

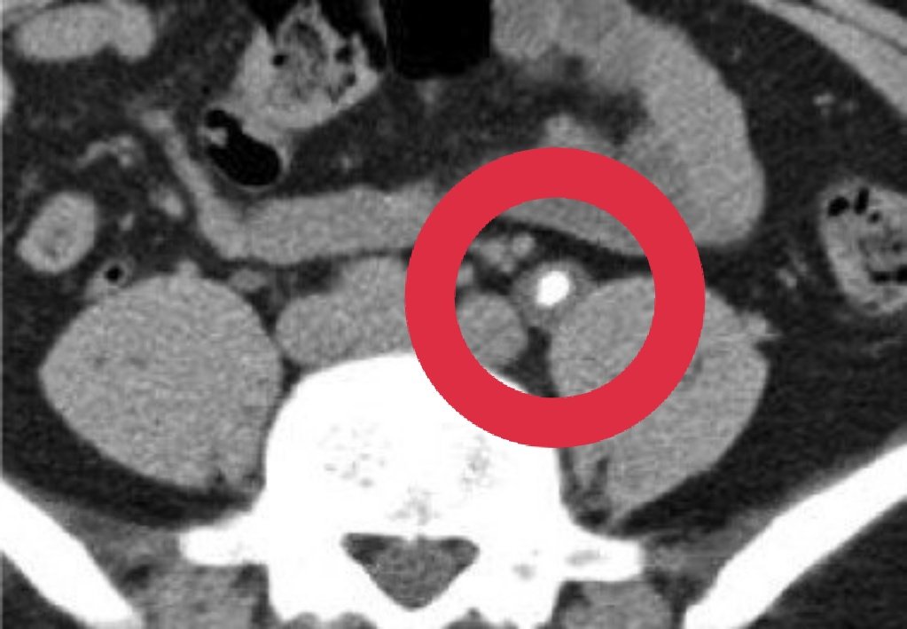
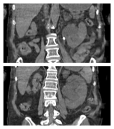
Introducing STONE PASS A community education effort to improve ureteral stone discussions between patient & provider A tool to communicate probability based on outcomes of similar patients (size, location, & #PROMIS pain) It's all about decision making stonepassapp.com


























