Dr Mike Thomas

120 posts

Dr Mike Thomas banner
Dr Mike Thomas

Dr Mike Thomas

@MPThomas_Path

Family man, waterpolo enthusiast and consultant histopathologist with interest in oral & H&N, derm and cytopathogy

Churchdown, England Katılım Nisan 2020
117 Takip Edilen105 Takipçiler
Tim Bracey
Tim Bracey@drtimbracey·
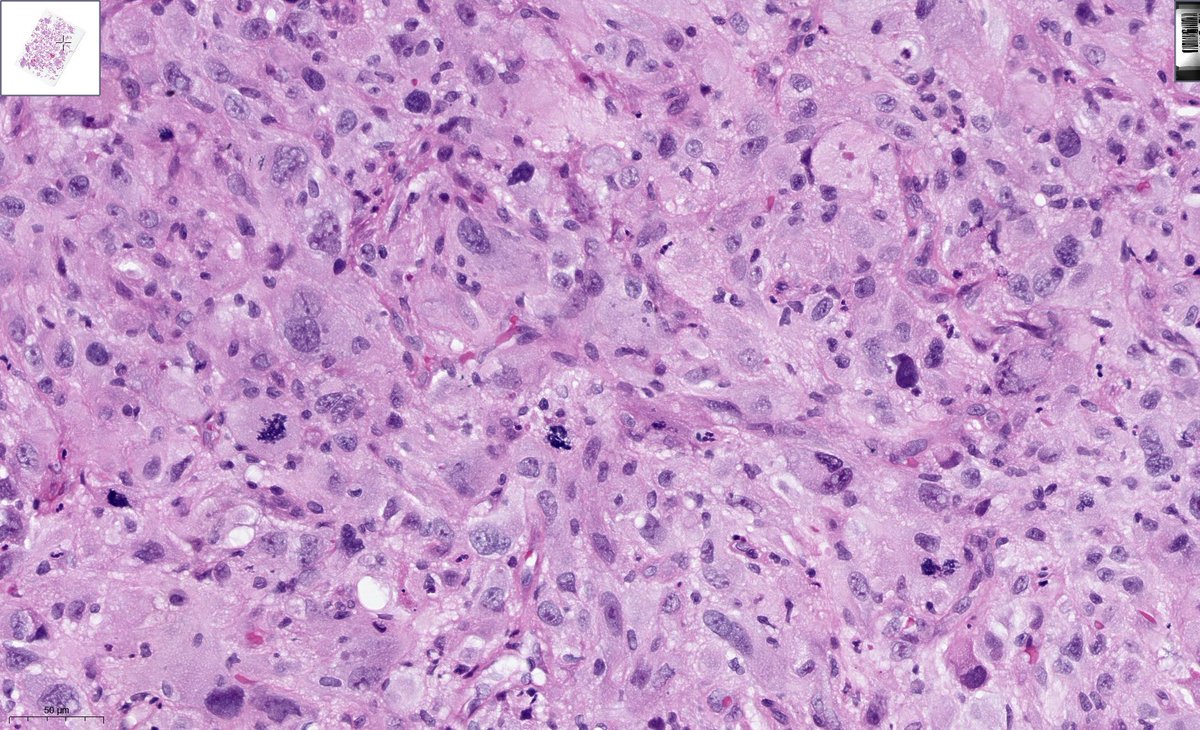
Laryngeal carcinosarcoma (sarcomatoid SCC). Sometimes you have to look v hard to find any evidence of epithelial differentiation. This was the only 1mm focus +ve for p40 and cytokeratins. Don’t believe it’s a sarcoma until you’ve done levels and every CK in your armoury #ENTPath
Tim Bracey tweet mediaTim Bracey tweet mediaTim Bracey tweet mediaTim Bracey tweet media
English
2
21
42
2.2K
Dr Mike Thomas retweetledi
Careers at Gloucestershire Hospitals
