
Contact
173 posts

Contact
@startrekmedtech
Medical technology enthusiasts offering advice on design, IP, and market. Rates start at $10. Discounts available. DM or email to start the conversation.


















I’ve been thinking a lot about a space that’s underserved in digital health: caregiver support. My thoughts below 🧵



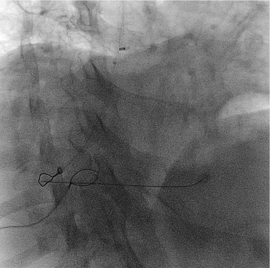
Elective Angiography for CP. Prior CABG, 60yo male. 60mmHg gradient Between arms, also symptoms of lightheadness and ULL pain. @thomascassmann @evandrofilhobr @mmamas1973 @aspergian1 @HadyLichaaMD @MasriAhmadMD @AntoniousAttall @AndreDallanora

.

Our first case of @ShockwaveIVL 🎈at @CardiacIbrahim performed today by my mentor @drsaidurrahman2 - grateful for the opportunity to scrub in post-night call for the experience @ShrillaB @jmahmed @mirvatalasnag @DrSaritaRao2 @AMahilmaran @mmamas1973 @Dr_AshokSeth @drpkhazra




Hemodialysis. I think initially the complexity of the machine dictated the access requirements. But maybe now we can rethink the machine to optimize for access site longevity? 🤔




