Tung Duy Nguyen, MD
702 posts

Tung Duy Nguyen, MD
@TungPath
Pathology resident @UChicagoPath || (He/Him)
Chicago, IL Katılım Mart 2019
2.5K Takip Edilen1.5K Takipçiler
Tung Duy Nguyen, MD retweetledi

#Breastpath #Surgpath #Pathresidents #Pathtwitter
Resection of a suspicious breast mass in a 60 year old woman. Take a look at some images, place your vote, and read some discussion.




English

Can you diag“nose” this one? 🔎
Poll below 🗳️👇
#PathPuzzle 🕵️♂️
@UMichPath #Pathology #PathX #PathTwitter

English
Tung Duy Nguyen, MD retweetledi

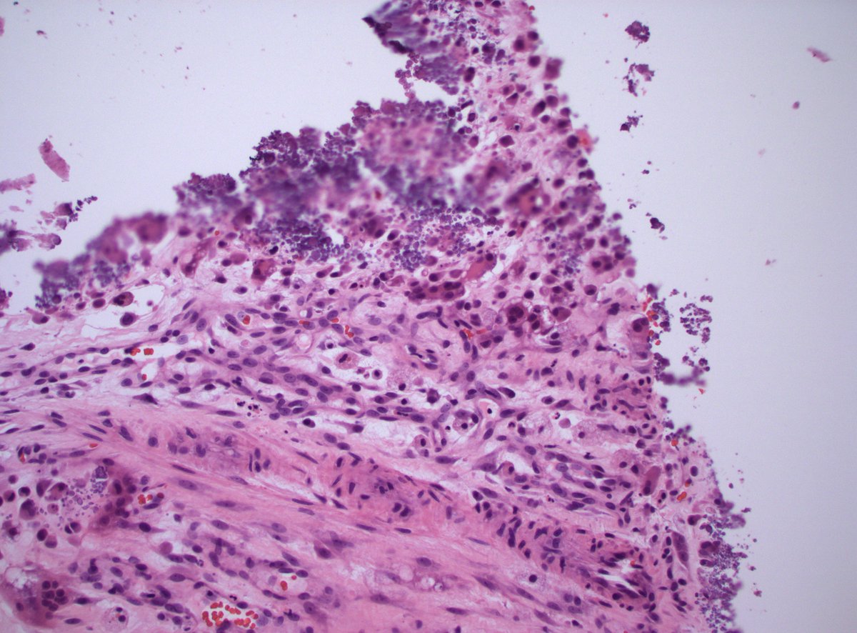
Case of the day: Middle-aged female with no significant clinical history presents with right atrial mass extending to the inferior vena cava and multiple right lung nodules (biopsies here). Any thoughts? Follow-up studies coming tomorrow #lungpath #thoracicpath #pathology #MedEd


English
Tung Duy Nguyen, MD retweetledi
Tung Duy Nguyen, MD retweetledi

@Quique_rs @RibianszkyA Why can’t this be other high grade carcinoma?
English
Tung Duy Nguyen, MD retweetledi

40s M 30 cm thigh mass, multilocular cystic on imaging. Dx/IHC?? 8 H&E images below.
#BSTpath #PathTwitter #PathX




English

For all the pain & agony that endometriosis causes, WHY are peritoneal biopsies almost always crap? Is this just in the places I've worked?
Look at this cauterized piece of junk. Leveled through & still no evidence of endometriosis.
#gynpath #obgyn #pathtwitter #medtwitter

English
Tung Duy Nguyen, MD retweetledi

Phenotypic clues that predict underlying cytogenetic/genetic abnormalities in myeloid malignancies: A contemporary review - Cytopathology - Wiley Online Library onlinelibrary.wiley.com/doi/10.1111/cy… #leusm

English
Tung Duy Nguyen, MD retweetledi

Metastatic melanoma in a pleural fluid. Sometimes all you need are 2 cells. @TotalCytopath @Sinchita_Roy @mdlozanoe @Sara_Jiang @NayarRitu @AshishC97225686 @aakasharmand @PVielh


English
Tung Duy Nguyen, MD retweetledi

Have you seen VEXAS syndrome yet?
Check out our new images on @ASH_hematology @UMichPath @KMirza
imagebank.hematology.org/image/65239/ve…
#VEXAS #hemepath #hematology #pathX


English

Friday Fun!
Things are not always what they seem. What is your diagnosis?
#breastpath #PathTwitter #PathX @washu_pathology @washupathedu

English

60s M posterior peripheral RLL lung mass. Pleural fluid cytology. Dx?
#PathX #PathTwitter #ThoracicPath


English
Tung Duy Nguyen, MD retweetledi

Some #MondayMotivation for learning about granulomas in #PulmPath. My Book of Cells says nuclei of epitheloid histiocytes may resemble 👣, 🍌 or 🪃 ... so I had to check 👀 #PathX #PathTrainee #PathOutPic

English
Tung Duy Nguyen, MD retweetledi













