
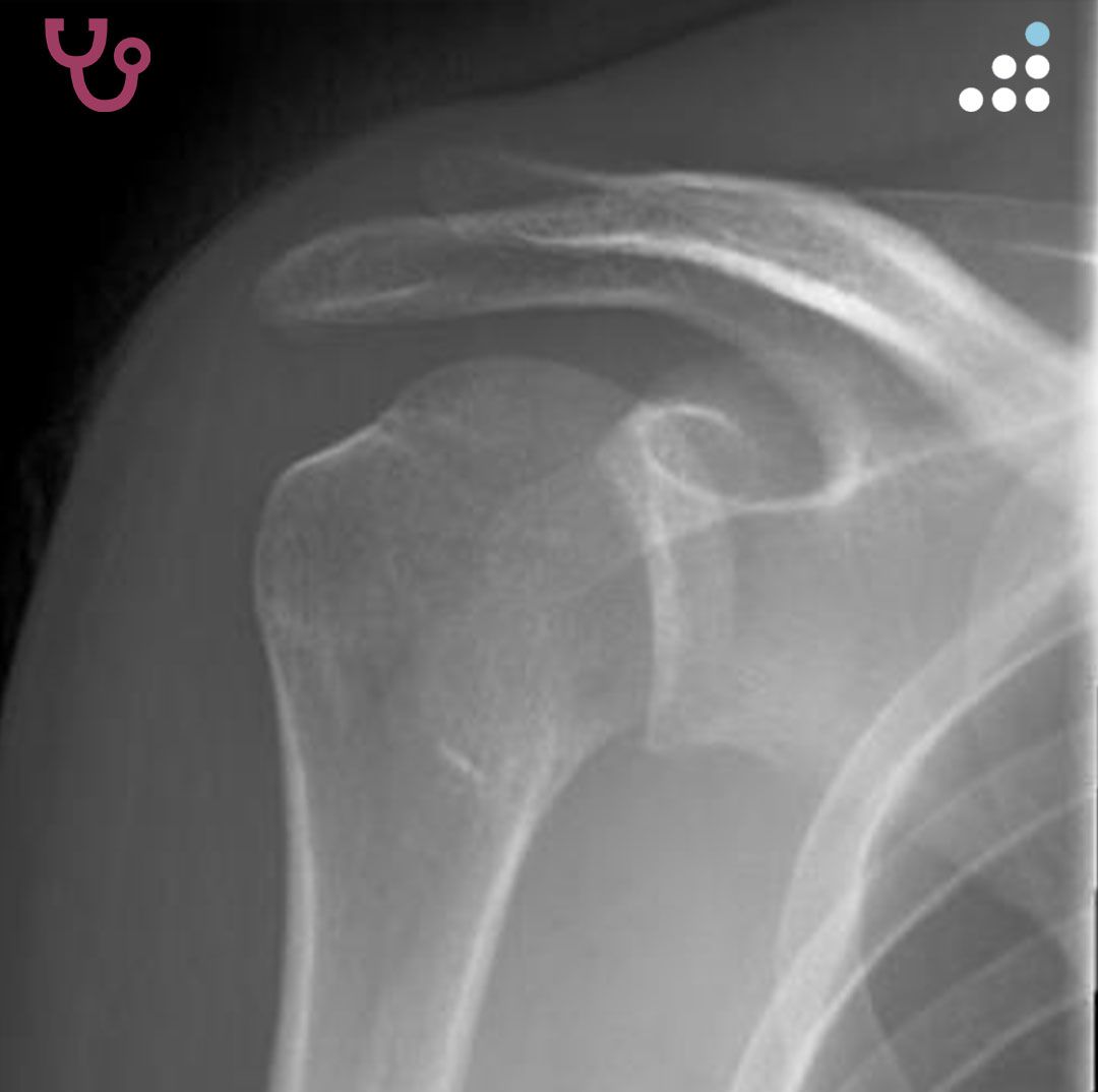
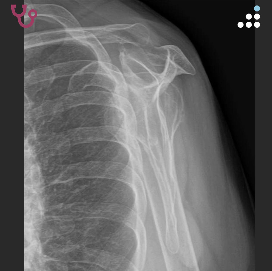
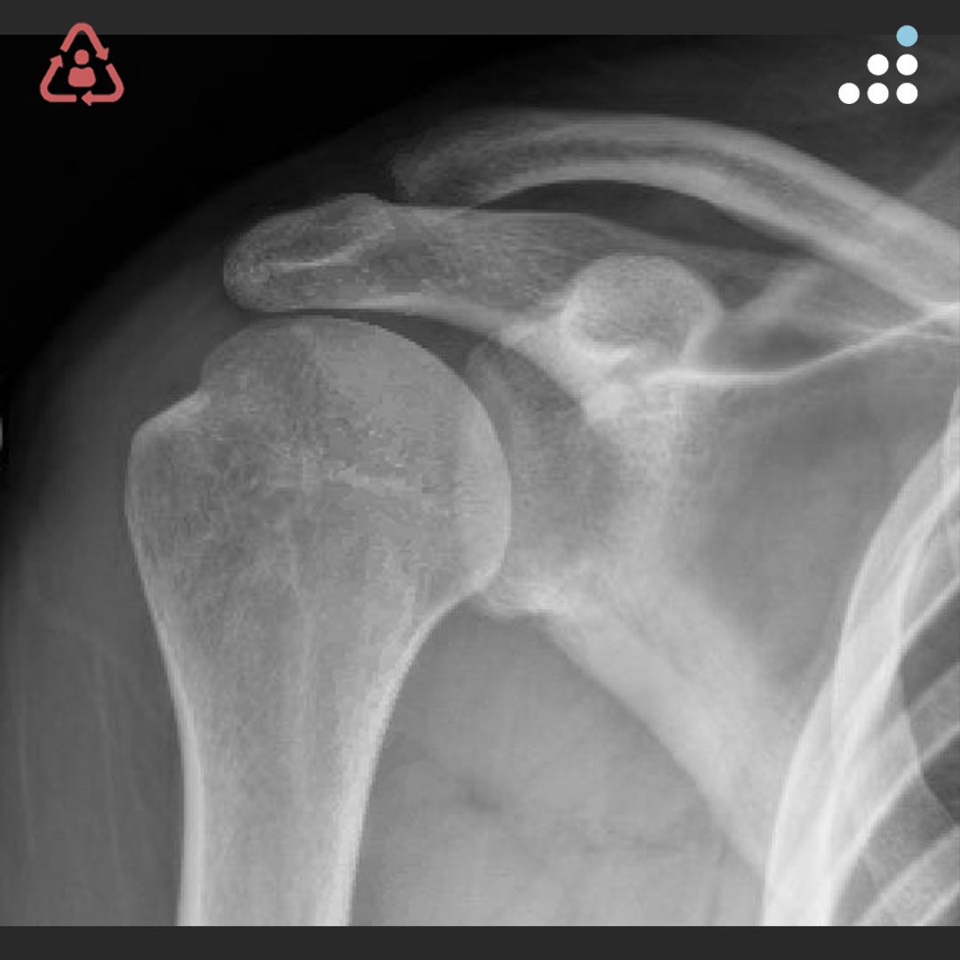
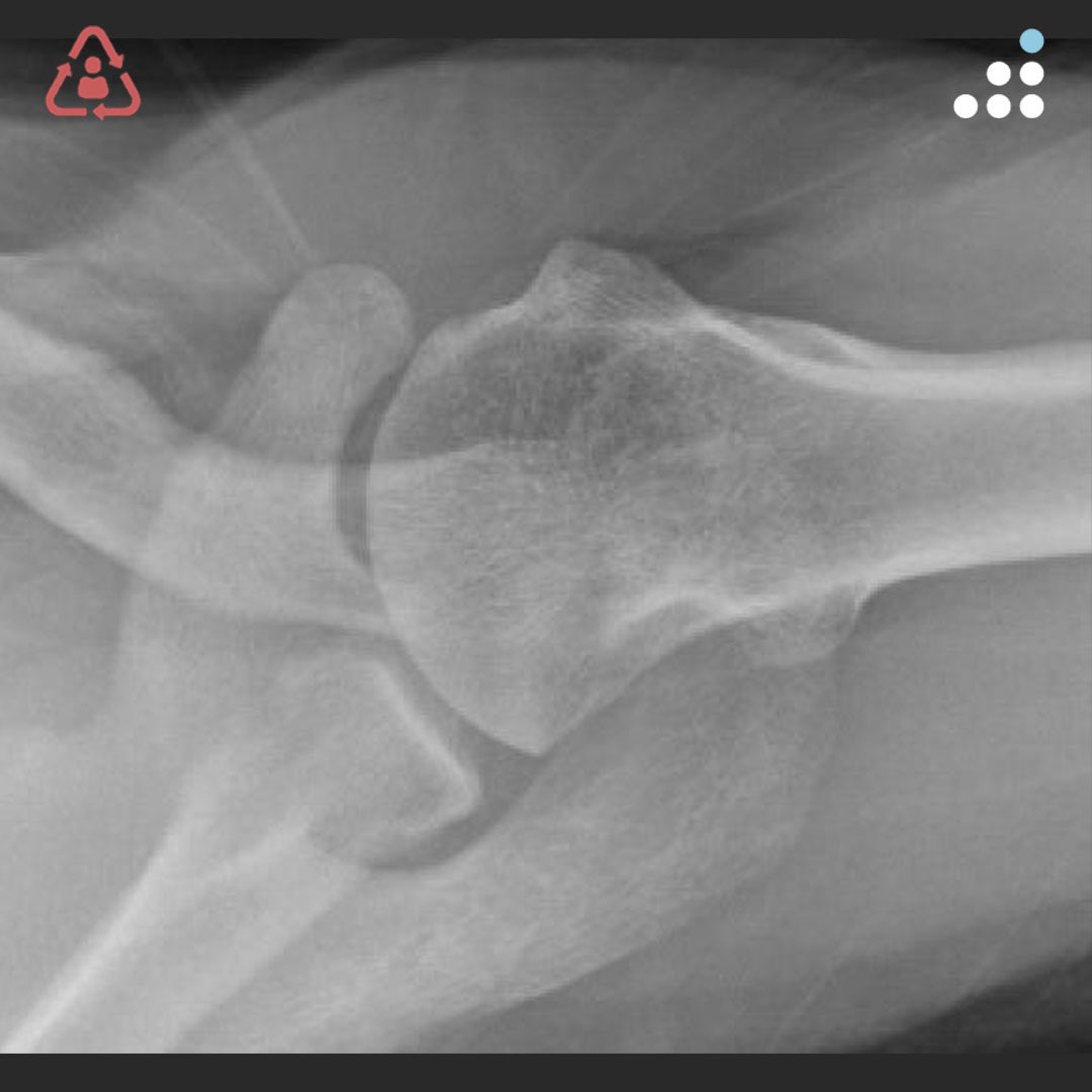
