Sabitlenmiş Tweet
Whitney Shofner Michalsky, MD
688 posts

Whitney Shofner Michalsky, MD
@ShofnerWhitney
Vascular and Interventional Radiologist #UW trained
Boise, Idaho Katılım Ekim 2019
145 Takip Edilen1.3K Takipçiler

@ReneLizola Love this technique! Did it yesterday! Always works like a charm. Still use IVUS for every case, but this is also such a simple very useful tool.

English

@kmfitzMD @UWMedicine @uwsomwwami @UofWa_IR Congrats on the end of a very long journey! So thankful for those who have spent years training us!! ❤️❤️❤️
English

Swan song: GTube replacement
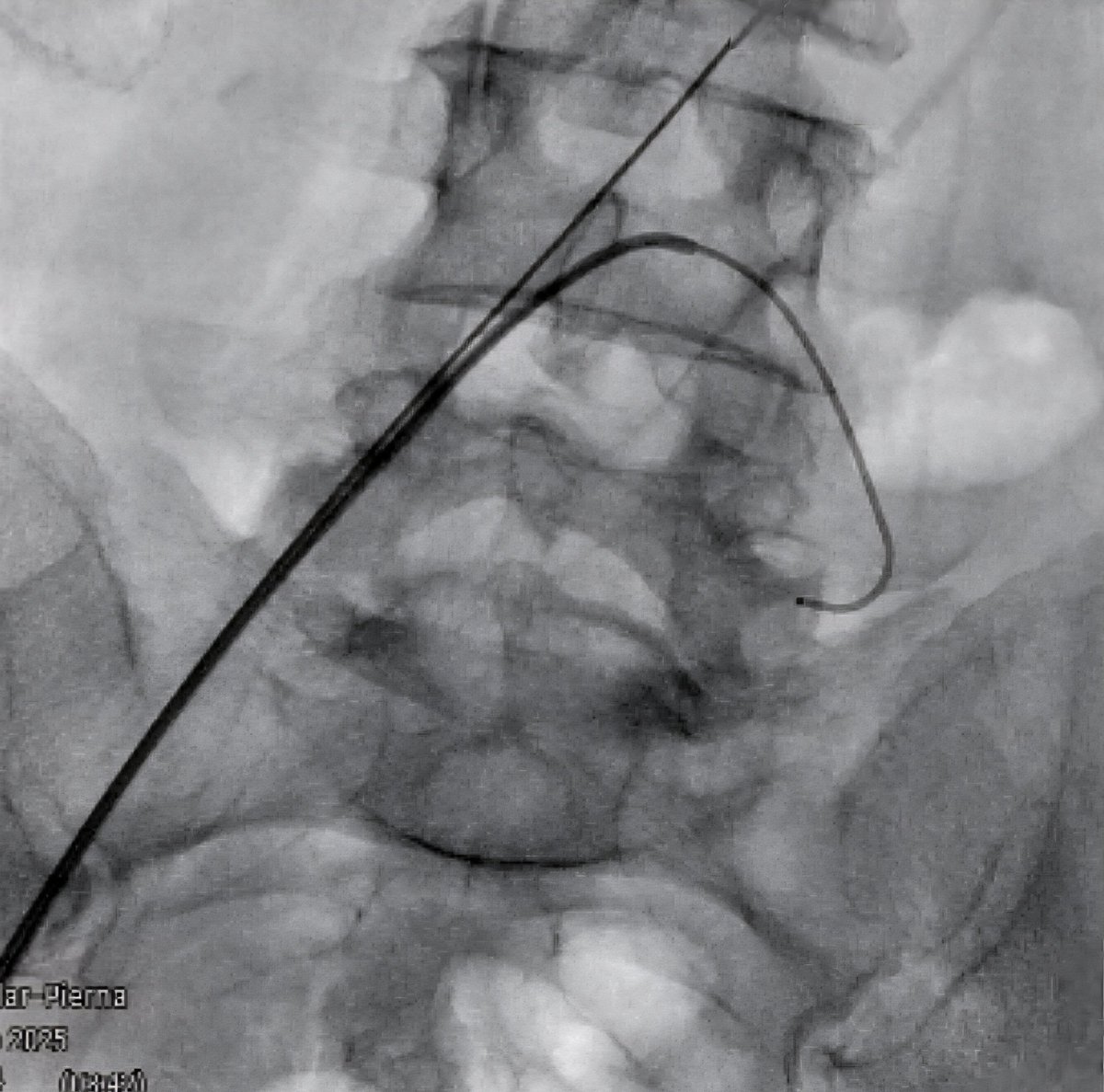
COTD: (case of the day) getting Lil’J her first filter out Friday.
Bless up, it’s been an incredible 10 years of medical training at @UWMedicine @uwsomwwami @UofWa_IR #IRAD
Off to central Washington!