We're recruiting a Histopathology Consultant to join our team @gloshospitals This is an exciting opportunity for an established Consultant Cellular Pathologist. We're offering up to £15k welcome incentive to the successful candidate *T&C's apply APPLY ➡️ ow.ly/ocEQ50Vvwhi
Careers at Gloucestershire Hospitals tweet media
English
0
1
1
139
Dr Mike Thomas retweetledi
Tim Bracey
Tim Bracey@drtimbracey·
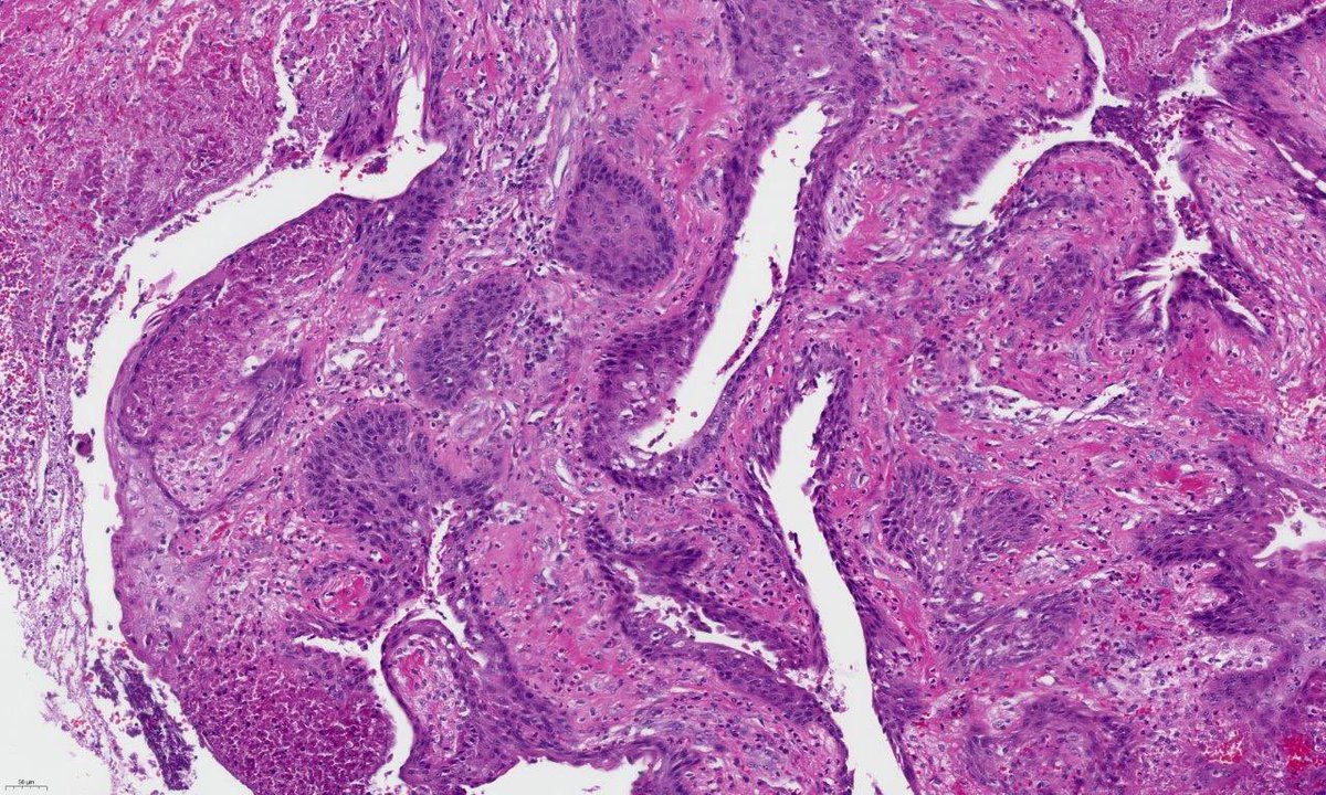
Pitfall alert ‼️ SOX10 positivity in basaloid-type SCC. Don’t confuse it for a salivary carcinoma in head & neck (this case was from oral tongue and p16-). Avoid using “basaloid” loosely its a specific subtype with dysplasia and characteristic cribriform collagen (PMID:3770734)
Tim Bracey tweet mediaTim Bracey tweet mediaTim Bracey tweet mediaTim Bracey tweet media
English
4
49
122
6.4K
Tim Bracey
Tim Bracey@drtimbracey·
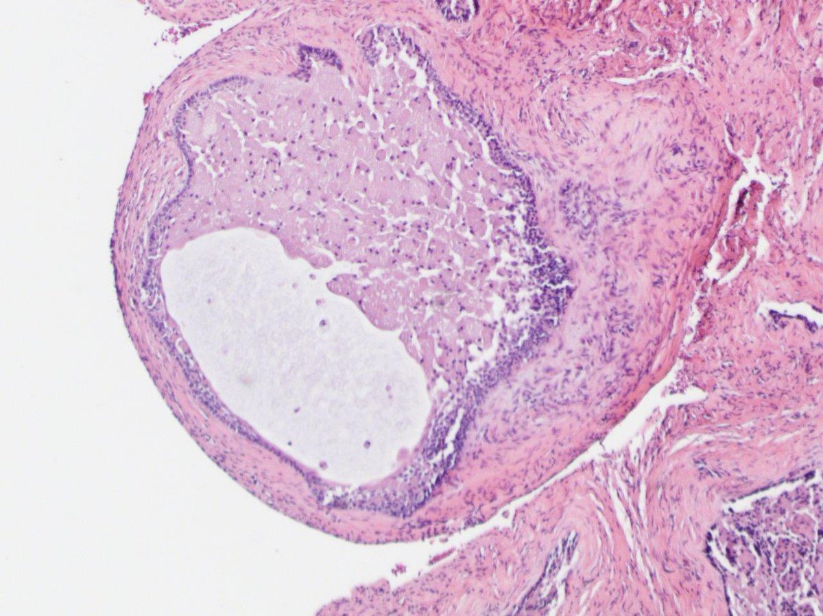
