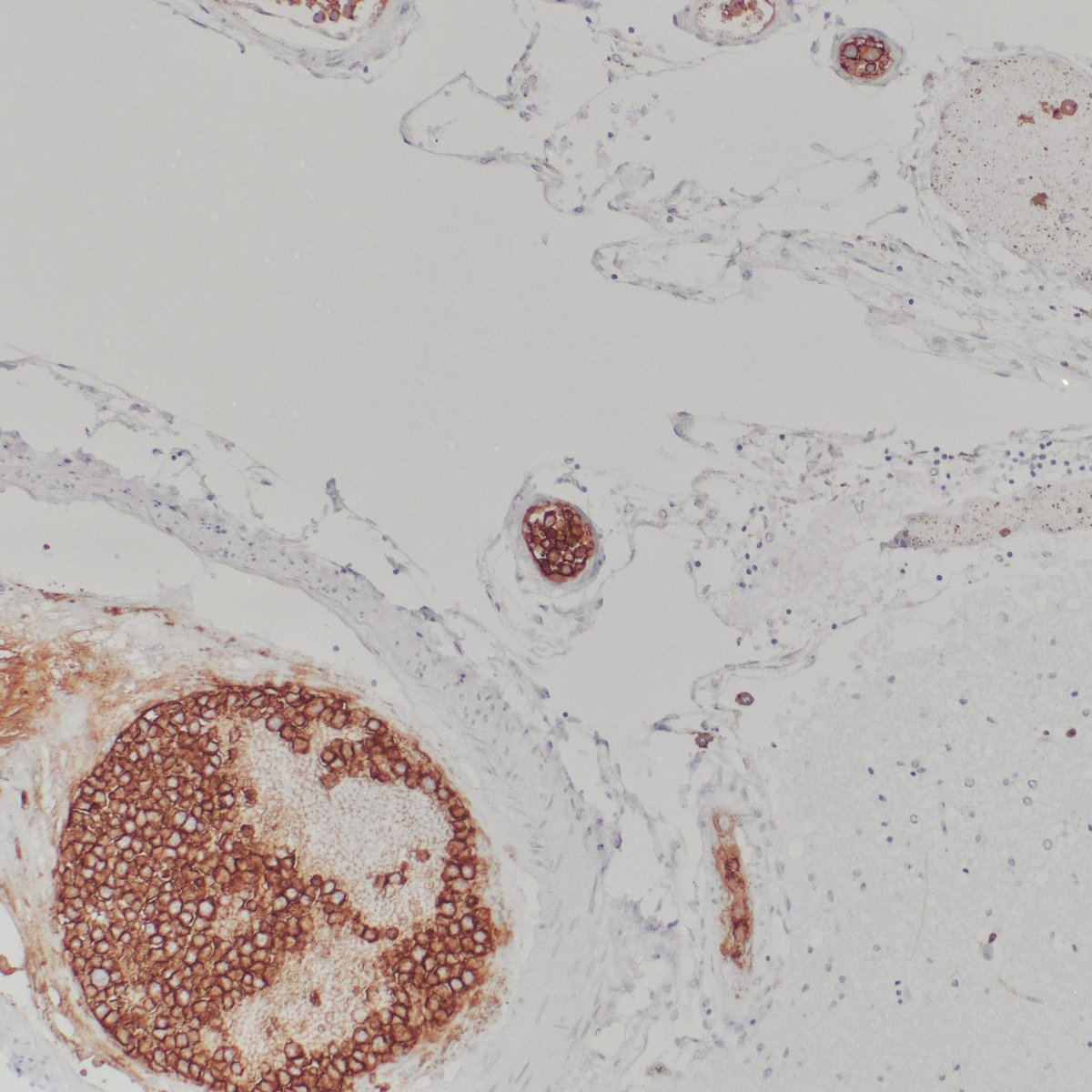
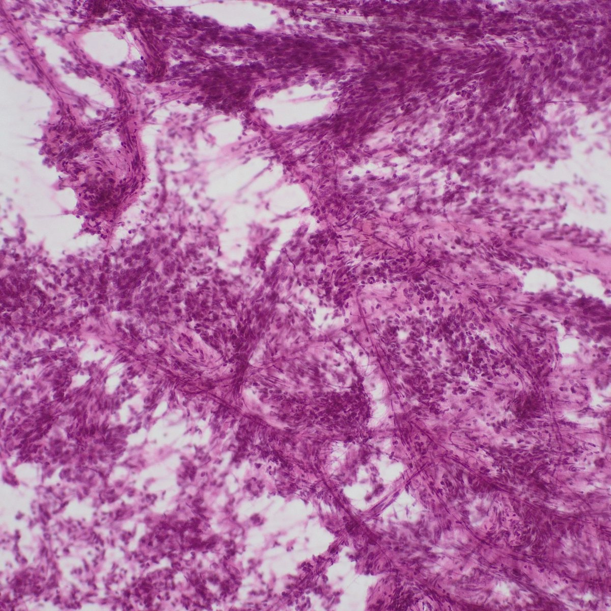
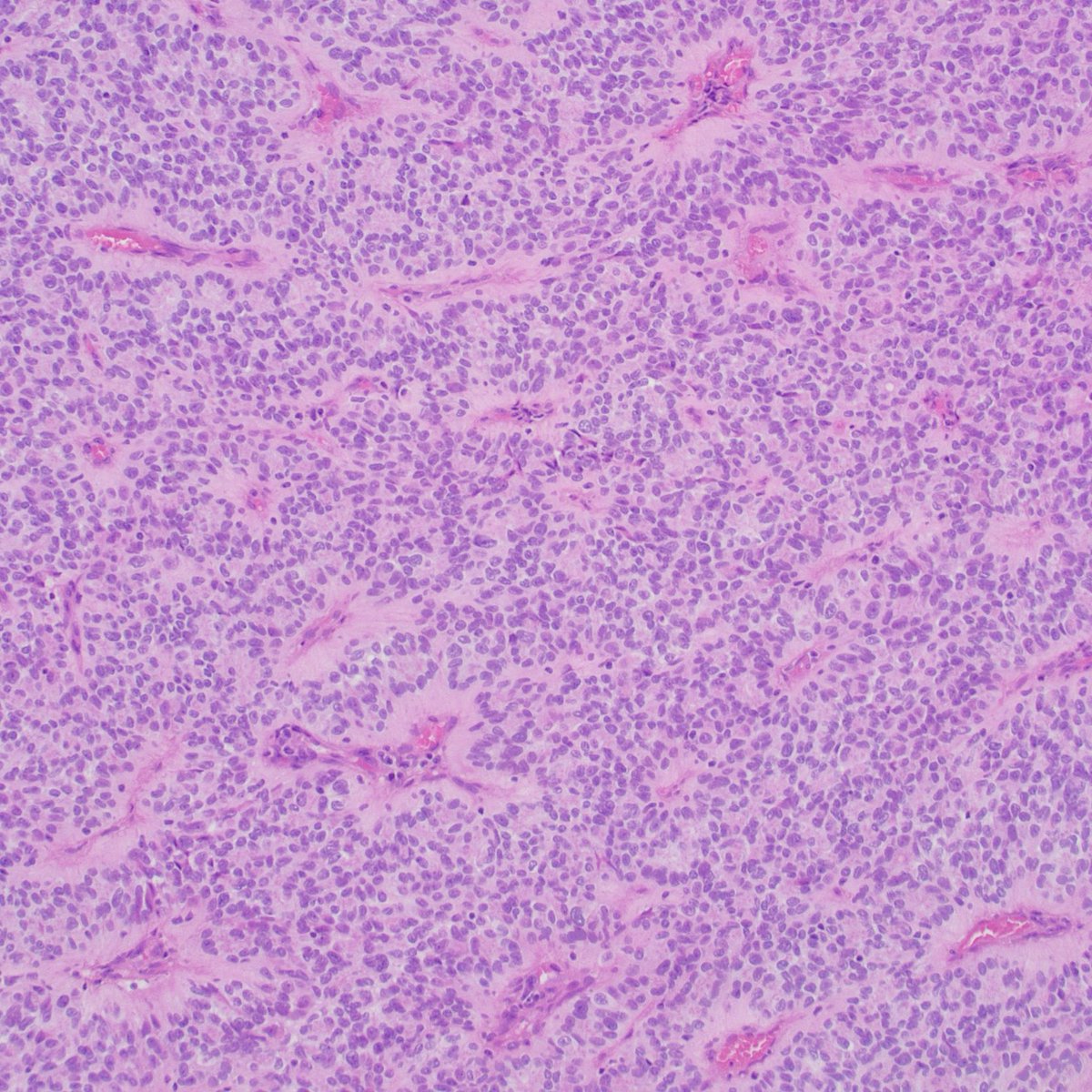
#Neuropath case 4 - smear prep from a mass located along the CP angle. Diagnosis? What clues are present in the image? 🧠🔬