English

@drdpetrov @ChengaziMD @ebtapper @karananandpara @SDhandMD @_backtable @keithppereira @t_intheleadcoat @kmadass @drkeithsiau @Naif_87 @LoggheMD @TheGastrologer I once saw an intern holding pressure on a rectal varix for hours at Harborvjew. I wish for her sake this was published.
English

@ChengaziMD @ebtapper @karananandpara @SDhandMD @_backtable @keithppereira @t_intheleadcoat @kmadass @drkeithsiau @Naif_87 @LoggheMD @TheGastrologer I once wrote an abstract for this specific technique to provide a temporizing tamponade effect prior to rectal varix embolization. Sadly it didn’t get accepted. Great minds think alike. #VIR.
English

Massive rectal bleeding. ETOH MELD 40, on multiple pressors.
Classic #VIRad creativity: Blakemore tube—per rectum. Balloon inflated to tamponade the bleed.
Sometimes the best solutions aren’t in the textbook.
#FOAMed #FOAMsurg #AcuteCareSurgery #LiverTwitter @ebtapper


English

@IR_Doctor @keithppereira Yep. And then I lose the sample across the room 😂
English

@ShofnerWhitney @keithppereira Funny, I just push harder and that works
English

Another day another sclerotic bone lesion stuck in the cannula. Thankfully @keithppereira taught me where to find the hospital blow torch 😂 Although a cigarette lighter works just as good to help expand the metal enough to pop out the sample! Just not as much fun 🔥🔥🔥

English

@theblanketdog @keithppereira Lightly toasted. Unless you use the torch 😏
English

@ShofnerWhitney @keithppereira I'm sure path loves their super heated sclerotic lesions 😂😂😂
English

@ChengaziMD @dramrmaged @WLGore @ArgonMedical @tarheeldylan @_backtable @IRKhalsa @t_intheleadcoat @karananandpara @keithppereira @kmadass @linemonkeymd @roblookstein @bonesz @SDhandMD Clicked a while back mid case after I said these exact words 😂
English

@dramrmaged @WLGore @ArgonMedical @tarheeldylan @_backtable @IRKhalsa @t_intheleadcoat @karananandpara @keithppereira @kmadass @linemonkeymd @roblookstein @bonesz @SDhandMD Thank you sir. Went from “ice is a waste of time” to there’s no other way to do TIPS.
Same way I’d never get access without US (when available)
English

What better way to start holiday weekend call than a TIPS PR
Bleeding tips:
22 mins from lido to pressure, single stick w/ #ScorpionX
Gradient 27>8mmHg, 8cm Viatorr
#ICETIPS @WLGore @ArgonMedical
Props again to @tarheeldylan and @_backtable (episode 455 for basic technique)


English

@SalikNazirMD Yeah. I was able to get the 16 almost to the mid thigh from the IJ.
English

@ShofnerWhitney Amazing result! Did you do the whole case through right IJ access?
English

@IR_Doctor This would have hit different yesterday 😂
English


Wondering how MedX would manage this unfortunate ESRD patient with a RUE fistula and jailed BCV due to stents extending into the RIJ. Extra anatomic bypass??? Any other options? @CHICKVIR



English

Have fixed this before. Large bore chest tube sitting in IVC after entering a hepatic vein
1. Fem access. Snare in IVC
2. Place a hemostatic valve on chest tube and wire it under fluoro
3. Snare the wire from groin approach - “body floss”
4. Remove the chest tube over the wire
5. Place a KMP cath through the chest tube tract into liver parenchyma
6. Place an occlusion balloon from the groin into the liver defect- flow arrest
7. Coil out your tract from the liver. Deflate balloon
@IRtmke @ChengaziMD @AustinBourgeois @iRadRock @t_intheleadcoat
English

@smbracewell @KyleCooperMD Same. Love this technique.
English

@KyleCooperMD Always a fear. I am very tedious to always hit the trocar with a gush of saline every time we manipulate. Amazing how often the saline gets sucked in the lung in less than a Second.
English

Had one of these during fellowship. Patient thankfully recovered. Hyperbaric therapy was immediately available which likely helped. Docs shouldn’t take lung biopsies lightly. Even if you do everything “right,” pneumothorax rates still 10% or more and things like this can happen.
CVIR Journal@CVIR_Journal
#TheSundayRead! 📖 Coronary Artery Air Embolism After CT-Guided #Percutaneous Lung Biopsy: How do we Deal with a Life-Threatening Complication? link.springer.com/article/10.100…
English

@RadDoc24 @AustinBourgeois All for one price now right??
English

@AustinBourgeois Challenging case. Pulling out the entire inari portfolio
English

@BadgerLiberal @dr_cellini The harder I work on call the more money the group loses. What kind of twilight zone is this??
English