Multilocular lucency posterior mandible curettage. This is an example of the rare granular cell variant of ameloblastoma. The stellate reticulum is replaced by granular cells full of lysosomes (CD68+ S100-) #PathTwitter #OralPath
Tim Bracey tweet mediaTim Bracey tweet mediaTim Bracey tweet mediaTim Bracey tweet media
English
2
41
109
5K
Dr Mike Thomas retweetledi
Tim Bracey
Tim Bracey@drtimbracey·
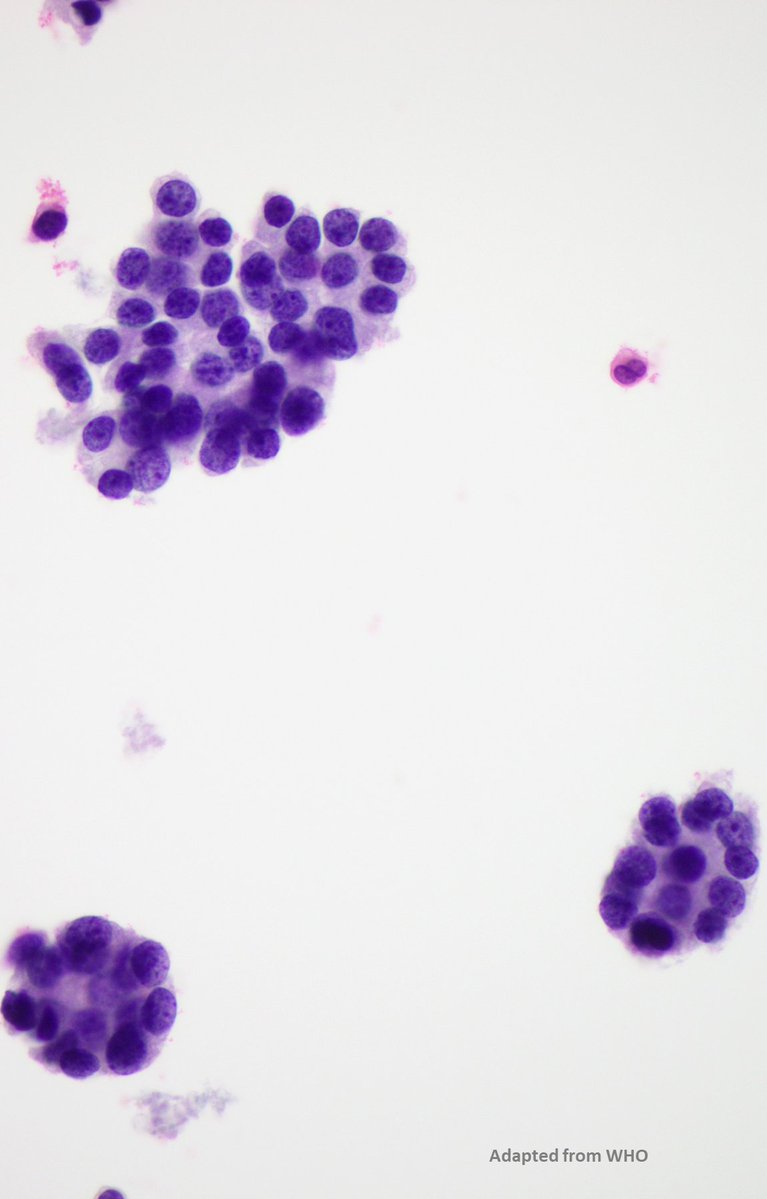
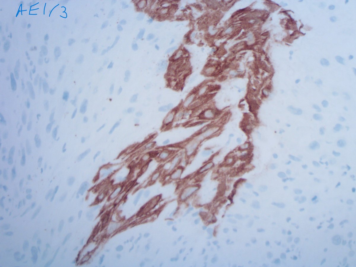
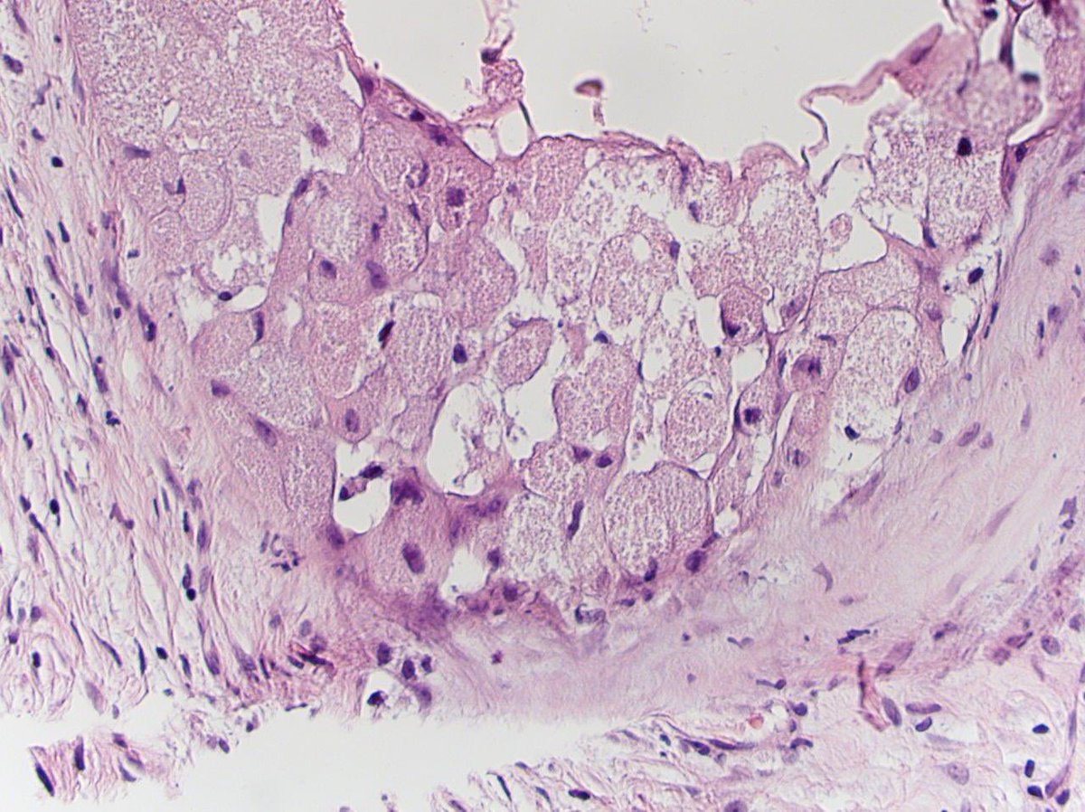
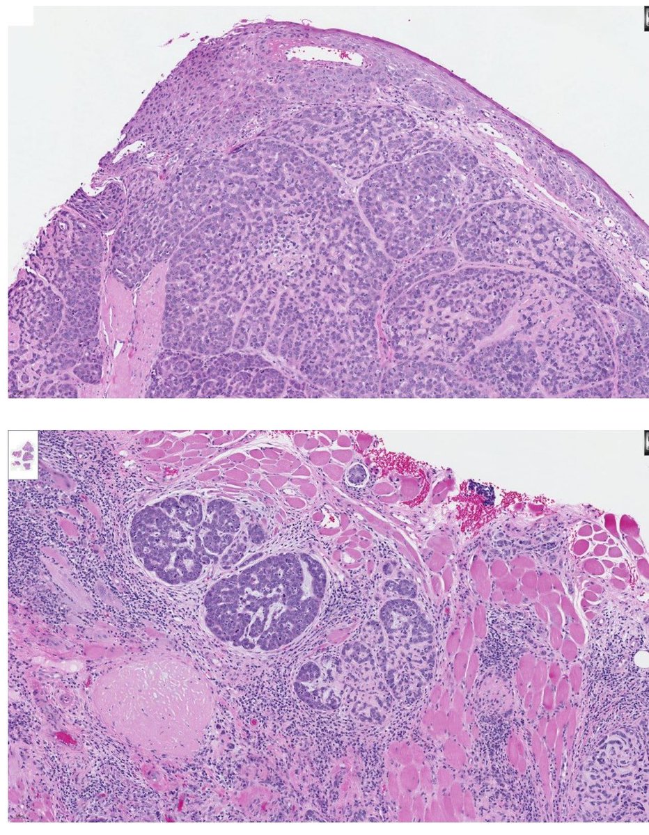
Warthin’s tumour can undergo infarction and extensive squamous metaplasia mimicking SCC. Here CAM5.2 reveals the prior dual layer no longer visible on H&E. Ki67 and p53 IHC were also reassuring and the lesion was well circumscribed @pathkids @ENTpathology #Pathtwitter
Tim Bracey tweet mediaTim Bracey tweet mediaTim Bracey tweet mediaTim Bracey tweet media
English
3
26
57
3.5K
Careers at Gloucestershire Hospitals
Careers at Gloucestershire Hospitals@gloshos_careers·
