

Michalis Georgiou, MD, PhD
234 posts

@GeoMichalis
Inherited Retinal Diseases and more | Aspiring Retina Specialist @dukeeyecenter | PhD @moorfields | https://t.co/10ZO18dbOF













Gene therapy in children with AIPL1-associated severe retinal dystrophy: an open-label, first-in-human interventional study hubs.li/Q037K8wJ0

In patients with PDE6A-retinitis pigmentosa, despite the presence of cystoid macular edema, there was relative stability in macular parameters. @GeoMichalis @MichelMichaelid ow.ly/3E9m50Toefe















New Publication Alert! Retinal structure in CSNB is stationary and no specific genotype - structure correlates were identified. VA appears to be relatively stable, with rare instances of progression. @MichelMichaelid @tacguimaraes sciencedirect.com/science/articl…



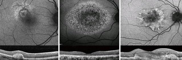
PRER article from @MichelMichaelid and collaborators who provide expert insight into genetics and imaging of photoreceptor degeneration #RetinaAwarenessMonth #retina #RP @MoorfieldsBRC @UCLeye @Wills_Eye featureshttps://www.sciencedirect.com/science/article/pii/S1350946224000090



Best vitelliform macular dystrophy is a slowly progressive disease and phenotype- genotype correlations can be used for more accurate prognostication and counseling in this phenotypically diverse disorder. ow.ly/RAOk50QxSFA
