

Rob Humble, MD
920 posts

@RobHumbleMD
GU Pathologist @UMichMedicine | @IowaMed, @UIPathology, and @UMichPath grad 🔬🏳️🌈























📢 Unexpected Opening: 2026–27 Genitourinary Pathology Fellowship at #UMichPath ✔️ One-year fellowship ✔️ Hands-on GU pathology service ✔️ Specialized Program of Research Excellence (SPORE) in prostate cancer ✔️ Interdisciplinary training for academic careers Apply today! ➡️michmed.org/dYXb4














👏Congratulations to @ArulChinnaiyan who will receive the Precision Medicine World Congress Pioneer Award, recognizing his discovery of TMPRSS2 ERG gene fusion, which now helps ID more aggressive prostate cancer: pmwcintl.com/interview-ques… @PMWCintl @UMichPath






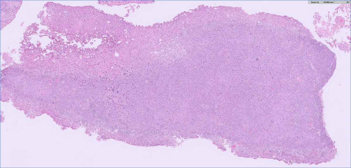
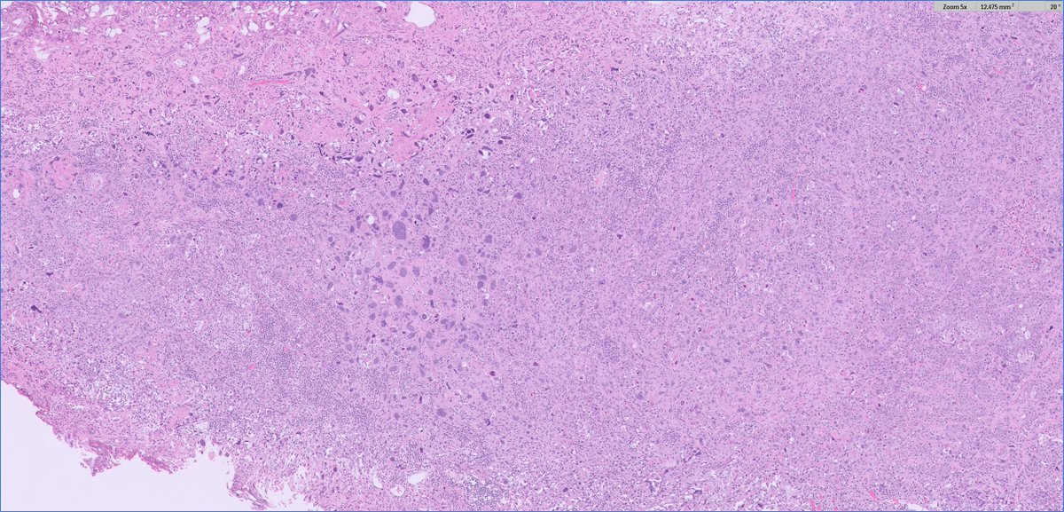
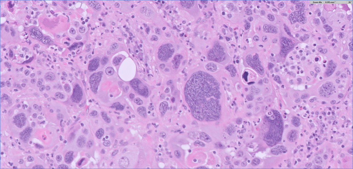
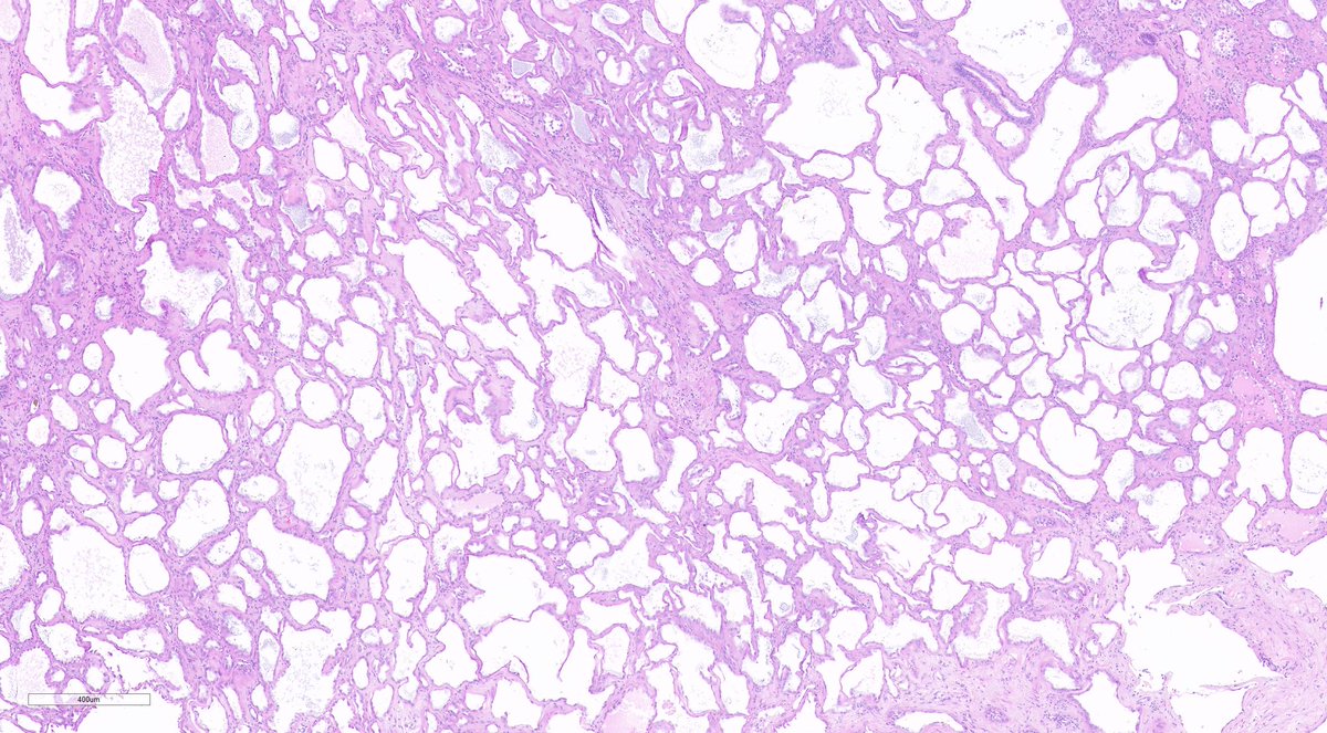
Shameless self promotion? You be the judge😂 I'm writing to welcome everyone to our @ISIMMweb webinar, Wednesday, October 15 at 11 am ET in which yours truly will present "IHC in Difficult Hepatobiliary Lesions: What Can Brown Do For You?" Register here: us02web.zoom.us/webinar/regist…