Amit Sahu
219 posts

Amit Sahu
@MumbaiIR
Dr.Amit Sahu is a Freelance Interventional Radiologist in Mumbai offering Endovascular treatments for Neuro & Peripheral Vascular Conditions
Mumbai, India Katılım Ağustos 2014
1.3K Takip Edilen881 Takipçiler

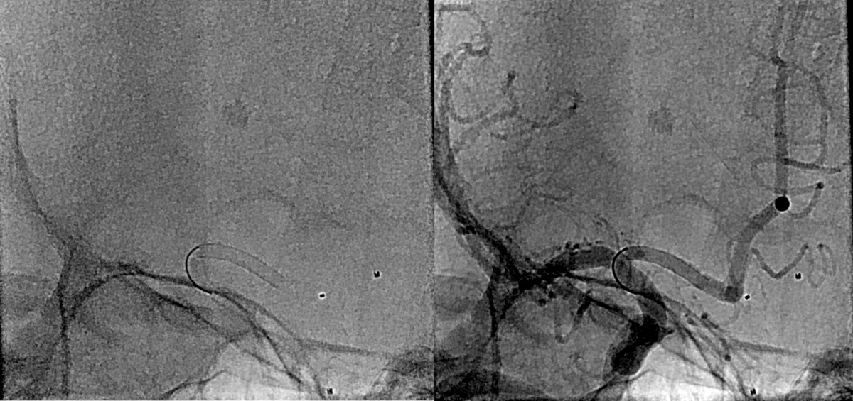
@Radhey2006 @ISVIRIndia @JVIRmedia @SIRspecialists @SIRRFS @cirsesociety @ApolloHosMumbai Used varying injections bet 25-66%. Yes managing migration was bit tricky but could manage with pressure control, controlled injection
English

@MumbaiIR @ISVIRIndia @JVIRmedia @SIRspecialists @SIRRFS @cirsesociety @ApolloHosMumbai Sir what percentage of glue used seems very high flow and how u prevent migration into vein ?
English

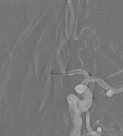
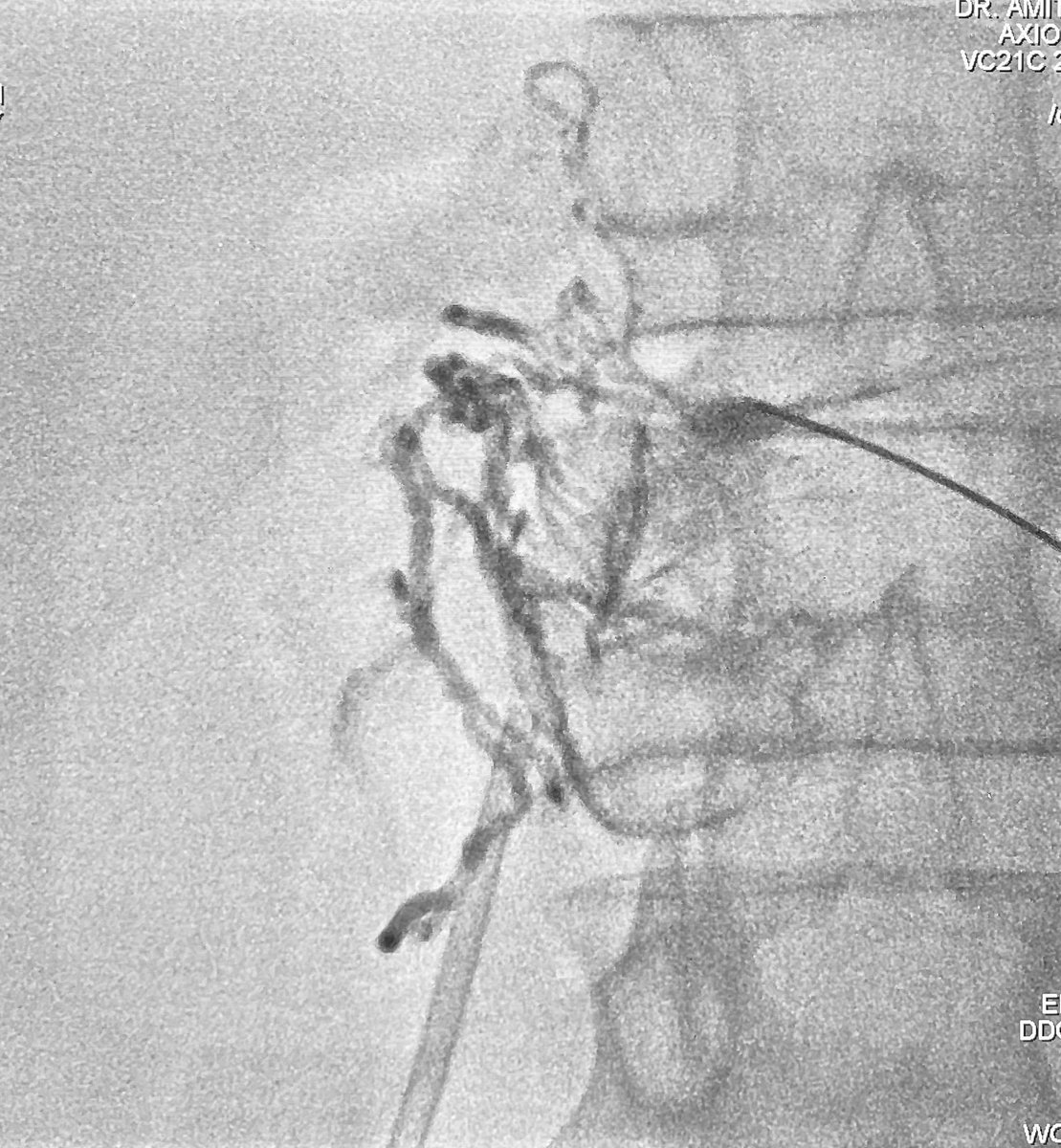
Case : AVM of leg with Pain & Limp.
Rx : AVM Embolization with Glue
#avm #embolization #irad #interventionalradiology #MedTwitter #Mumbai @ISVIRIndia @JVIRmedia @SIRspecialists @SIRRFS @cirsesociety @ApolloHosMumbai
English
Amit Sahu retweetledi

