Maria Martinez-Lage, MD (she/her/ella) 🏳️🌈
4.7K posts

Maria Martinez-Lage, MD (she/her/ella) 🏳️🌈
@mlage
Neuropathologist, Assistant Prof, Program Director @mgbpathology Trained @PennPathLabMed. From Pamplona, Spain #Neuropath #Pathology #antiRacism
Massachusetts, USA Katılım Ocak 2008
2.5K Takip Edilen4.2K Takipçiler

I am ecstatic to share I matched my top choice residency @MGBpathology ! What a surreal feeling. @TheNRMP #match2026 #pathmatch



English
Maria Martinez-Lage, MD (she/her/ella) 🏳️🌈 retweetledi

The American Association of Neuropathologists will be represented at #USCAP2026, March 21-26, 2026, in San Antonio, Texas, through the following events. If you’re planning to attend, please join!

English
Maria Martinez-Lage, MD (she/her/ella) 🏳️🌈 retweetledi

New review on CAR T-cell therapy for glioblastoma just out in Journal for ImmunoTherapy of Cancer, co-authored by Dr. Bryan Choi from our neurosurgery team.
The article outlines current clinical experience, key hurdles (antigen escape, myeloid-rich TME, T-cell exhaustion) and a roadmap for next-generation GBM CAR T trials.
Read more: pubmed.ncbi.nlm.nih.gov/41176315/
English

Happening now!! Come an learn some neuropathology from a fantastic speaker
#MedEd #neuropathology
AANP@neuropathology
Join us today at 12 pm ET for the AANP Teaching Rounds. Dr. Marc Del Bigio @umanitoba will discuss metabolic storage disorders of the nervous system! aanp.memberclicks.net/2025teachingro…
English
Maria Martinez-Lage, MD (she/her/ella) 🏳️🌈 retweetledi

Join us today at 12 pm ET for the AANP Teaching Rounds. Dr. Marc Del Bigio @umanitoba will discuss metabolic storage disorders of the nervous system!
aanp.memberclicks.net/2025teachingro…

English
Maria Martinez-Lage, MD (she/her/ella) 🏳️🌈 retweetledi

Posterior fossa 4th ventricular brain mass in a young patient, what molecular alterations are likely detected in this lesion? 🤔
#pedipath #neuropath #pathology

English
Maria Martinez-Lage, MD (she/her/ella) 🏳️🌈 retweetledi
Maria Martinez-Lage, MD (she/her/ella) 🏳️🌈 retweetledi

19w6d fetal brain. Is this too close to diagnose? #neuropath #neuropathology #PathTwitter #pathx #pathology


English
Maria Martinez-Lage, MD (she/her/ella) 🏳️🌈 retweetledi
Maria Martinez-Lage, MD (she/her/ella) 🏳️🌈 retweetledi

What is this? Glioma in a CSF! This can be challenging to recognize, as they look nothing like their appearance in surgical specimens! #cytology #cytopath #cytopathology #neuropath #neuropathology #pathx #pathtwitter




English
Maria Martinez-Lage, MD (she/her/ella) 🏳️🌈 retweetledi

Maria Martinez-Lage, MD (she/her/ella) 🏳️🌈 retweetledi

ARP Press@ARP_Press
The next edition of Tumors of the Central Nervous System is here! Impactful new discoveries, evolving diagnostic classifications, and rapid technical advances have reshaped the field. Having this essential atlas is key for supporting every practicing diagnostic pathologist. arppress.org #Pathology #Pathologist #PathX
English
Maria Martinez-Lage, MD (she/her/ella) 🏳️🌈 retweetledi

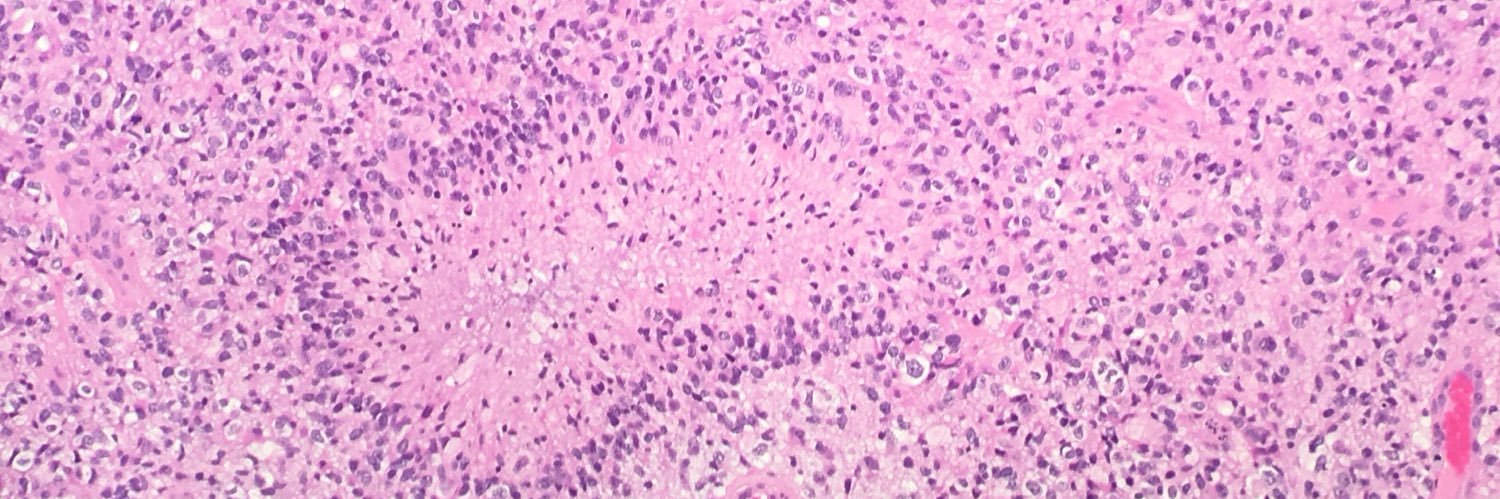
What is this thing? 65M meningeal mass. #pathtwitter #pathx #neuropath #neuropathology #cnspathology




English
Maria Martinez-Lage, MD (she/her/ella) 🏳️🌈 retweetledi

Methylation Case of the Week:
37 year old female patient with a pineal region tumor. Please Take your time Pondering the gene and Region of the case for the diagnosis. bonus question: can you PreTENd to guess the mutant gene in this case? #Neuropath #Pathology #Pathtwitter

English
Maria Martinez-Lage, MD (she/her/ella) 🏳️🌈 retweetledi
Maria Martinez-Lage, MD (she/her/ella) 🏳️🌈 retweetledi
Maria Martinez-Lage, MD (she/her/ella) 🏳️🌈 retweetledi

*spinal #ependymoma
*middle age male
*NF2 mutation
*perivascular pseudorosettes
*grade 2
*generally indolent at this localization
#neuropath

English
Maria Martinez-Lage, MD (she/her/ella) 🏳️🌈 retweetledi

















