Lin Li

194 posts

Lin Li banner
Lin Li

Lin Li

@DrLinLi

GI/Liver pathology fellow @ UMH/JHS. Opinions are my own.

Miami, FL Katılım Mayıs 2013
191 Takip Edilen125 Takipçiler
Lin Li retweetledi
UMiami Pathology
UMiami Pathology@UMiamiPathology·
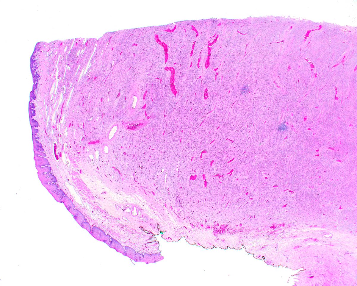
A lovely example of colonic granular cell tumor. These are more common in the right colon than elsewhere in the colon.
UMiami Pathology tweet mediaUMiami Pathology tweet media
English
0
31
76
2.7K
Lin Li retweetledi
Elizabeth Montgomery, MD
Elizabeth Montgomery, MD@LizMontgomeryMD·
Our GI Pathology Fellowship has an unexpected opening for July 2026. Dr. Ortiz (right) and I are the program directors. We have superb cases and excellent colleagues (Drs. M. Garcia, R. Yantiss, S. Al Diffalha, O. McDonald). Send your CV to adriana.zanaty@miami.edu
Elizabeth Montgomery, MD tweet media
English
1
25
90
6.8K
Lin Li retweetledi
UMiami Pathology
UMiami Pathology@UMiamiPathology·
Abrupt transitions between non-dysplastic and dysplastic epithelial cells are a diagnostic clue for distinguishing dysplasia from reactive epithelium. This image is from the gallbladder.
UMiami Pathology tweet media
English
1
28
88
3.5K
Lin Li retweetledi
Elizabeth Montgomery, MD
Elizabeth Montgomery, MD@LizMontgomeryMD·
Pyloric gland adenoma in uninflamed gastric body. There is an association with autoimmune gastritis (pyloric metaplasia progressing to pyloric adenoma) but this patient does not have it. Note the appearance of the surface of the adenoma versus the adjoining foveolar epithelium.
Elizabeth Montgomery, MD tweet mediaElizabeth Montgomery, MD tweet mediaElizabeth Montgomery, MD tweet mediaElizabeth Montgomery, MD tweet media
English
1
58
164
6.4K
Lin Li retweetledi
Modern Pathology
Modern Pathology@ModernPathology·
Needle biopsy of a gastric glomus tumor; in this location, a neuroendocrine (carcinoid) tumor would be considered. These lesions sport various molecular alterations, but immunohistochemistry can confirm the diagnosis. Iwamura R, et al. PDGFRB and NOTCH3 Mutations are Detectable in a Wider Range of Pericytic Tumors, Including Myopericytomas, Angioleiomyomas, Glomus Tumors, and Their Combined Tumors. Mod Pathol. 2023 Mar;36(3):100070. PMID: 36788105.
Modern Pathology tweet mediaModern Pathology tweet mediaModern Pathology tweet mediaModern Pathology tweet media
English
1
26
68
4.2K
Lin Li retweetledi
Elizabeth Montgomery, MD
Elizabeth Montgomery, MD@LizMontgomeryMD·
Nothing exotic - a little intestinal spirochetosis. Several colleagues have also posted it. It is easy to overlook. Some data suggest that it can be sexually transmitted. PMID: 37248154. #UMiamiPath
Elizabeth Montgomery, MD tweet mediaElizabeth Montgomery, MD tweet media
English
3
19
103
4.7K
Lin Li
Lin Li@DrLinLi·
TM/BB fellowship available for 2025-2026. Great opportunity to gain US experience.
Lin Li tweet media
English
1
3
8
668
Lin Li retweetledi
Arisleyda
Arisleyda@arisleyda_i·
Hi! Join us Virtually for the University of Miami/Jackson Health System Pathology Residency Open House on Tuesday, 10/01 at 5:30 PM EST. For additional information, feel free to email pathology.residency@miami.edu Follow this link to RSVP: miami.zoom.us/meeting/regist…
Arisleyda tweet media
English
0
6
16
4.1K