She is one of the most prolific Indian neuroradiologists, and who better to address this essential topic? We are pleased to have @DrArpitaSahu on board the ISNR faculty team. We only have just the best experts for our delegates !

English

Live @MountSinaiIR #TREATlive amazing transarterial embolization of a hand AVM with #nbca. Thank you @arslanmd for the support @SIRspecialists @SIRRFS @SIR_ECS
English

Imagine getting this upset over a make-believe medical show that was never any good
RadioloV@RadioloV
Enough is enough! @GreysABC, surgeons are NOT #IRad. I can’t wait for you to get canceled so you stop perpetrating & perpetuating the sabotage of #IR along your stupidly boring show. Surgeons doing a TIPS?? Create your own procedures & ❌ showing medically inaccurate pics 🤬
English
Amit Sahu retweetledi

Just in! 🧠 Decoding molecular subtypes of sporadic hypothalamic pilocytic astrocytoma on radiology. #Brafmutations #NeuroRadiology
journals.lww.com/neur/fulltext/…

Română
Amit Sahu retweetledi

"Broca’s area is not the speech output region" Duffau et al and also confirmed in our setting. Glad to share my insights on the same with neurosurgeons worldwide. #fMRI #Neuroradiology #Neurosurgery #Maximalsaferesectionsurgery


English

@SRajesh_IR @theliverdoc @SudheerPargewar @somubetageri @taraprasad @ISVIRIndia @ISVIRJUNIORWING @No_cut_surgery @ganeshd_VIR @uditchauhan__dr @keithppereira @PulkitRangarh On systemic chemo? liver decompensation
English

Spontaneous necrosis of HCC
76y/M, Solitary HCC, planned for TACE.
Presented with fatigue and abdominal discomfort 2 days prior to scheduled procedure.
Bilirubin ⬆️ from 1.2 to 11, ALP & GGT raised.
Imaging repeated to rule out any obstructive biliary pathology.
@theliverdoc

English

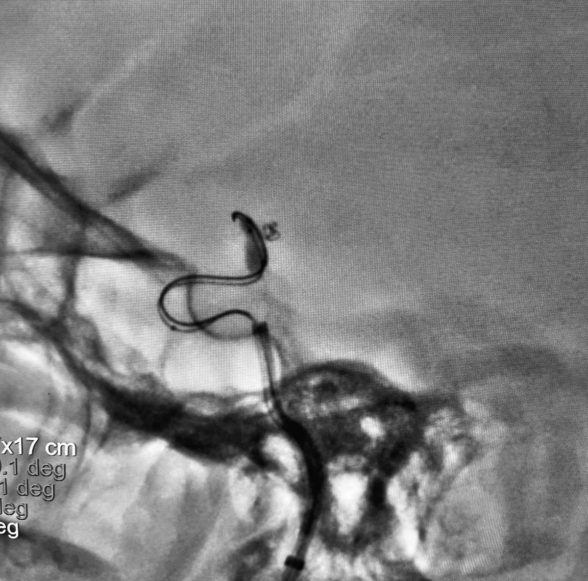
FINAL DECISSION
As suggested by some of the participants:
- Huge difference in vessels diameters (A1 1.5 mm y ICA 3 mm).
- Risk of flow compromise with a cross flow diverter in the MCA.
- Technically challenging to place the flow diverter over the aneurysm and leave the device only on the A1 segment.
We decide to do it across the AcomA, from the left side.
When deploying a flow diverter, we can "easily" decide where to start, but we cannot know exactly where to end.
By crossing the AcomA, we get the same diameter throughout the vessel to be treated, in addition to controlling the stent landing.




English


What r these?? 👀 @cirsesociety @ISVIRIndia @JVIRmedia @HEP_Journal #MedEd #hepatology @ZHaskal @keithppereira @SRajesh_IR @SudheerPargewar @saherssabri @riadsalemIR

English
Amit Sahu retweetledi

Glad to announce pediatric imaging masterclass on August 3rd and 4th. Single-day registration option is available. Secure your seat today! @drforamgala @HirenPanwa23405 @sarbesh1984 @tejas_kap @NikshitaJain @MumbaiIR @PaediatricFOAM @FOAMrad

English
Amit Sahu retweetledi

It's fibroid awareness month: did you know the majority of women will have uterine fibroids by age 50? Know your options, including non-surgical #UAE with #IRad for symptomatic fibroids #fibroidfix

English
Amit Sahu retweetledi

SIR President Robert J. Lewandowski, MD, FSIR, issued a public statement on June 3 welcoming the findings of the Colorectal Liver Metastases: Surgery vs. Thermal Ablation (COLLISION) Trial presented at #ASCO24. Read the full statement: brnw.ch/21wKofF

English
Amit Sahu retweetledi

The Aha moment #cli @CLIfighters @JVIRmedia @SIRRFS @ISVIRIndia @vascularIR @keithppereira @YsaAugust @FadiSaab17 @DiabeticFootIN #diabeticfoot #MumbaiCity
English











