David Meredith

71 posts

David Meredith banner
David Meredith

David Meredith

@NeuropathDM

Neuropathologist; Cancer genomics research; Assistant Professor, Harvard Medical School @BrighamWomens @BWHPath

Boston Katılım Ağustos 2012
126 Takip Edilen316 Takipçiler
David Meredith
David Meredith@NeuropathDM·
@MAHoureih @DrJPLow EBV+ SMTs usually have an evident lymphocytic infiltrate and varying amounts of fascicular regions with blunted nuclei and primitive round cell areas. This tumor has a more uniform appearance with tapered “neural” nuclei to me. Any history of immunodeficiency?
English
1
0
1
46
David Meredith
David Meredith@NeuropathDM·
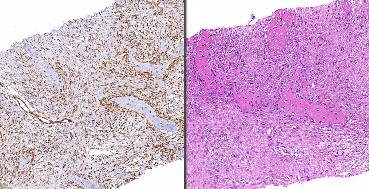
@MAHoureih @CraigHorbinski @JaredAhrendsen @astroade @padmapathology1 @NRiddleMD @vi_monappa @mlage @brainpathol @ijexpafo @MishiePishi @afgao @kelly_mrachek @NeuropathClinic @neuropath_uk @cherrycyho @drmbuckland @IntSocNeuropath @HopkinsNeuropth @DrGeeONE @DrRanasaleh @xenaalabbas @01sth02 @JMGardnerMD @Greg_Charville Favor MPNST. Great location, and the immunoprofile fits (CD34+, negative nerve sheath markers in higher grade tumors). Too fascicular for SFT, odd place for monophasic synovial sarcoma, which is usually CD34-.
English
1
0
6
308
Julia P Low
Julia P Low@DrJPLow·