English


Intravascular large B-cell lymphoma as a post-transplant lymphoproliferative disorder. Great clinical presentation by @Marinos_S! @BWHNeuropath @BWHNeurology




English
Kate Krause retweetledi

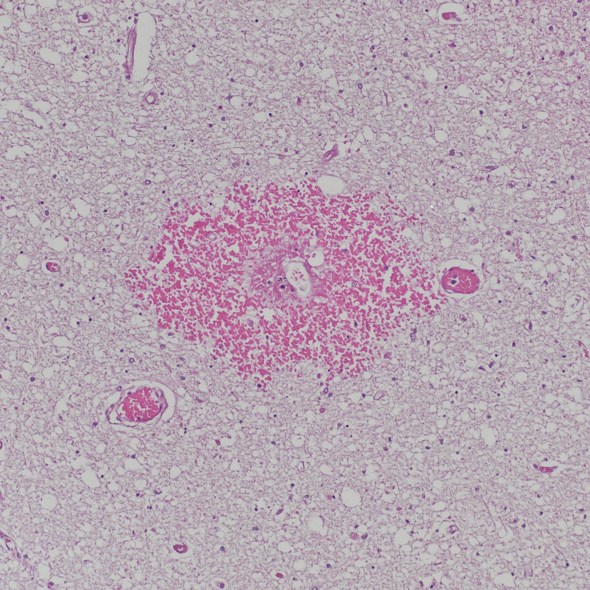
Florid hypertensive vasculopathy in these cerebral arteries and arterioles. Remember, aerobic exercise isn't just for your heart, it's also for your brain! #pathology #neuropath #PathTwitter

English
Kate Krause retweetledi

Wonderful to be selected for the Best of Cell 2023 - "Multiplexed 3D atlas of state transitions and immune interactions in colorectal cancer" - NCI Human Tumor Atlas Network #HTAN. @CellCellPress.
Congratulations!!! to @JiaRenLin, Shu Wang, Shannon Coy, Yu-An Chen, Clarence Yapp, @madison_a_tyler, Maulik Nariya, @cody_heiser, @KenLauLab, and @sorger_peter, and all of the wonderful members of the HMS Laboratory of Systems Pharmacology (LSP) including Alyce Chen, Raquel Arias-Camison, Zoltan Maliga, Jeremy Muhlich, Juliann Tefft and more for all of their tireless efforts to make this innovative work possible. Very proud to be part of this team!!! @HiTSatHarvard, @BWHPathology, @MassGenBrigham, tissue-atlas.org
Grateful for the strong support from @NCIHTAN, @Ludwig_Cancer, the Gray Foundation, the David Liposarcoma Research Initiative, @NCIsysbio, and more.
Great way to close 2023! 🥂🎉🥳🍾🪩 More exciting work ahead in the New Year.

English







