Sabitlenmiş Tweet

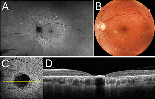
Without any doubt, THE highlight of our team's work over the last 10 years, using handheld OCT to objectively document outer retina structure. It may be a small part compared to our AOSLO work, but transformative for patients and their families.
The Lancet@TheLancet
Gene therapy in children with AIPL1-associated severe retinal dystrophy: an open-label, first-in-human interventional study hubs.li/Q037K8wJ0
English
























