Hope Haefner
25 posts

Hope Haefner
@HopeHaefner
Hope Haefner, MD executive director Childhood Ovarian Cancer Association https://t.co/g8oJA1MiiX. Harold A. Furlong Professor of Women’s Health MICHIGAN Medicine
Ann Arbor, Michigan Katılım Ekim 2011
64 Takip Edilen153 Takipçiler

Congratulations to Dr Amy Tremper on 32 years in the #obgyn department @umichmedicine Thank you for your excellent care and invaluable education. Enjoy your retirement #goblue #deliveringvictors



English

Im elated I get to spend the next 5 yrs developing #trans-driven support for #transgender + #enby people getting #HRT, now that my @NIMHD #K23 has been funded! I was carried to this point by so many mentors, friends, & patients #TransgenderHealth #PeerSupport #LGBTQ
Erica Marsh MD MSCI@EricaMarshMD
So very proud of my faculty member @DStroumsa who just had their K award funded. They will be studying the use of peer specialists in reducing disparities in the mental health of transgender and non-binary individuals. I see you Dr Stroumsa…Change the world!! @umichmedicine
English

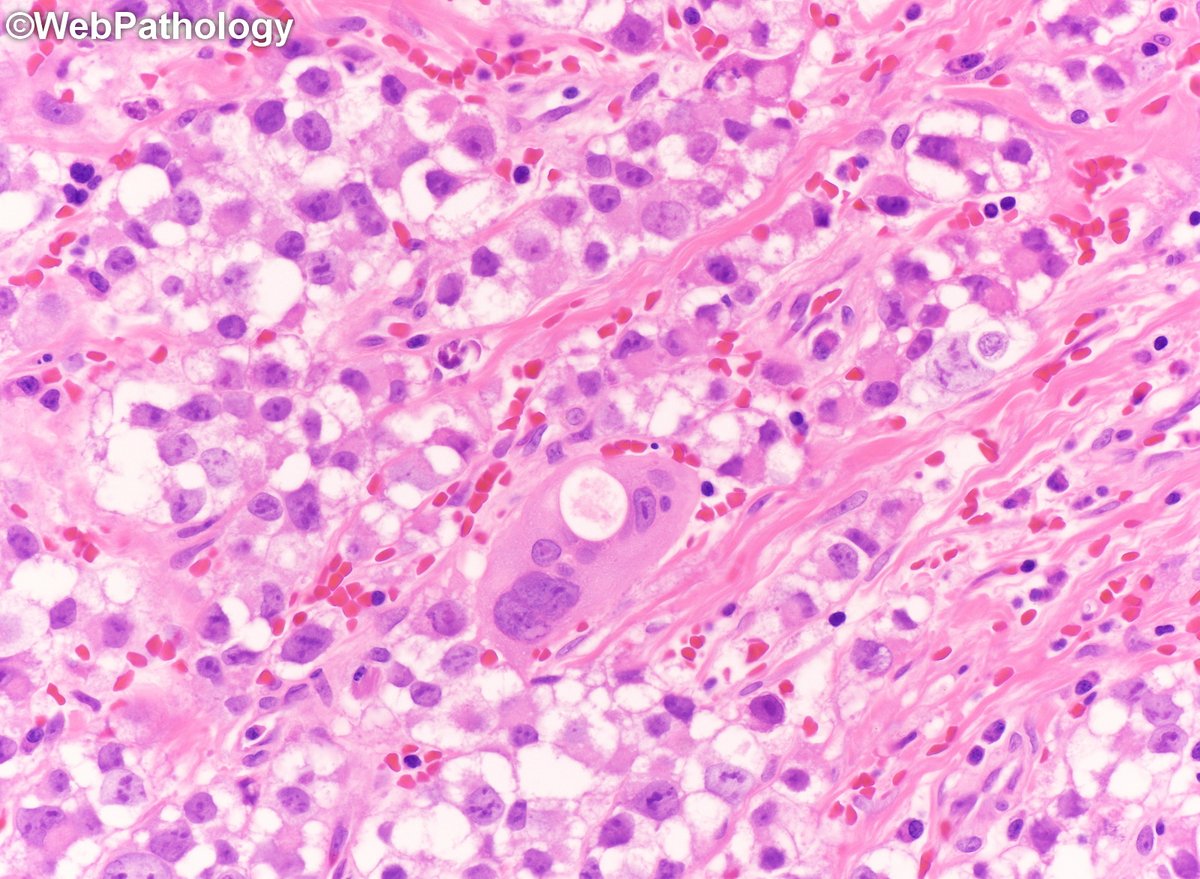
@bansar7 @WebPathology It is the Sertoli component causing estrogenization.
English

Common tumor with an uncommon presentation. Testicular tumor presenting with gynecomastia. What's going on here? Labs. and additional images to follow. #GUPath




English

I’m so grateful this thanksgiving- celebrating @CalebErnst0 admission to The University of Michigan Medical School!

English

@MediClit @dramypark A shave biopsy can be used for pedunculated lesions such as skin tags, small condylomata or melanocytic nevi. Punch biopsies are used frequently since we are seeing a lot of inflammatory dermatoses, pre-cancers ( HSIL), and cancers.
English

@dramypark @HopeHaefner Sorry if this is a bad question, but do they really need to do punch instead of shave?
English

Great pearls and techniques on How to perform a vulvar biopsy
Vulvar cancer pics in the setting of lichen sclerosus included
Thanks @HopeHaefner
mdedge.com/obgyn/article/…
English

Lots of information is at the following website. Type into Google Michigan medicine vulvar diseases resources for providers
Amy Park, MD@dramypark
@MA_Barker_MD @FPMRS @HopeHaefner LMK some of the pearls please!
English

#AUGSCLINICAL2020 @FPMRS great talk on vulvar diseases by @HopeHaefner Best management and treatment pearls I’ve learned at a meeting on vulvar itching, pain and managing complex vulvar conditions.
English

@cchildersmd Intern year I took 6 months off-herpes encephalitis. Had to learn to speak again.
English

Check out #MyGivingStory and vote to help me win $10,000 for my favorite nonprofit organization binkd.co/y18Wt
English

@WIsimulation Cool. What is it that are you using to mimic the abscess?
English

Today our Simulation Specialist Mark and Simulation Intern Mengizem piloted a new method for making incision and drainage models for an upcoming surgery simulation! #WiSimulation #simulationinnovation
English

Proud professional moment at the place I started this whole journey as a freshman in 1993. #goblue @UMichUrogyn @umichmedicine #forevergoblue. record.umich.edu/articles/regen…
Ann Arbor, MI 🇺🇸 English

Think about donating to the Childhood Gynecologic Cancer Association on #GIVINGTUESDAY. cgynca.org or PayPal.
English

@SherryPollex Wonderful support for ovarian cancer and children with cancer. I'm a 50 year survivor of ovarian cancer at age 9 Hope Haefner
English

@howiemandel @calybev Consider a spot on your show on ovarian cancer in kids, see cgynca.org 49 year ovarian cancer survivor!
English

@calybev Thanks for bringing your story to the world. Hope Haefner Chidlhood Gynecologic Cancer Association exec director 49 yr survivor
English