Call for #neuropath help: 60M Temporal lobe, cystic lesion, No necrosis, no mitoses, no MVP. IDH R132H neg, CD34+, EMAn neg, GFAP/Olig2 positive BRAF V600E neg. ?PLENTY ?Papillary glioneuronal tumour #pathtwitter #pathx #pathology
Julia P Low tweet mediaJulia P Low tweet mediaJulia P Low tweet mediaJulia P Low tweet media
English
4
15
20
3.5K
David Meredith retweetledi
Brendan Dickson, MD
Brendan Dickson, MD@B_C_Dickson·
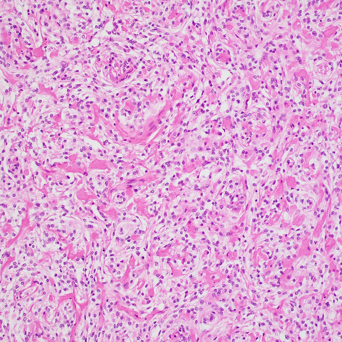
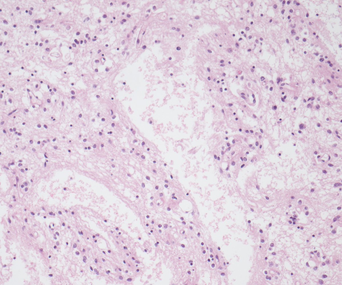
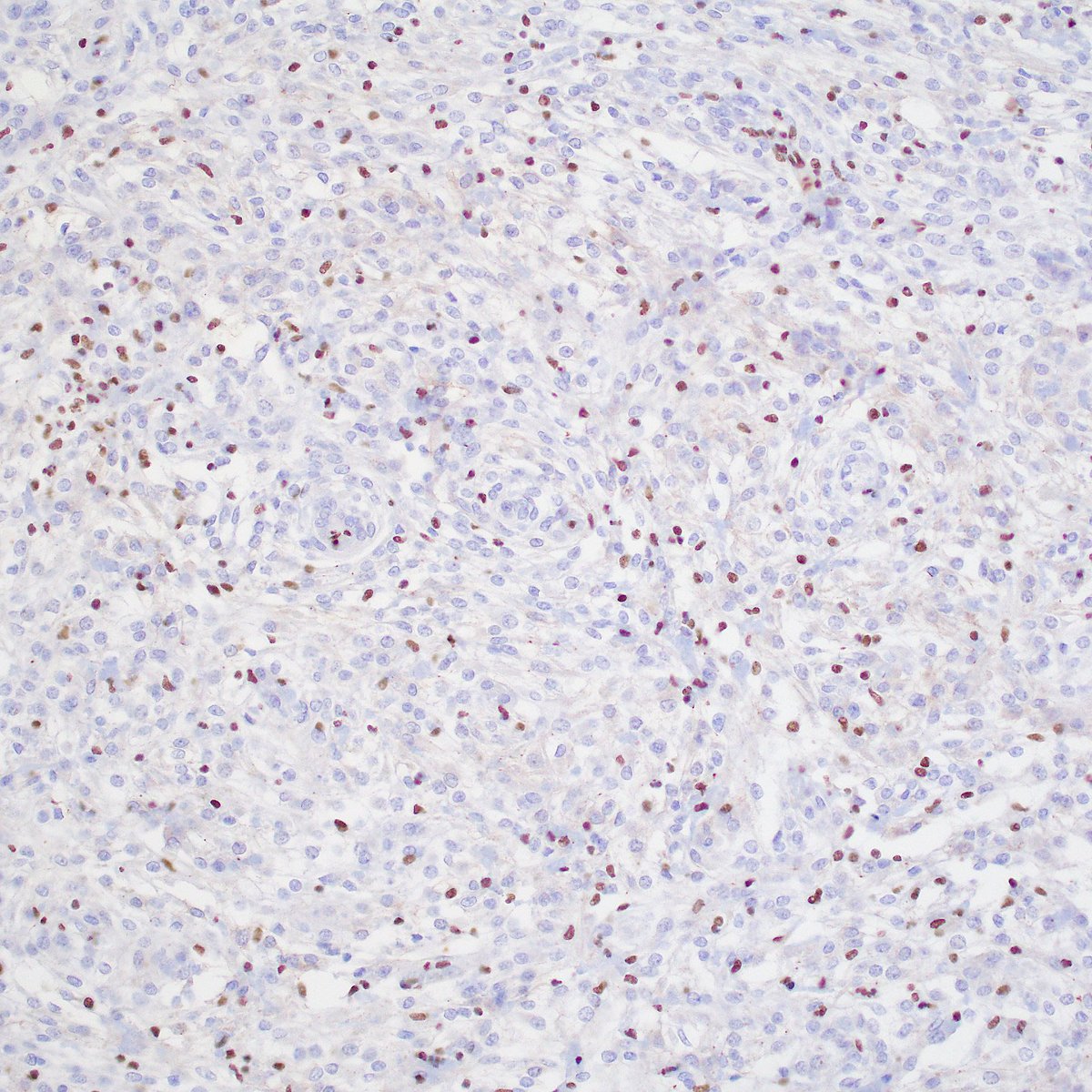
MALIGNANT PERIPHERAL NERVE SHEATH TUMOUR. Underlying NF1. IHC: SOX10, H3k27me3. NB: spindle-epithelioid cells with pale amphophilic cytoplasm; ovoid-round nuclei with moderate pleomorphism and conspicuous mitotic activity; variable collagenous-myxoid stroma.
Brendan Dickson, MD tweet mediaBrendan Dickson, MD tweet mediaBrendan Dickson, MD tweet mediaBrendan Dickson, MD tweet media
English
1
21
62
3.9K
Felipe D'Almeida
Felipe D'Almeida@FelipePatologia·
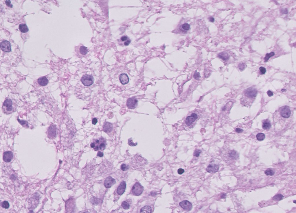
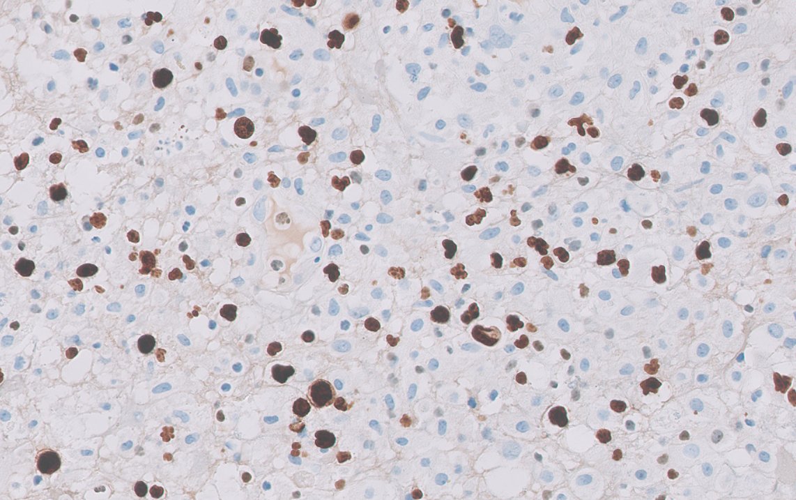
Adult patient with history of lymphoma, developed neurological symptoms and brain lesions. One of them was biopsied. The IHC is Ki-67. What do you think? Would you order any other stain(s)? #PathTwitter #Neuropath
Felipe D'Almeida tweet mediaFelipe D'Almeida tweet mediaFelipe D'Almeida tweet mediaFelipe D'Almeida tweet media