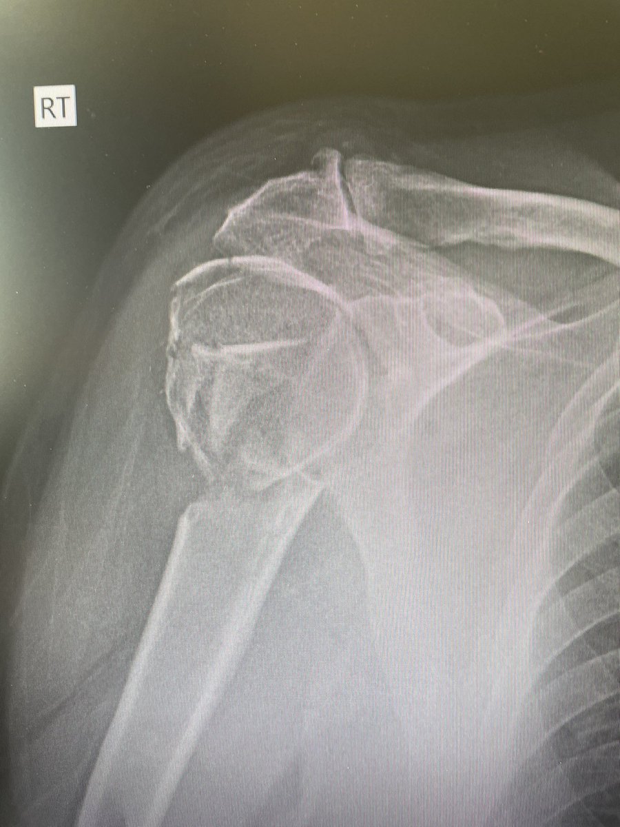
@orthobullets If there is still some cartilage left on the reverse Hill Sachs I’ve had some luck with doing a humeral head osteoplasty. I’ll use allograft chips or cement to backfill the defect after I tamp up articular surface and then try to get everything repaired especially in young pts
English





