🔬We're recruiting a Histopathology Consultant to join our innovative team @gloshospitals We're offering a £15k Recruitment & Retention incentive to the successful candidate. If you're looking for a collaborative & flexible working environment APPLY NOW ➡️ bit.ly/3MXzllb
Careers at Gloucestershire Hospitals tweet media
English
1
1
1
572
Dr Mike Thomas retweetledi
Cheltenham and Gloucester Hospital Charity
“We are committed to going above and beyond to achieve the best for our patients, which is why we’re delighted to have the opportunity to support the charity by taking part in this challenge. The obstacle course was a lot of fun and we all had a great time!” 💪💙 (2/2)
Cheltenham and Gloucester Hospital Charity tweet mediaCheltenham and Gloucester Hospital Charity tweet mediaCheltenham and Gloucester Hospital Charity tweet media
English
0
1
3
68
Tim Bracey
Tim Bracey@drtimbracey·
3/3. Antrochoanal polyp of angiectatic type, a diagnosis requiring clinical insight. With polyp removed Joanna can now breathe easy, and relief from the end of this poem most cheesy. #Pathtwitter
Tim Bracey tweet media
English
2
3
10
759
Tim Bracey
Tim Bracey@drtimbracey·
1/3. There was a young lady called Joanna Who had a large polyp in her choana, with long stalk and firm head Not gelatinous more red, Congestion with fibrin from vascular trauma, stretched from antral sinus so wide, through narrow choana, it'd glide…
Tim Bracey tweet mediaTim Bracey tweet media
English
3
12
34
13.2K
Tim Bracey
Tim Bracey@drtimbracey·
1/2. A classical case of IgG4 sialadenitis, with storiform fibrosis, obliterative lymphocytic phlebitis in the 2nd(H&E) and 3rd (EVG) pics, and >40% of the IgG+ve plasma cells in the last pic. #Pathologists
Tim Bracey tweet mediaTim Bracey tweet mediaTim Bracey tweet mediaTim Bracey tweet media
English
4
20
47
4K