
Ahsun Riaz
91 posts







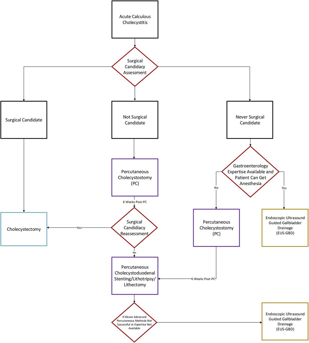
[Oct 23rd Virtual Event] "Redefining Acute #Cholecystitis" with @EndoTx @pbatesmurphy & @AhsunR ➡️REGISTER on the app=> endoscopynowapp.app.link/o4V4bkVcwXb ➡️SIGN UP on Zoom=> us06web.zoom.us/webinar/regist… @bsc_endoscopy @bostonsci #Gastroenterology #GIEndoscopy #GIFellows #GITwitter #MedTwitter






Peak moment of my life as an aspiring interventionalist—I matched at my #1 choice! All thanks to my incredible mentor, @AhsunR, who not only inspired me to dream of it but also helped me achieve it. Here’s to dreaming big and beating the odds! @NURadiology @NorthwesternIR
























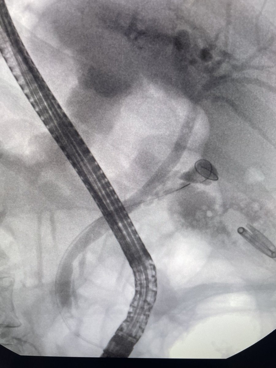
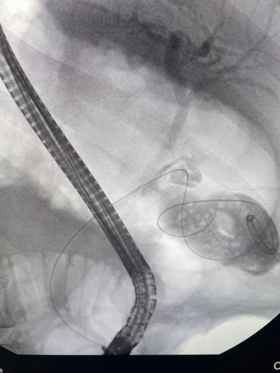
Beyond excited and looking forward to present our work at #SIR24SLC from @NorthwesternIR on complex hepatobiliary interventions alongwith @Chris_Neely_ . Incredibly grateful to the mentorship of @AhsunR and special thanks to the amazing team. #SicParvisMagna

