English
5
21
52
10K
David Meredith
David Meredith@NeuropathDM·
Additional IHC (CD99+/des+/SSTR2-) was highly characteristic of Intracranial Mesenchymal Tumor, FET::CREB fusion positive. EWSR1 FISH showed rearrangement. This particular case has a solid growth pattern with no myxoid stroma. #Neuropath #pathology #PathTwitter #BSTpath
David Meredith tweet media
English
1
4
16
731
David Meredith
David Meredith@NeuropathDM·
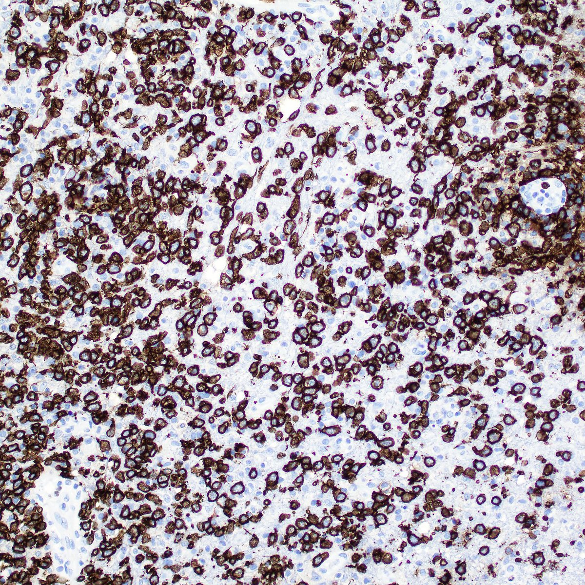
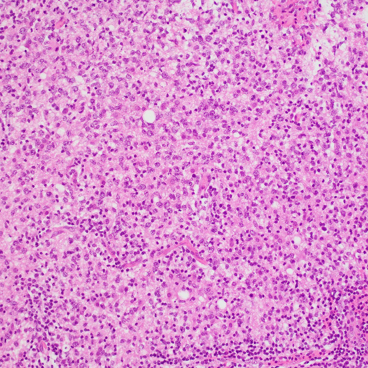
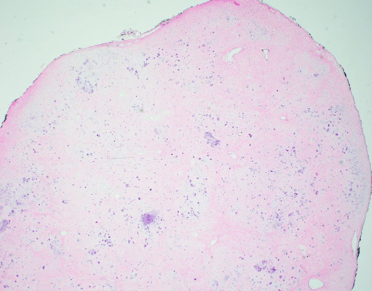
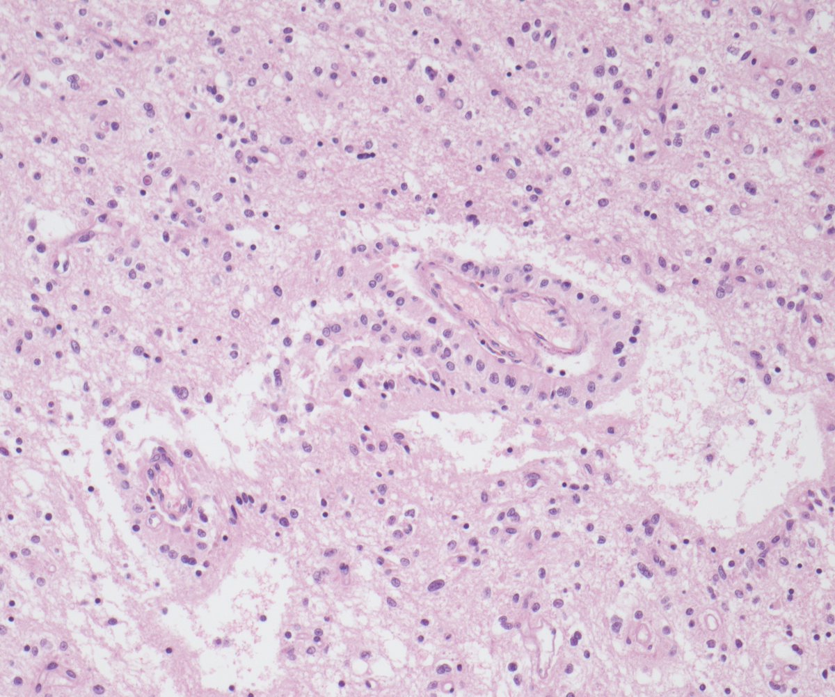
A good clue is the presence of lymphoglandular bodies in the background. Smear prep is probably the best way to diagnose CNS lymphoma at frozen section. Here is the accompanying H&E permanent section and CD20. #PathTwitter #pathology #Neuropath #hemepath
David Meredith tweet mediaDavid Meredith tweet media
English
0
1
5
280
David Meredith retweetledi
BWH Neuropathology
BWH Neuropathology@BWHNeuropath·
Welcome to our new #PathMatch2023 AP/NP residents! Alicia Kenyon, MD from Sidney Kimmel Medical College at Thomas Jefferson Univ & Denis Smirnov, MD, PhD from Univ of California San Diego School of Medicine 🧠🔬#neuropath #PathTwitter @BrighamWomens @BostonChildrens @MGHPathology
Brigham and Women's Pathology@BWHPath

