Swetha Gaddam retweetledi

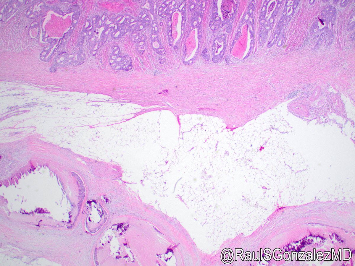
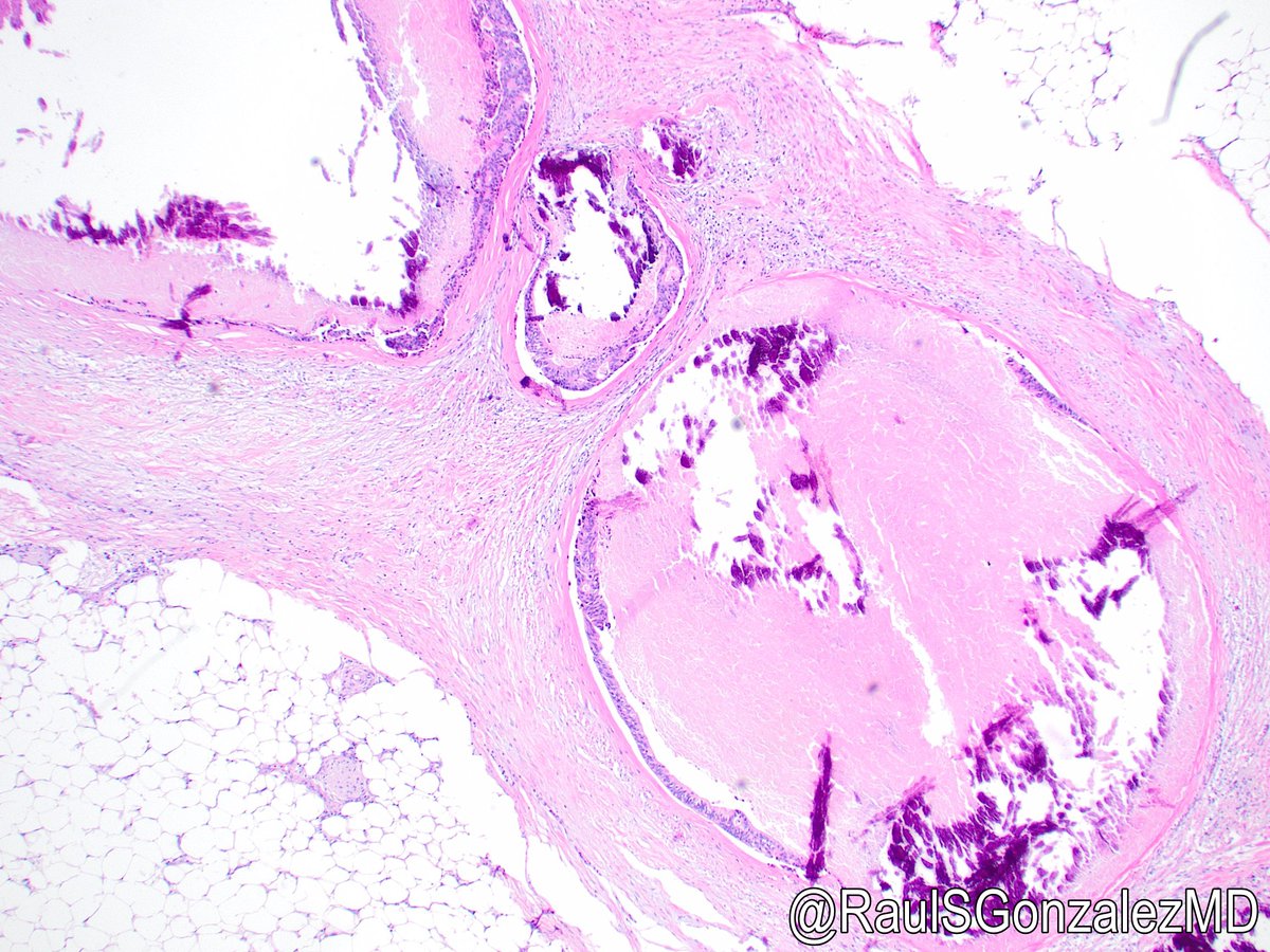
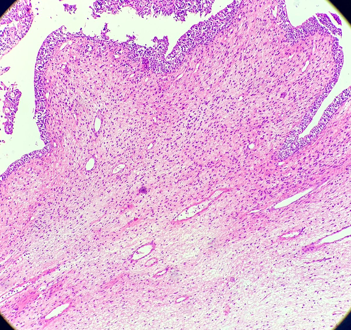
Low grade appendiceal mucinous neoplasm (LAMN)
-Circumferential proliferation of mucinous epithelial cells.
-Without infiltrative invasion
Dr. Umetsu #CAP23 #everydayGI #GIpath #PathX #PathTwitter #pathology #pathologists

English

