@BWHPath and @MGHPathology welcome 22 new residents to the Mass General Brigham Pathology Residency Program. We are thrilled that you will be joining us! Welcome to Boston. Congratulations to everyone who matched in pathology today! 🍾🎉 #PathMatch2023

English
0
3
11
1.9K
David Meredith
David Meredith@NeuropathDM·
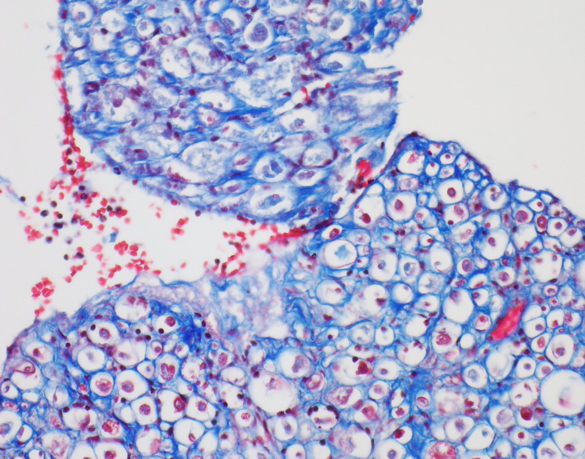
Nice example of a clear cell meningioma with the characteristic "blocky" collagen and absence of SMARCE1 expression.
David Meredith tweet mediaDavid Meredith tweet media
English
0
11
27
1.5K